Treatment of eosinophilic esophagitis: literature review and own clinical observations
- Authors: Kaibysheva V.O.1, Fedorov E.D.1, Shapovalyants S.G.1
-
Affiliations:
- The Russian National Research Medical University named after N.I. Pirogov
- Issue: Vol 22, No 1 (2025)
- Pages: 23-43
- Section: Reviews
- Submitted: 07.02.2025
- Accepted: 26.02.2025
- Published: 10.04.2025
- URL: https://rusalljournal.ru/raj/article/view/17001
- DOI: https://doi.org/10.36691/RJA17001
- ID: 17001
Cite item
Abstract
Eosinophilic esophagitis is a T2 disease characterized by eosinophilic infiltration of the esophageal mucosa, subepithelial and submucosal fibrosis, and progressive dysphagia. Early diagnosis and appropriate treatment of eosinophilic esophagitis can prevent the development of strictures and other complications. The treatment of eosinophilic esophagitis includes the use of elimination diets, pharmacological therapy, and endoscopic dilation or bougienage of the esophageal strictures. The most effective drugs for achieving clinical and histological remission in eosinophilic esophagitis are proton pump inhibitors, topical glucocorticosteroids, and biological agents represented by monoclonal antibodies. Over time, the advantages of systemic monoclonal antibody therapies (anti-interleukin 4/13) over proton pump inhibitors and topical glucocorticosteroids have become evident, particularly in terms of their impact on mucosal inflammation and on remodeling of the esophageal wall. Currently, the only approved anti-interleukin drug for eosinophilic esophagitis is dupilumab, which has demonstrated high efficacy and safety in clinical trials and is approved for use in children aged 1 year and older, as well as in adults. Endoscopic dilation or bougienage is performed in patients with eosinophilic esophagitis who have esophageal strictures and stenosis (with an esophageal diameter <13 mm) following a course of pharmacotherapy. To this day, numerous questions remain regarding maintenance therapy, its duration, and predictors of disease progression. With the emergence of new biologic therapies for eosinophilic esophagitis, their accessibility, long-term efficacy, and safety have become critically important considerations.
The article systemizes existing data on the treatment strategies for patients with eosinophilic esophagitis.
Full Text
Введение
Эозинофильный эзофагит (ЭоЭ) – воспалительное иммуно-опосредованное (T2-типа) заболевание пищевода с хроническим, медленно-прогрессирующим течением, характеризующееся выраженной эозинофильной инфильтрацией слизистой оболочки пищевода (≥15 эозинофилов в поле зрения микроскопа высокого разрешения (×400) в 0,3 мм2, развитием субэпителиального и подслизистого фиброза, клинически проявляющееся нарушением глотания (дисфагия, эпизоды вклинения пищи в пищевод, рвота проглоченной пищей и др.) [1].
Естественное течение заболевания практически неизбежно приводит к развитию стриктур, сужений пищевода, развитию тяжелой дисфагии и инвалидизации пациентов уже в молодом возрасте. Своевременная диагностика и адекватное лечение ЭоЭ позволяют предотвратить развитие стриктур и других осложнений заболевания.
Материалы и методы
Проведен поиск опубликованных результатов клинических исследований, систематических обзоров и метаанализов в электронных базах данных научной электронной библиотеки eLibrary.ru, базах PubMed, MEDLINE, ClinicalTrials.gov за период 1990 г. — 3 февраля 2025 г. с ключевыми словами “eosinophilic esophagitis”, “corticosteroids”, “biological products”, “proton pump inhibitors”, “treatment”, “diet”. Критерии включения публикаций в анализ: тип исследования — оригинальное исследование, систематический обзор или метаанализ работ; язык публикации — русский или английский; публикации доступны в полнотекстовом варианте. При поиске в базах данных по ключевым словам выявлено 1356 работ, из которых 42 посвящены результатам рандомизированных контролируемых исследований. В ходе отбора 1294 публикации не соответствовали критериям поиска. Таким образом, для конечного анализа отобраны 62 работы.
Эпидемиология
За последние десятилетия наблюдается неуклонный рост заболеваемости ЭоЭ. По данным систематического обзора и метаанализа, заболеваемость ЭоЭ составляет 5,31 случая на 100 тыс. населения (95 % доверительный интервал (ДИ) 3,98–6,63; данные 27 исследований; выборка 42 191 506 человек) [2]. ЭоЭ страдают преимущественно лица мужского пола (75 % больных), в основном дети, подростки и молодые взрослые [3].
Эозинофильный эзофагит часто сочетается с другими аллергическими заболеваниями: различными клиническими проявлениями пищевой аллергии (до 81 %), пищевой анафилаксии (около 15 %), экземой/атопическим дерматитом (4–60 %), аллергическим ринитом (40–75 %), бронхиальной астмой (14–70 %). В целом 28–86 % взрослых и 42–93 % детей с верифицированным ЭоЭ имеют атопические заболевания на момент обращения и около 50–60 % — в анамнезе. Многие пациенты с ЭоЭ имеют отягощенную наследственность по ЭоЭ, бронхиальной астме, поллинозу и другим атопическим заболеваниям [1, 3].
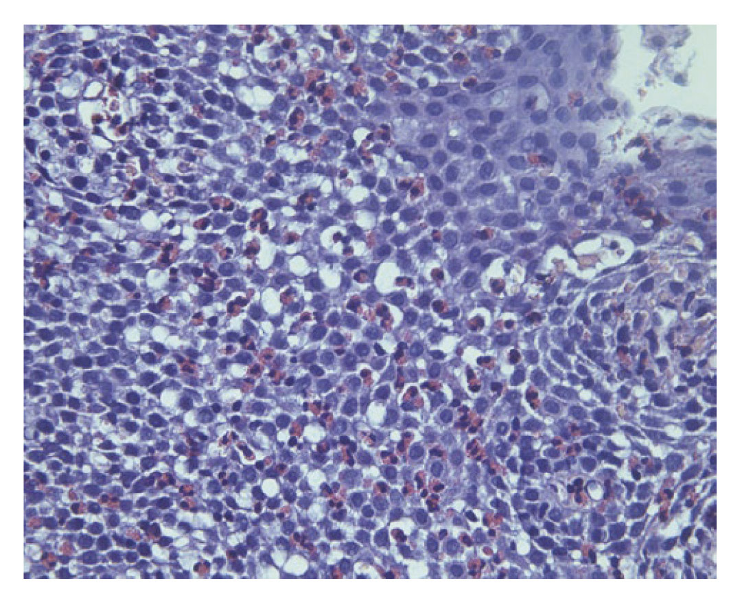
Диагностика ЭоЭ базируется на выявлении совокупности клинических симптомов заболевания (дисфагия, загрудинные боли, эпизоды вклинения пищи в пищевод, изжога и др.), данных эзофагогастродуоденоскопии (ЭГДС) и результатов патоморфологического исследования биоптатов из пищевода (эозинофильная инфильтрация слизистой оболочки пищевода, субэпителиальный фиброз). Главным критерием установления диагноза ЭоЭ служит интраэпителиальная эозинофильная инфильтрация (рис. 1) с числом эозинофилов ≥15 в поле зрения микроскопа при большом увеличении (или ≥60 на 1 мм2) [1].
Рис. 1. Результаты патолого-анатомического исследования биоптата из пищевода, окраска гематоксилином и эозином: скопления >15 эозинофильных лейкоцитов в поле зрения, ×400.
Fig. 1. Results of pathological analysis of esophageal biopsy, haematoxylin and eosin staining: clusters of >15 eosinophilic leukocytes in the field of view, ×400
Всем пациентам с установленным диагнозом ЭоЭ рекомендуется проведение терапии в как можно более ранние сроки для предотвращения развития осложнений (стриктуры), требующих эндоскопического лечения. Имеющиеся данные свидетельствуют о том, что отсутствие терапии после манифестации заболевания длительностью 2 года приводит к развитию стриктур пищевода у 17–19 % больных, начало лечения через 20 лет после появления первых симптомов осложняется стриктурами у 71 % пациентов. В то же время своевременное начало лечения позволяет предотвратить развитие фибростенотических изменений в стенке пищевода [4–6].
Лечение
Целями терапии ЭоЭ являются достижение клинической (купирование симптомов, прежде всего дисфагии) и гистологической ремиссии заболевания, предотвращение развития осложнений (стриктуры пищевода, вклинение пищи в пищевод). После достижения ремиссии лечение не должно прекращаться для поддержания ремиссии и предотвращения рецидива симптомов и осложнений [3, 6].
Под гистологической ремиссией ЭоЭ подразумевают разрешение эозинофильного воспаления (5–15 эозинофилов в поле зрения микроскопа высокого разрешения при увеличении ×400 в 0,3 мм2 или <60 эозинофилов в 1 мм2). Под полной гистологической ремиссией понимают уменьшение числа эозинофилов <5 в поле зрения при большом увеличении [1, 6].
Современная концепция лечения больных ЭоЭ включает [1, 6]:
- диетические ограничения;
- медикаментозную терапию (ингибиторы протонной помпы (ИПП), топические глюкокортикостероиды (ГКС), биологическая терапия);
- проведение эндоскопической дилатации или бужирования пищевода (пациентам с тяжелой дисфагией и эпизодами вклинения пищи в пищевод независимо от типа применяемой базисной терапии).
Решение о выборе метода лечения рекомендовано принимать совместно с пациентом, обсудив с ним все положительные и отрицательные стороны альтернативных методов. Важно, что терапия пациентов с ЭоЭ может со временем изменяться (при неэффективности, желании пациента, возникновении побочных эффектов и пр.) [6].
Диета
Диета для лечения ЭоЭ используется не в качестве дополнения к медикаментозной терапии, а в виде монотерапии. Сочетание диеты и медикаментозной терапии не должно назначаться в рутинном порядке всем больным ЭоЭ. Такая комбинация может быть рассмотрена только при неэффективности медикаментозной терапии [1].
Неоспоримые преимущества диетической терапии ЭоЭ включают отсутствие побочных эффектов, эффективность (особенно у детей) в достижении не только клинической, но и гистологической ремиссии. Недостатками применения диет для лечения ЭоЭ являются значительное снижение качества жизни пациентов, вынужденных пожизненно придерживаться строгих ограничений, высокая стоимость, социальная дезадаптация, необходимость проведения ЭГДС в случае введения новых пищевых продуктов в рацион (для контроля за активностью воспалительного процесса) [7–12].
Данные недавнего метаанализа результатов 34 исследований с использованием различных диетических режимов подтвердили, что диетотерапия является эффективным методом лечения пациентов с ЭоЭ с общим показателем достижения гистологической ремиссии 53,8–60 % [12]. В лечении ЭоЭ диетотерапия лишь немного уступала в эффективности топическим кортикостероидам, применение которых позволяет достичь показателей гистологической ремиссии 68,3–76,8 % [11].
В лечении ЭоЭ используются несколько диетических режимов [1]:
- элементная диета;
- элиминационная диета, основанная на данных аллергологического тестирования;
- эмпирическая диета с исключением 6, 4 или 2 групп продуктов.
Элементная диета включает употребление в пищу специально приготовленных аминокислотных смесей с минимальной антигенной активностью (на фоне полного исключения из рациона любой другой пищи). Применение элементной диеты приводит к достижению гистологической ремиссии у 92,6 % больных ЭоЭ. Данные метаанализа, проведенного в 2014 г., показали превосходство элементной диеты над диетами, исключающими определенные продукты. В реальной клинической практике данный вид диеты может быть назначен взрослым пациентам только в случае неэффективности всех других методов лечения [7, 8]. Необходимость полностью исключить из рациона привычную пищу вызывает значительный моральный дискомфорт, социальную дезадаптацию и в целом приводит к выраженному снижению качества жизни пациента.
Элиминационная диета составляется индивидуально для каждого пациента с ЭоЭ на основании данных аллергологического тестирования (кожные скарификационные и аппликационные пробы, данные серологического тестирования иммуноглобулина (Ig) E). Несмотря на то что очень часто больные ЭоЭ страдают сопутствующими атопическими заболеваниями (астма, экзема, ринит), ассоциированными с IgE, ЭоЭ не является IgE-зависимым заболеванием, поэтому эффективность данного диетического режима невысока.
Элиминационная диета, основанная на исключении продуктов, показывающих положительный результат аллергологического тестирования, была оценена в 16 различных исследованиях (572 ребенка и 100 взрослых). В среднем ремиссии на фоне элиминационной диеты удается достичь у 39,5 % (95 % ДИ 30,3–49,2) больных ЭоЭ, причем эффективность данного терапевтического подхода у взрослых больных значительно ниже, чем у детей [1, 3, 8–15].
В настоящее время считается нецелесообразным назначение данной диеты для лечения ЭоЭ в связи с ее невысокой эффективностью, за исключением случаев пищевой аллергии, доказанной с помощью аллергологического тестирования (кожные тесты, выявление специфических IgE, провокационные тесты).
Эмпирическая диета подразумевает исключение из рациона больных ЭоЭ 6 групп продуктов с наибольшим аллергенным потенциалом (коровье молоко, глютен/пшеница, морепродукты, орехи, яйца, бобовые/соя) и приводит к индукции гистологической ремиссии у 63,9 % (95 % ДИ 58,5–69,2) пациентов независимо от возраста [8, 12, 14]. Диета с исключением 4 групп продуктов (молоко, глютен/пшеница, яйца и соя) позволяет добиться гистологической ремиссии примерно у половины (54,7 % (95 % ДИ 45,7–63,6)) пациентов [8, 12]. Несмотря на то что такая диета менее ограничительна, показатели ремиссии почти сопоставимы с 6-компонентной диетой. При применении эмпирической диеты с исключением 2 групп продуктов частота гистологической ремиссии составила 44,3 % (95 % ДИ 36,1–52,8) [8].
Широко дискутируется вопрос о возможности ступенчатого подхода к диетическим ограничениям: исключение 1 или 2 групп продуктов (молоко, пшеница, яйца) на начальном этапе лечения с постепенным расширением списка запрещенных продуктов у пациентов, не достигших гистологической ремиссии на фоне более либеральной диеты [1, 6, 16]. Коровье молоко идентифицировано как наиболее распространенный триггер воспаления при ЭоЭ. Эффективность диеты с исключением только молочных продуктов в индукции ремиссии ЭоЭ оценена в 7 исследованиях с участием 224 пациентов. В целом 46,4 % (95 % ДИ 40–52,9) пациентов достигли гистологической ремиссии после исключения молока и молочных продуктов из рациона [8, 14].
Таким образом, эффективность диет с исключением 4 групп и 1 продукта (коровьего молока) была ненамного ниже, чем с исключением 6 продуктов. Это может быть связано с тем, что соблюдение 6-компонентной диеты практически невозможно и пациенты, особенно в долгосрочной перспективе, вероятнее всего, нарушают диету или придерживаются ее не слишком строго. Поэтому в большинстве клинических рекомендаций подчеркивается, что назначение диетотерапии должно начинаться с исключения 1 или 2 групп продуктов с возможностью расширения ограничений в случае неэффективности. В то же время диета, основанная на идентификации аллергенов, не показала никаких преимуществ перед эмпирическими диетическими режимами [17, 18].
Медикаментозная терапия
Медикаментозная терапия ЭоЭ базируется на назначении ИПП, топических ГКС или биологической терапии.
Ингибиторы протонной помпы
Назначение ИПП позволяет достичь клинической и гистологической ремиссии у значительной доли взрослых и детей с ЭоЭ (50–57 %). В систематическом обзоре и метаанализе результатов 33 исследований, включившем 431 взрослого и 188 детей с ЭоЭ, частота частичного клинического и гистологического улучшений составила 60,8 и 50,5 % соответственно [19–31]. Интересно, что прием ИПП в режиме 2 раза в день оказался чуть более эффективным по сравнению с однократным приемом (55,9 % против 49,7 %), наибольший эффект от лечения ИПП наблюдался у пациентов с ЭоЭ и подтвержденным патологическим гастроэзофагеальным рефлюксом по сравнению с теми, у кого не было рефлюксной болезни (65,4 % против 49,3 %) [19].
В одном рандомизированном исследовании, где оценивалась эффективность эзомепразола 40 мг по сравнению с флутиказоном 440 мкг 2 раза в день в течение 8-недельного курса у взрослых пациентов с ЭоЭ (n = 15 в каждой группе), доля лиц, достигших гистологической ремиссии, составила 50 % для эзомепразола и 31 % для флутиказона (p = 0,28) [21]. Клинический ответ (снижение дисфагии по крайней мере на 2 балла) наблюдался у 25 % на фоне эзомепразола и у 50 % при приеме флутиказона (p = 0,40). В другом рандомизированном исследовании, где сравнивались эзомепразол 40 мг и флутиказон 440 мкг 2 раза в день, гистологический ответ наблюдался у 33 % пациентов при применении ИПП и у 19 % при применении кортикостероидов (p = 0,48); облегчение симптомов (оцененное с помощью опросника по дисфагии Майо) наблюдалось в большей степени при применении ИПП. Результаты еще одного исследования по использованию ИПП у взрослых больных ЭоЭ показали достижение полной гистологической ремиссии у 75 % пациентов, принимавших рабепразол 20 мг 2 раза в сутки [25]. В работе E.J. Laserna-Mendieta и соавт. среди более чем 600 пациентов с ЭоЭ на фоне приема ИПП частота гистологического ответа (<15 эозинофилов в поле зрения) составила 49 %, а клиническое улучшение (снижение оценки симптомов по крайней мере на 50 %) наблюдалось у 71 % [27]. В другом исследовании частота гистологического ответа (<15 эозинофилов в поле зрения) на фоне приема ИПП составила 60 %, что коррелировало с выраженным снижением дисфагии [24].
Эффективность ИПП при ЭоЭ объясняется восстановлением целостности эпителиального барьера, что препятствует глубокому проникновению экзогенных антигенов в толщу слизистой оболочки, а также наличием у ИПП собственной противовоспалительной активности [29].
Известно, что у пациентов с ЭоЭ повышена проницаемость эпителиального барьера пищевода, что, с одной стороны, может быть связано с агрессивным действием кислого рефлюктата, попадающего в пищевод при сопутствующей гастроэзофагеальной рефлюксной болезни, а с другой — обусловлено нарушением строения плотных и адгезивных контактов, содержащих белки окклюдины, клаудины, Е-кадгерин, десмоглеины, возникающим как результат измененной экспрессии генов эпидермального дифференцировочного комплекса при ЭоЭ.
Терапия ИПП препятствует возникновению кислых рефлюксов и повреждению эпителия пищевода, а также способна частично восстанавливать экспрессию межклеточных адгезивных белков и филаггрина до нормального уровня.
Собственная противовоспалительная активность ИПП основана на блокировании стимулированной цитокинами Т-хелперов 2-го типа (Th2) экспрессии эотаксина-3 в эпителиальных клетках слизистой оболочки пищевода, угнетении экспрессии молекул сосудистой адгезии, функции нейтрофилов и продукции провоспалительных цитокинов [22–26, 29]. В экспериментальных работах лечение омепразолом или эзомепразолом снижало уровень стимулированной интерлейкином (ИЛ) 13 секреции эотаксина-3 эпителиальными клетками пищевода примерно в 2 раза [22, 23].
Для лечения взрослых больных ЭоЭ рекомендовано назначение омепразола в стандартной суточной дозировке (20 мг) 2 раза в день или эквивалентных доз других ИПП. Для индукции ремиссии эзофагита у детей рекомендовано назначение омепразола или эзомепразола (1 мг/кг на 1 прием дважды в день) [1].
Продолжительность курса ИПП, необходимая для индукции ремиссии, составляет 8–12 нед, после чего, не прекращая приема препарата, проводят ЭГДС с множественной биопсией из пищевода [19].
У детей и взрослых с ЭоЭ, у которых ремиссия была индуцирована приемом ИПП, необходимо продолжить лечение ИПП в минимально эффективных дозах, что обеспечивает (согласно данным клинических исследований) поддержание гистологической ремиссии у 70,1 % детей и 73 % взрослых пациентов [30, 31].
Топические глюкокортикостероиды
Назначение топических ГКС (будесонид или флутиказон) в виде таблеток для рассасывания или густых суспензий для проглатывания позволяет достичь клинической и гистологической ремиссии у большинства детей и взрослых с ЭоЭ. Кортикостероиды системного действия в лечении ЭоЭ не используются [1, 20, 21, 32, 33].
Частота достижения клинико-гистологической ремиссии на фоне топических стероидов варьирует (в зависимости от лекарственной формы и длительности терапии) от 57 до 84 % [29, 34–36].
Будесонид или флутиказон в рекомендуемых дозах необходимо смешать с густым и вязким гипоаллергенным сиропом (сироп агавы, яблочное пюре, сахарозаменитель сукралоза, кленовый сироп) и проглотить после приема пищи (обычно после завтрака и ужина). В течение 30–60 мин после применения топических ГКС не рекомендуется принимать пищу и пить во избежание смывания препарата со слизистой оболочки пищевода.
Дозы топических ГКС для детей зависят от возраста и роста пациента: для индукции ремиссии при росте <150 см назначается 1 мг будесонида в сутки, при росте ≥150 см — 2 мг будесонида в сутки (в 1 или 2 приема) [32, 37, 38] (табл. 1).
Таблица 1. Дозы топических кортикостероидов для индукции и поддержания ремиссии у больных эозинофильным эзофагитом [40]
Table 1. Doses of topical corticosteroids for induction and maintenance of remission in patients with eosinophilic esophagitis [40]
Лекарственный препарат Drug | Целевая популяция Target population | Доза для индукции ремиссии Dose to induce remission | Доза для поддерживающей терапии Maintenance therapy dose |
Флутиказон Fluticasone | Дети Children | 880–1760 мкг/сут 880–1760 µg/day | 440–880 мкг/сут 40–880 µg/day |
Взрослые Adults | 1760 мкг/сут 1760 µg/day | 880–1760 мкг/сут 880–1760 µg/day | |
Будесонид Budesonide | Дети Children | 1–2 мг/сут 1–2 mg/day | 1 мг/сут 1 mg/day |
Взрослые Adults | 2–4 мг/сут 2–4 mg/day | 1–2 мг/сут 1–2 mg/day |
Через 8–12 нед лечения топическими ГКС необходимо оценить эффективность проводимой терапии путем проведения ЭГДС с множественной биопсией из пищевода и патоморфологическим исследованием биоптатов [1].
Если ремиссия была достигнута на фоне лечения топическими ГКС, то следует продолжить прием препарата. Для поддержания ремиссии у взрослых рекомендовано использовать будесонид в дозе 0,5 или 1 мг 2 раза в сутки. Эффективность таких режимов составляет соответственно 73,5 и 75 % [36]. Длительность поддерживающей терапии — 1 год и более [39–41].
На территории России доступны лишь флутиказон в форме дозированного аэрозоля для ингаляций и раствор будесонида для небулайзерной терапии. В инструкциях к доступным на территории России формам для топической глюкокортикоидной терапии отсутствует указание о применении этих препаратов для лечения ЭоЭ. В связи с этим для назначения топической глюкокортикоидной терапии необходимы проведение врачебной комиссии и обсуждение с пациентами и/или законными представителями соотношения пользы и потенциального вреда назначаемых препаратов [40].
Применение системных кортикостероидов для лечения ЭоЭ не рекомендовано вследствие риска развития побочных эффектов. Доказано, что системные и топические кортикостероиды одинаково эффективны в достижении клинической и гистологической ремиссии ЭоЭ [42].
Биологическая терапия
Генно-инженерные биологические препараты. За последние годы удалось более детально расшифровать молекулярно-генетические механизмы развития ЭоЭ, открывающие перспективы применения новых классов лекарственных препаратов в лечении заболевания.
В рамках клинических исследований изучено несколько таргетных препаратов для лечения ЭоЭ (табл. 2). Преимуществами таргетной терапии являются:
- специфичность: таргетная терапия направлена на конкретные молекулы, что снижает вероятность развития побочных эффектов по сравнению с традиционными методами лечения;
- эффективность: таргетные препараты высокоэффективны в достижении гистологической и в некоторых случаях (например, при терапии дупилумабом) клинической ремиссии заболевания;
- перспективы индивидуализированного лечения: таргетная терапия открывает новые горизонты для персонализированного подхода к лечению ЭоЭ, учитывающего индивидуальные особенности каждого пациента.
Хорошо известно, что ЭоЭ является Т2-ассоциированным заболеванием, что делает логичным использование препаратов, блокирующих эффекты цитокинов, участвующих в Т2-воспалении. Ключевыми цитокинами Т2-ассоциированных заболеваний являются ИЛ-4, ИЛ-5, ИЛ-13 [43, 44].
Меполизумаб, реслизумаб, бенрализумаб (анти-ИЛ-5). В патогенезе ЭоЭ ИЛ-5 является одним из важнейших цитокинов, который стимулирует пролиферацию эозинофилов в костном мозге, их созревание, экспансию в слизистую оболочку пищевода, увеличение продолжительности жизни эозинофилов. ИЛ-5 продуцируется Th2, мастоцитами, эозинофилами [43, 44].
Таблица 2. Исследуемые биологические препараты для лечения эозинофильного эзофагита (ЭоЭ)
Table 2. Monoclonal antibodies investigated for the treatment of eosinophilic esophagitis (EoE)
Название препарата Drug name | Тип Type | Достижение полной гистологической ремиссии Achieving complete histologic remission | Эндоскопическая картина Endoscopic picture | Клиническое улучшение Clinical improvement | Стадия клинических испытаний Stage of clinical trials |
Дупилумаб (одобрен для лечения ЭоЭ в России с 2023 г.) Dupilumab (approved for the treatment of EoE in Russia since 2023) | Моноклональное антитело к альфа-цепи рецептора ИЛ-4 (ИЛ-4Rα), общего для ИЛ-4 и ИЛ-13 Monoclonal antibody to the alpha chain IL-4 receptor (IL-4Rα) common to IL-4 and IL-13 | Да Yes | Улучшение эндоскопической картины Improvement of endoscopic picture | Клинически значимое снижение выраженности дисфагии по опроснику DSQ Clinically significant reduction in dysphagia by DSQ | Одобрен в Европейском союзе, США, России для лечения ЭоЭ. Разрешен с 1 года Approved in the European Union, USA, Russia for the treatment of EoE. Approved from age of 1 year |
Цендакимаб (RPC-4046, CC-93538) Cendakimab (RPC-4046, CC-93538) | Моноклональное антитело к ИЛ-13 Monoclonal antibody to IL-13 | Да Yes | Улучшение эндоскопической картины Improvement of endoscopic picture | Частичное улучшение клинической симптоматики Partial improvement in clinical symptoms | Находится в стадии клинических исследований It is currently in clinical trials |
Дектрекумаб (QAX576) Dectrekumab (QAX576) | Моноклональное антитело к ИЛ-13 Monoclonal antibody to IL-13 | Да Yes | – | Нет No | Досрочное окончание клинического исследования Early termination of the clinical trial |
Тезепелумаб Tezepelumab | Моноклональное антитело к тимическому стромальному лимфопоэтину Monoclonal antibody to thymic stromal lymphopoietin | – | – | – | Находится в стадии клинических исследований It is currently in clinical trials |
Барзолволимаб Barzolvolimab | Моноклональное антитело к рецептору тирозинкиназы Monoclonal antibody to tyrosine kinase receptor | – | – | – | Находится в стадии клинических исследований It is currently in clinical trials |
Реслизумаб/меполизумаб Reslizumab/mepolizumab | Моноклональные антитела к ИЛ-5 Monoclonal antibodies to IL-5 | Противоречивые данные Conflicting data | Улучшение эндоскопической картины или отсутствие прогрессирования изменений Improvement of endoscopic picture or no progression of changes | Противоречивые данные Conflicting data | Досрочное окончание клинического исследования для лечения ЭоЭ Early termination of clinical trial for EoE treatment |
Бенрализумаб Benralizumab | Моноклональное антитело к альфа-цепи рецептора ИЛ-5 (ИЛ-5Rα) Monoclonal antibody to receptor alpha chain IL-5 (IL-5Rα) | Да Yes | Улучшение эндоскопической картины Improvement of endoscopic picture | Незначимо (DSQ) Insignificant (DSQ) | Досрочное окончание клинического исследования для лечения ЭоЭ Early termination of clinical trial for EoE treatment |
Омализумаб Omalizumab | Моноклональное антитело к иммуноглобулину E Monoclonal antibody to immunoglobulin E | Нет No | Нет No | Незначимо Insignificant | Досрочное окончание клинического исследования для лечения ЭоЭ Early termination of clinical trial for EoE treatment |
Лирентелимаб (AK002) Lirentelimab (AK002) | Моноклональное антитело к SIGLEC-8 Monoclonal antibody to SIGLEC-8 | Да Yes | – | Незначимо (DSQ) Insignificant (DSQ) | Досрочное окончание клинического исследования для лечения ЭоЭ Early termination of clinical trial for EoE treatment |
Примечание. DSQ — Dysphagia Symptom Questionnaire; ИЛ — интерлейкин. Note. DSQ — Dysphagia Symptom Questionnaire; IL — interleukin. | |||||
В экспериментах на мышах ИЛ-5 вызывал развитие эозинофилии пищевода, тогда как нейтрализация данного цитокина приводила к купированию эозинофильной инфильтрации. Данные этих наблюдений послужили поводом к проведению исследований по изучению эффективности моноклональных антител к ИЛ-5 (меполизумаб, реслизумаб), предотвращающих связывание ИЛ-5 с его рецептором на эозинофилах.
В исследованиях по оценке эффективности меполизумаба число эозинофилов в слизистой оболочке пищевода на фоне введения препарата значительно снижалось, но влияние на клиническую симптоматику было крайне непредсказуемым (облегчение симптомов наблюдалось только у небольшой доли пациентов) [45–48]. В одном исследовании, посвященном изучению эффективности меполизумаба, у 4 пациентов с длительным анамнезом тяжелого течения ЭоЭ со стриктурами показано 9-кратное снижение степени эозинофильной инфильтрации слизистой оболочки пищевода, однако ни в одном случае достичь полной гистологической ремиссии не удалось [45]. В последующих исследованиях применение меполизумаба в высоких дозах приводило к улучшению гистологической картины (но не к развитию полной гистологической ремиссии), однако не замечено сколько-нибудь существенного облегчения клинической симптоматики [46]. Наконец, в недавнем исследовании еще раз показана эффективность меполизумаба в отношении разрешения эзофагеальной эозинофилии и несостоятельности препарата в купировании симптомов ЭоЭ [47].
Результаты исследований реслизумаба среди 227 детей и подростков с ЭоЭ показали аналогичные результаты: эозинофильная инфильтрация слизистой оболочки пищевода значительно снизилась (хотя очень немногие достигли полной гистологической ремиссии после 4 мес лечения), разницы с группой плацебо в отношении улучшения клинической симптоматики не получено [48]. Таким образом, несмотря на высокую активность меполизумаба и реслизумаба в отношении купирования эозинофильного воспаления, на фоне лечения данными препаратами не удается достичь разрешения клинической симптоматики заболевания, которая сохраняется наряду со значительной воспалительной инфильтрацией слизистой оболочки пищевода неэозинофильными лейкоцитами [45–48].
Закончены исследования III фазы MESSINA с использованием препарата бенрализумаб, представляющего собой моноклональные антитела к рецептору ИЛ-5 (ИЛ-5Rα). Результаты показали высокую эффективность бенрализумаба в купировании эозинофильной инфильтрации стенки пищевода и низкую клиническую эффективность (дисфагия продолжала беспокоить пациентов), что не позволило одобрить препарат для лечения ЭоЭ [49, 50].
Лирентелимаб (анти-SIGLEC-8). Лирентелимаб (AK002) представляет собой гуманизированное антитело IgG1 против так называемого SIGLEC-8-рецептора, обнаруженного на тучных клетках, эозинофилах и базофилах. Активация SIGLEC-8 опосредует острую и хроническую воспалительные реакции. Лирентелимаб, эффект которого реализуется через механизмы антителозависимой цитотоксичности и апоптоза, ингибирует активность тучных клеток, снижает эозинофилию в периферической крови и эозинофильную инфильтрацию стенки пищевода.
В экспериментах на мышах, которым вводили анти-SIGLEC-8, показано значительное снижение экспрессии цитокинов, рекрутирующих иммунные клетки (ИЛ-6, эотаксин-3, ИЛ-13, фактор некроза опухоли) [51]. В недавно проведенном исследовании KRYPTOS оценен эффект лирентелимаба (высокой и низкой дозы по сравнению с плацебо) у пациентов ≥12 лет с ЭоЭ. На фоне приема лирентелимаба удалось достичь полной гистологической ремиссии у 88–92 % пациентов. К сожалению, в отношении купирования дисфагии препарат оказался менее эффективен [52]. В другом клиническом исследовании с применением лирентелимаба (ENIGMA) пациенты с эозинофильным гастритом и дуоденитом, некоторые из которых страдали сопутствующим ЭоЭ, получали лирентелимаб или плацебо. При оценке результатов показано, что в группе лирентелимаба наблюдались выраженное улучшение клинической симптоматики и снижение эозинофильной инфильтрации слизистой оболочки желудочно-кишечного тракта. Примечательно, что пациенты с сопутствующим ЭоЭ сообщили об уменьшении дисфагии [53].
Препараты, напрямую воздействующие на эозинофилы, такие как меполизумаб, реслизумаб, бенрализумаб и лирентелимаб, в рамках клинических исследований показали несостоятельность в достижении клинической ремиссии заболевания. Несмотря на снижение эозинофильной инфильтрации слизистой оболочки пищевода, купирования дисфагии у значительной доли пациентов достичь не удалось. Можно предложить несколько объяснений отсутствия клинической эффективности этих соединений.
В клинических испытаниях биологических препаратов, как правило, участвуют пациенты с длительным анамнезом и тяжелым течением заболевания, а значит, с выраженными фибростенотическими изменениями стенки пищевода, в то время как точкой приложения антиэозинофильных препаратов является воспалительный процесс в слизистой оболочке пищевода.
Также дозировка/схема приема биологических препаратов могла быть низкой и/или неадаптированной для влияния на воспаление в слизистой оболочке желудочно-кишечного тракта. Например, дозировка большинства биологических препаратов, используемых для лечения воспалительных заболеваний кишечника, выше, чем для лечения других аутоиммунных заболеваний с локализацией процесса за пределами желудочно-кишечного тракта.
В целом, учитывая отсутствие классового эффекта антиэозинофильных препаратов, можно усомниться в том, что именно эозинофилы являются ключевыми эффекторными клетками в патогенезе ЭоЭ. Несмотря на то что эозинофильная инфильтрация является характерной особенностью ЭоЭ, хорошо известно, что эозинофилы не являются основной движущей силой заболевания и вторично привлекаются в пищевод. Более того, совсем недавно были идентифицированы и охарактеризованы варианты воспалительных заболеваний пищевода, протекающих с дисфагией, но без эозинофильной инфильтрации стенки пищевода, что позволяет предположить, что спектр воспалительных состояний, поражающих пищевод, более сложен, чем считалось ранее, и что эозинофильная инфильтрация не является постоянной характеристикой ЭоЭ.
Бенрализумаб, меполизумаб, реслизумаб, лирентелимаб не зарегистрированы для терапии пациентов с ЭоЭ.
Дектрекумаб и цендакимаб (анти-ИЛ-13). Интерлейкин-13 — цитокин, участвующий в патогенезе большинства атопических заболеваний. В слизистой оболочке больных ЭоЭ наблюдается гиперэкспрессия ИЛ-13. Интересно, что в экспериментах in vitro обработка эпителиальных клеток пищевода ИЛ-13 приводит к транскриптомному профилю, в значительной степени перекрывающему транскриптом, специфичный для ЭоЭ. Основными источниками ИЛ-13 являются Th2, активированные эозинофилы, ILC2, iNKT. ИЛ-13 совместно с ИЛ-4 вызывают индукцию синтеза эотаксина-3 и периостина в эпителиальных клетках пищевода, отложение коллагена в стенке пищевода, гипертрофию гладкомышечных клеток, ангионеогенез, определяя (наряду с фактором роста опухолей β1) ремоделирование тканей пищевода. Высвобождение эотаксина (CCL26) эпителиальными клетками пищевода, возникающее под влиянием ИЛ-13 и ИЛ-4, приводит к эозинофильной инфильтрации стенки пищевода за счет хемотаксиса и активации эозинофилов, дифференцировке Th2, переключению классов IgG1 и IgE В-клеток.
Интерлейкин-13 оказывает угнетающее влияние на экспрессию генов десмоглеина-1 и филаггрина, кодирующих синтез белков адгезии и белков межклеточных контактов, приводя к нарушению барьерной функции эпителия. В то же время ИЛ-13 стимулирует экспрессию гена CAPN14, в результате чего происходит ускоренная деградация десмосомального белка десмоглеина-1, ответственного за адгезию эпителиальных клеток. Гиперэкспрессия ИЛ-13 приводит к эпителиально-мезенхимальному переходу — процессу изменения эпителиальных клеток на мезенхимальный фенотип, характеризующемуся более низкой экспрессией белков плотных контактов и E-кадгеринов и более высокой экспрессией деполяризованных цитоскелетных белков, а также повышенным отложением коллагена во внеклеточном матриксе пищевода. При ЭоЭ эпителиально-мезенхимальный переход лежит в основе развития фиброзно-склеротических изменений стенки пищевода. В экспериментах in vivo на мышах с гиперэкспрессией ИЛ-13 показано, что данный цитокин стимулирует фиброз стенки пищевода независимо от эозинофилов [3, 43, 44].
В двойном слепом плацебо-контролируемом клиническом исследовании, включавшем 25 взрослых пациентов на фоне применения антител к ИЛ-13 (QAX576, дектрекумаб), показаны некоторое облегчение симптомов заболевания и улучшение гистологической картины (включая случаи заболевания, резистентные к терапии ГКС). Хотя в исследовании не достигнута первичная конечная точка (снижение пиковых показателей эозинофилов >75 %), у пациентов группы, получавшей лечение, наблюдалось значительное снижение эозинофилии пищевода (−60 %) по сравнению с пациентами, рандомизированными в группу плацебо (+23 %). Данные анализа биоптатов из слизистой оболочки пищевода больных, получавших данный препарат, позволили зафиксировать снижение активности экспрессии ЭоЭ-ассоциированных генов, таких как эотаксин-3, периостин, а также нормализацию работы генов, ответственных за осуществление барьерной функции эпителия пищевода. К сожалению, несмотря на снижение частоты и тяжести дисфагии на фоне применения дектрекумаба, значимых улучшений клинической симптоматики препарат не показал [54].
Другой препарат, представленный моноклональными антителами к ИЛ-13, — цендакимаб при еженедельном введении 180 или 360 мг подкожно показал достижение гистологической ремиссии, снижение эндоскопической активности заболевания и уменьшение симптомов дисфагии (р = 0,07) у большей части пациентов [55–57]. Среди побочных эффектов цендакимаба описаны головная боль и инфекции верхних дыхательных путей. Интересно, что к 16-й неделе применения цендакимаба в образцах тканей из пищевода наблюдались процессы регресса эпителиально-мезенхимального перехода (снижение доли виментин-положительных клеток, повышение экспрессии Е-кадгерина), что в целом может свидетельствовать о возможности анти-ИЛ-13-препаратов потенцировать обратное развитие фиброза стенки пищевода [58, 59]. Благоприятный профиль безопасности, влияние на выраженность жалоб делают антитела к ИЛ-13 перспективными для дальнейших исследований.
Интерлейкин-4 является цитокином, регулирующим дифференцировку наивных Т-хелперов по пути образования Тh2, стимулирующим преобразование В-лимфоцитов в плазмоциты, синтезирующие IgE. Свои эффекты ИЛ-4 реализует, связываясь с рецептором ИЛ-4Rα и активируя ген STAT6 [3, 43, 44].
Дупилумаб (анти-ИЛ-4Rα). Единственным генно-инженерным биологическим препаратом, доказавшим свою эффективность в достижении клинической и гистологической ремиссии, официально одобренным для лечения ЭоЭ (в том числе в России), является дупилумаб. Дупилумаб — гуманизированное моноклональное антитело класса IgG4, связывающее α-субъединицу гетеродимерного рецептора ИЛ-4. Поскольку данная субъединица является общей для ИЛ-4 и ИЛ-13, назначение дупилумаба обеспечивает блокировку эффектов сразу 2 ключевых цитокинов — ИЛ-4 и ИЛ-13.
Возможности использования дупилумаба при ЭоЭ изучены в исследовании TREET у взрослых и детей 12–17 лет с массой тела ≥40 кг, препарат вводили 1 раз в неделю в течение 52 нед (завершено исследование фазы III). По результатам исследования доля пациентов, достигших гистологической ремиссии к 24-й неделе лечения, составила 58,8 %. Доля пациентов с гистологической ремиссией, наблюдаемой через 24 нед, сохранялась до 52-й недели [60–62].
Применение дупилумаба у пациентов с ЭоЭ привело к значимому облегчению дисфагии, оцениваемой с помощью опросника DSQ (Dysphagia Symptom Questionnaire). Снижение выраженности дисфагии наблюдалось уже на 4-й неделе и сохранялось до 24-й недели (лечение дупилумабом обеспечивало статистически значимое улучшение скорректированного среднего значения оценки DSQ по сравнению с плацебо). Клиническое улучшение, наблюдаемое через 24 нед при применении дупилумаба в дозе 300 мг 1 р/нед, сохранялось до 52-й недели. Дупилумаб характеризуется благоприятным профилем безопасности. Терапия дупилумабом не требует проведения дополнительных лабораторных или инструментальных обследований и рутинного мониторинга лабораторных показателей до и во время лечения. Наиболее часто сообщалось о побочных эффектах, связанных с реакциями в месте инъекции, не зарегистрировано тенденций к гиперэозинофилии [60–62].
В другом недавнем исследовании оценена эффективность дупилумаба (еженедельное подкожное введение 300 мг) при тяжелой фибростенотической форме ЭоЭ, рефрактерной к стандартной терапии. Сообщено о значительном увеличении диаметра пищевода (с 13,9 до 16 мм) и облегчении симптомов у 91 % пациентов [63].
В описанных клинических исследованиях дупилумаба участвовали пациенты с ЭоЭ с рефрактерностью к проведенной ранее медикаментозной терапии ИПП или ГКС; тем не менее для назначения дупилумаба не требуется предварительного подтверждения неэффективности других методов лечения. В качестве медикаментозной терапии 1-й линии дупилумаб может быть назначен для пациентов с ЭоЭ с сопутствующими атопическими заболеваниями (бронхиальная астма, атопический дерматит, полипозный риносинусит), для которых дупилумаб также разрешен к применению, а также для пациентов с низкой приверженностью к элиминационной диете [64, 65].
В июле 2022 г. представлены положительные результаты исследования III фазы применения дупилумаба у детей с ЭоЭ в возрасте 1–11 лет [62]. В III фазе исследования приняли участие 102 ребенка, которые получали дупилумаб в зависимости от массы тела в более высокой (n = 37) или низкой (n = 31) дозе либо плацебо (n = 34). Через 16 нед у 68 % детей, получавших более высокие дозы, и у 58 %, получавших более низкие дозы дупилумаба, достигнута гистологическая ремиссия заболевания. В группе плацебо ремиссия наблюдалась у 3 % детей (p <0,0001 для обеих групп). Результаты по безопасности в целом соответствовали известному профилю безопасности дупилумаба у пациентов с ЭоЭ для детей и взрослых в возрасте 12 лет и старше с массой тела ≥40 кг.
На основании полученных результатов препарат зарегистрирован для лечения ЭоЭ у взрослых и детей от 1 года (в том числе в России).
Тезепелумаб (антитело к тимическому стромальному лимфопоэтину). Тимический стромальный лимфопоэтин (TSLP) является членом семейства цитокинов ИЛ-2 и действует как алармин. TSLP активирует антигенпрезентирующие клетки (дендритные клетки и мастоциты), способствуя детерминации иммунного ответа по T2-зависимому пути, управляя выработкой ИЛ-4, ИЛ-5, ИЛ-9 и ИЛ-13, а также оказывая провоспалительное действие. TSLP вырабатывается эпителиальными клетками и в меньшей степени базофилами, тучными клетками и дендритными клетками кожи, легких и кишечника. Его рецептор представляет собой гетеродимер, состоящий из α-цепи рецептора ИЛ-7 (ИЛ-7Rα) и цепи TSLP-R. TSLP воздействует на дендритные клетки, клетки CD4+ и CD8+, гранулоциты, тучные клетки, ИЛC2-, NK-клетки, гладкомышечные и опухолевые клетки [66, 67].
Гиперэкспрессия TSLP характерна не только для ЭоЭ, но и для большинства атопических заболеваний.
Тезепелумаб представляет собой человеческое моноклональное антитело IgG2λ, нацеленное на циркулирующий TSLP и предотвращающее его связь с рецептором. В настоящее время продолжается 52-недельное исследование, направленное на оценку эффективности и безопасности тезепелумаба у взрослых и подростков с ЭоЭ [68].
Биологические препараты других групп. Омализумаб (анти-IgE). Омализумаб — препарат моноклональных антител против IgE. В небольшом рандомизированном контролируемом исследовании омализумаба у 30 пациентов с ЭоЭ, получавших лечение, не отмечено гистологического или симптоматического улучшения по сравнению с плацебо [69].
CALY-002 (анти-ИЛ-15). Еще одним цитокином, играющим важную роль в патогенезе ЭоЭ, является ИЛ-15, высвобождаемый клетками врожденной иммунной системы (дендритные клетки и макрофаги), а также фибробластами и эпителиальными клетками. ИЛ-15 активизирует синтез Th2-лимфоцитами цитокинов ИЛ-5 и ИЛ-13. У пациентов с ЭоЭ наблюдается гиперэкспрессия ИЛ-15 в базальных слоях эпителия слизистой оболочки пищевода. Моноклональное антитело CALY-002 против ИЛ-15 активно изучается у пациентов с ЭоЭ и целиакией [70].
Барзолволимаб (антитело к рецептору тирозинкиназы). Барзолволимаб (CDX-0159) представляет собой гуманизированное моноклональное антитело, которое специфически связывается с рецепторной тирозинкиназой и подавляет ее активность, необходимую для функционирования и выживания тучных клеток. Эффективность препарата при ЭоЭ оценивается в рамках исследования EvolvE [71].
Инфликсимаб (антитело к фактору некроза опухоли альфа). Несмотря на то что в ответ на воспаление в многослойном плоском эпителии пищевода возникает массивная экспрессия фактора некроза опухоли, при применении антител к фактору некроза опухоли альфа (инфликсимаб) у больных ЭоЭ не удалось достичь купирования клинической симптоматики и разрешения эозинофилии пищевода. Использование инфликсимаба для лечения ЭоЭ не рекомендовано [72].
Иммуносупрессоры. Назначение азатиоприна и 6-меркаптопурина при стероидорезистентных формах ЭоЭ не позволяет достичь ремиссии заболевания и обеспечить ее поддержание на длительный срок. В литературе описано лишь 3 случая стероидорезистентного течения ЭоЭ, при котором назначение азатиоприна взрослым пациентам в дозе 2–2,5 мг и меркаптопурина привело к индукции и поддержанию ремиссии. Однако после отмены терапии наступил рецидив. Применение азатиоприна и меркаптопурина для лечения ЭоЭ не рекомендовано [73].
Антагонисты лейкотриеновых рецепторов и антигистаминные препараты системного действия. Применение антигистаминных средств системного действия, антагонистов лейкотриеновых рецепторов (монтелукаст), кромоглициевой кислоты для лечения ЭоЭ не рекомендовано в связи с их неэффективностью.
Антигистаминные препараты, с успехом используемые в лечении аллергического ринита и других аллергических заболеваний, оказались абсолютно несостоятельны в купировании симптомов и влиянии на выраженность эозинофильного воспаления в слизистой оболочке пищевода у больных ЭоЭ.
Еще один препарат, препятствующий дегрануляции тучных клеток (мастоцитов), кромоглициевая кислота (для перорального применения), также показал свою неэффективность при лечении 14 детей, больных ЭоЭ, несмотря на доказанную роль мастоцитов в патогенезе ЭоЭ.
Антагонист лейкотриеновых рецепторов D4 (монтелукаст), используемый в высоких дозах (10–100 мг) у взрослых и в стандартных дозах у детей, приводил к некоторому клиническому улучшению, однако гистологической ремиссии на фоне приема монтелукаста достигнуть не удалось. В рандомизированном контролируемом исследовании эффективность монтелукаста (20 мг/сут) в поддержании ремиссии, индуцированной топической глюкокортикоидной терапией, была сопоставима с плацебо. В серии проспективных наблюдений за взрослыми больными, у которых ремиссия была достигнута на фоне применения топической глюкокортикоидной терапии, применение монтелукаста в качестве поддерживающей терапии привело к рецидиву эозинофильного воспаления в течение 3-месячного периода [74–78].
Эндоскопическое лечение при стриктурах и/или стенозе пищевода
Дисфагия у пациентов с ЭоЭ может быть связана с отеком слизистой оболочки пищевода на фоне активного воспаления, а также фиброзными изменениями в субэпителиальном и подслизистом слоях с образованием стриктур. Терапия ИПП и топическими ГКС при развитии тяжелых фиброзно-склеротических изменений стенки пищевода, как правило, не приводит к купированию дисфагии, разрешение которой возможно в данном случае только при проведении эндоскопической дилатации или бужирования.
Эндоскопическая дилатация проводится при сужении просвета пищевода <13 мм в плановом порядке только после курса медикаментозной терапии.
При ургентных ситуациях, повторяющихся вклинениях пищи в пищевод, терминальных сужениях пищевода допустимо проведение дилатации пищевода без предварительной противовоспалительной терапии, что увеличивает риск осложнений.
Вероятность развития осложнений (кровотечение, перфорация) после эндоскопического лечения составляет около 0,1–0,3 % [79].
Стратегия терапии эозинофильного эзофагита
Решение о выборе базисного препарата (ИПП, топические стероиды, биологическая терапия) и диетического режима для лечения ЭоЭ рекомендовано принимать совместно с пациентом, обсудив с ним все положительные и отрицательные стороны имеющихся вариантов. Важно, что терапия пациентов с ЭоЭ может со временем изменяться (при желании пациента, возникновении побочных эффектов и пр.).
При неэффективности препаратов 1-й линии (ИПП, ГКС) необходимо рассмотреть возможность назначения дупилумаба. Однако следует помнить, что с точки зрения правовых аспектов применения лекарственных средств на сегодняшний день в России нет ни одного препарата класса ИПП или топического ГКС, зарегистрированного по показанию ЭоЭ. Таким образом, из зарегистрированных опций доступна только таргетная терапия (дупилумаб для лиц с 1 года).
Дупилумаб может быть назначен в качестве 1-й линии терапии у пациентов с сопутствующими атопическими заболеваниями или при тяжелом течении ЭоЭ [70].
Эффективность медикаментозной терапии и диетических режимов должна быть обязательно оценена через 8–12 нед после начала лечения путем проведения ЭГДС с множественной биопсией из пищевода на фоне продолжающегося приема препаратов и/или соблюдения диеты.
Решение о необходимости эндоскопической дилатации рекомендуется проводить пациентам со стриктурами и стенозом пищевода (при диаметре пищевода <13 мм) после пробного курса медикаментозной терапии. Эндоскопическая дилатация пищевода не может быть единственным лечебным мероприятием у больных ЭоЭ, она должна проводиться на фоне базисной противовоспалительной терапии ИПП или топическими кортикостероидами [1, 6, 39, 40].
Системные ГКС, антагонисты лейкотриеновых рецепторов, антигистаминные препараты не рекомендованы для лечения ЭоЭ.
Описание случаев
Клинический случай 1
Жалобы. Пациент А., 1997 года рождения, обратился с жалобами на затруднения при глотании пищи твердой консистенции, необходимость длительно жевать и запивать пищу жидкостью, частую изжогу, эпизоды вклинения пищи в пищевод, необходимость вызывать рвоту при застревании пищи с частотой около 2 раз в месяц.
Анамнез заболевания. Жалобы на дисфагию беспокоят с 2007 г. (с 10 лет), около 7 лет пациент справлялся с симптомами, используя компенсаторные приемы при еде, в 2014 г. в связи с усугублением жалоб впервые обратился к врачу: проведена ЭГДС, выявлены характерные признаки ЭоЭ, стриктура пищевода. По месту жительства пациенту назначена диета (состав разрешенных продуктов определялся по данным аллергологического тестирования), он периодически принимал антациды от изжоги, ему ежегодно проводилась ЭГДС, после которой дисфагия на некоторое время облегчалась в связи с бужированием пищевода эндоскопом.
В 2022 г. состояние пациента значительно ухудшилось, он сильно похудел, принимать пищу мог только в жидком виде. В связи с этим обратился в Городскую клиническую больницу (ГКБ) № 31 (г. Москва) для проведения обследования и лечения.
Анамнез жизни. Пациент родился и проживает в Нижнем Новгороде. Не курит, алкоголь не употребляет. Наследственность не отягощена.
Аллергоанамнез. Отек слизистой оболочки гортаноглотки при приеме в пищу гречневой каши, молочных продуктов, грецких орехов, меда, киви.
Объективный статус. Состояние удовлетворительное, сознание ясное, положение активное, рост 172 см, масса тела 60 кг, индекс массы тела 20,7 кг/м2, температура тела 36,8 °С. Кожные покровы физиологической окраски. Над легкими выслушивается везикулярное дыхание, хрипов нет, частота дыхания 16 в минуту. Тоны сердца ясные, ритмичные, частота сердечных скоращений 62 в минуту, артериальное давление 120/60 мм рт. ст. Живот участвует в акте дыхания, не вздут, болезненный в эпигастрии. Симптомы раздражения брюшины отсутствуют. Печень не выступает из-под края реберной дуги, селезенка не пальпируется. Симптом поколачивания отрицательный с обеих сторон. Отеков нет.
Результаты лабораторного и инструментального исследований. В общем анализе крови эозинофилия 8 %; биохимический анализ крови, мочи и кала: без значимых отклонений от норм; отмечается повышение уровня IgE в сыворотке крови до 348 МЕ/мл (норма <100).
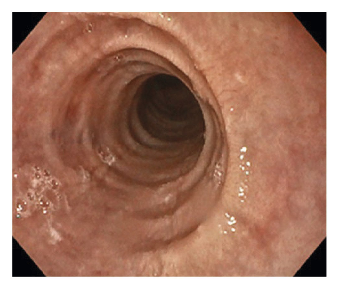
В ГКБ № 31 пациенту проведена ЭГДС в октябре 2022 г. (эндоскопист Е.В. Горбачев): слизистая оболочка пищевода бледно-розовая, отечная в дистальных отделах, при инсуффляции СО2 в пищеводе определяются циркулярные кольца в проксимальной и средней третях пищевода. Вертикальные борозды определяются во всех отделах пищевода, в дистальном отделе на поверхности слизистой оболочки визуализируется экссудат, который не смывается водой. Кардия расположена на расстоянии 41 см от резцов, сомкнута, на 40 см имеется стриктура в виде кольца, суживающая просвет пищевода до 5–6 мм, для эндоскопа диаметром 9,2 мм непроходима. Заключение: эндоскопические признаки эозинофильного эзофагита: отек, кольца, экссудат, продольные борозды и стриктура 5 мм (рис. 2). Рекомендована баллонная дилатация области стриктуры пищевода после курса медикаментозной терапии. По данным патоморфологического исследования биоптатов выявлено 12–15 эозинофилов в поле зрения микроскопа высокого разрешения, выраженный субэпителиальный фиброз (так называемый фибростенотический фенотип ЭоЭ).
Рис. 2. Эндоскопические особенности эозинофильного эзофагита у пациента A. до лечения: кольца, стриктура.
Fig. 2. Endoscopic signs of eosinophilic esophagitis in patient A. before treatment: rings, stricture.
Лечение. В связи с сочетанием у пациента симптомов гастроэзофагеальной рефлюксной болезни (изжога) и предстоящей процедуры дилатации решено назначить эзомепразол 20 мг 2 раза в день в комбинации с будесонидом 2 мг 2 раза в день в виде густой суспензии после еды сроком 8–12 нед. Интересно, что на фоне приема медикаментов еще до баллонной дилатации стриктуры пищевода пациент отметил практически полное разрешение дисфагии, вероятно, связанное со снижением отека и инфильтрации слизистой оболочки.
В декабре 2022 г. (через 2 мес медикаментозного лечения) пациенту проведено 3 процедуры баллонной дилатации пищевода, диаметр баллона 18 мм, проводились инъекции дексаметазона в слизистую пищевода. После баллонной дилатации пациенту рекомендовано продолжить прием эзомепразола 40 мг/сут и будесонида в поддерживающей дозировке 1 мг 2 раза в день еще 8 нед с постепенной отменой будесонида.
Исход и результаты последующего наблюдения. При контрольной ЭГДС (эндоскопист Е.В. Горбачев) через 6 мес на фоне приема эзомепразола 40 мг/сут выявлена следующая картина: в просвете пищевода определяются выраженные циркулярные сужения в проксимальной части и менее выраженные в средней трети пищевода, имеются рубцовые изменения на слизистой оболочке в виде белесоватых линейных тяжей. Вертикальные борозды определяются во всех отделах пищевода, область, где ранее выполнена дилатация пищевода, свободно проходима для стандартного эндоскопа. Заключение: эндоскопические признаки ЭоЭ — отек, кольца, продольные борозды, отмечается улучшение эндоскопической картины по сравнению с предыдущим исследованием (рис. 3). Данные патоморфологического исследования биоптатов: гиперплазия базального слоя эпителия, фиброз субэпителиального слоя, инфильтрация эозинофилами слизистой оболочки снизилась (4–9 эозинофилов в поле зрения микроскопа высокого разрешения).
Рис. 3. Эндоскопические особенности эозинофильного эзофагита у пациента А. на фоне лечения: отек, кольца, продольные борозды.
Fig. 3. Endoscopic features of eosinophilic esophagitis in patient A during treatment: edema, rings, furrows.
Таким образом, после проведенного эндоскопического и медикаментозного лечения наблюдались снижение выраженности воспалительных изменений и разрешение стриктуры пищевода, однако фиброзные изменения в виде колец сохранились. Пациент отметил значительное улучшение самочувствия, масса тела увеличилась на 4 кг, дисфагия купировалась. Тем не менее развившиеся к 25 годам фибростенотические изменения в пищеводе пациента носят необратимый характер, что подчеркивает необходимость своевременного начала лечения с момента установления диагноза.
В настоящее время пациент получает постоянную поддерживающую терапию будесонидом 0,5 мг 2 раза в сутки и в связи с сопутствующей гастроэзофагеальной рефлюксной болезнью принимает 40 мг эзомепразола. Наблюдение за пациентом включает проведение ЭГДС с биопсией из пищевода 1 раз в год. Дисфагия и изжога не беспокоят.
Клинический случай 2
Жалобы. Пациент К, 1987 года рождения, обратился с жалобами на необходимость длительно жевать пищу, изжогу с частотой 1 раз в 2 нед, эпизоды застревания пищи в пищеводе с периодичностью около 2–3 раз в год.
Анамнез заболевания. Первый эпизод вклинения пищи в пищевод возник в 2012 г. (в 25 лет), когда пациент впервые экстренно обратился в стационар для проведения ЭГДС в связи с застрявшим куском мяса: проведено низведение мяса в желудок, диагноз не установлен, биопсия не взята. Впоследствии, когда случались вклинения пищи, пациент вызывал рвоту или обильно запивал водой и научился самостоятельно справляться с подобными эпизодами. Однако в 2024 г. вклинение пищи в пищевод не удалось купировать компенсаторными приемами, пациент по каналу скорой медицинской помощи был доставлен в хирургический стационар, где вновь проведена ЭГДС и выявлены признаки ЭоЭ: отек, кольца, экссудат, продольные борозды и стриктура в пищеводе. Взята биопсия 8 фрагментов, при патоморфологическом исследовании биоптатов выявлено 10 эозинофилов в поле зрения. Для дальнейшего обследования и лечения пациент направлен в ГКБ № 31.
Анамнез жизни. С детства пациент страдает бронхиальной астмой, аллергическим ринитом и конъюнктивитом, поллинозом. Родные брат и сестра пациента страдают бронхиальной астмой.
Объективный статус. Без особенностей, индекс массы тела 22 кг/м2.
Результаты лабораторного и инструментального исследований. В общем анализе крови выявлена эозинофилия 7,9 %, отмечается повышение уровня IgE в сыворотке крови до 130 МЕ/мл (норма <100).
В ГКБ № 31 проведен пересмотр гистологических препаратов, обнаружены выраженная эозинофильная инфильтрация (до 23 эозинофилов в поле зрения микроскопа высокого разрешения), субэпителиальный фиброз, гиперплазия базального слоя эпителия. По совокупности данных клинической картины, ЭГДС, патоморфологического исследования биоптатов, лабораторных данных и результатов консультации аллерголога установлен диагноз: ЭоЭ высокой степени активности, осложненный развитием стриктуры в пищеводе. Бронхиальная астма среднетяжелого течения с преобладанием аллергического компонента. Аллергия к домашней пыли, шерсти животных, пыльце деревьев.
Лечение. Пациенту назначен дупилумаб 300 мг подкожно 1 раз в 2 нед.
Исход и результаты последующего наблюдения. На фоне лечения пациент отметил значительное облегчение симптомов дисфагии, эпизоды вклинения пищи не повторялись, приступы удушья также не беспокоят. Через 3 мес после начала терапии дупилумабом проведена контрольная ЭГДС (эндоскопист Е.В. Горбачев), при которой выявлены слабовыраженные кольца, продольные борозды, однако признаков стриктуры не обнаружено, пищевод свободно проходим для эндоскопа стандартного диаметра (рис. 4). При патоморфологическом исследовании биоптатов из пищевода на фоне терапии дупилумабом обнаружено максимально 3 эозинофила в поле зрения микроскопа высокого разрешения, что соответствует полной гистологической ремиссии.
Рис. 4. Эндоскопические особенности эозинофильного эзофагита у пациента К. на фоне лечения дупилумабом: кольца, продольные борозды.
Fig. 4. Endoscopic features of eosinophilic esophagitis patient K. during treatment by dupilumab: rings, longitudinal furrows.
Таким образом, на фоне лечения дупилумабом удалось добиться не только купирования тяжелой дисфагии, но и, судя по всему, обратного развития фиброзных изменений в стенке пищевода.
Обсуждение
История лечения ЭоЭ наполнена интересными вехами и открытиями. Первыми мерами, позволяющими облегчить судьбу пациентов, страдающих тяжелой дисфагией, и применявшимися у большинства из них, были дилатация и бужирование пищевода, системные кортикостероиды и строгая элементная диета (аминокислотные смеси). Однако очень быстро от системных стероидов было решено отказаться (в связи со значительными побочными эффектами), а дилатация и бужирование пищевода применялись лишь при крайних степенях сужения просвета пищевода [80].
Ключевыми препаратами в лечении ЭоЭ стали топические стероиды (будесонид и флутиказон), широко используемые для лечения бронхиальной астмы, однако в случае ЭоЭ их не вдыхали, а глотали после впрыска из ингалятора в рот. ИПП также не сдавали своих позиций, показывая в сравнительных исследованиях практически сопоставимую эффективность с топическими стероидами в достижении клинической и гистологической ремиссии.
В дальнейшем для более продолжительного и эффективного действия стали разрабатываться новые лекарственные формы: будесонид смешивали с густым сиропом агавы, кленовым сиропом, сахарозаменителями. Появились первые рандомизированные клинические исследования, где демонстрировалась значительная эффективность топических стероидов в лечении ЭоЭ по сравнению с плацебо. Примерно в это же время активно исследовалось применение различных диетических режимов (диета с исключением 6–4–2 продуктов) у больных ЭоЭ, также показавшее хорошую эффективность (по сравнению с плацебо) в достижении ремиссии заболевания.
Революцией в лечении ЭоЭ стала разработка специальной лекарственной формы будесонида — таблетки, медленно растворяющейся во рту, что позволяло наиболее длительно и полноценно реализовывать терапевтический потенциал препарата. В 2019 г. растворимая таблетка будесонида была официально одобрена к применению для лечения ЭоЭ в некоторых странах Европы.
К сожалению, ни один из перечисленных методов лечения не обладает 100 % эффективностью, что обусловливало поиск новых таргетных препаратов. В 2010–2020 гг. активно проводились клинические исследования по изучению влияния моноклональных антител (анти-ИЛ-5/ИЛ-13, антитела к рецепторам ИЛ-4, ИЛ-5, ИЛ-13), однако большинство из них не были одобрены к применению при ЭоЭ. В 2022 г. преждевременно завершена III фаза исследования препарата, представляющего собой антитела к ИЛ-5Rα, в связи с его недостаточной клинической эффективностью. Зато в 2023 г. к применению при ЭоЭ одобрен препарат дупилумаб (человеческие моноклональные антитела к субъединице ИЛ-4Rα, общей для ИЛ-4 и ИЛ-13), ранее широко применявшийся у больных с тяжелой, трудноконтролируемой эозинофильной бронхиальной астмой.
В крупных клинических исследованиях показано, что применение дупилумаба позволяет добиться не только гистологической ремиссии, но и значимого снижения выраженности дисфагии. Данный факт представляется крайне любопытным, поскольку у пациентов с ЭоЭ дисфагия обусловлена не только активным воспалением в толще слизистой оболочки пищевода, но и главным образом фиброзным ремоделированием стенки пищевода. Как показывают результаты экспериментальных и клинических исследований, дупилумаб улучшает растяжимость пищевода, влияя на обратное развитие фиброза и процессы эпителиально-мезенхимального перехода, включая случаи ЭоЭ с тяжелым фиброзным фенотипом. Вероятнее всего эти эффекты обусловлены влиянием на ИЛ-13 и никак не связаны с эозинофилами, потому что ни один из ранее исследуемых таргетных препаратов, действие которых было направлено преимущественно на эозинофилы (антитела к ИЛ-5 или его рецептору), не оказал значимого влияния на клиническую картину заболевания.
Таким образом, становятся очевидными преимущества применения системно действующих препаратов моноклональных антител (анти-ИЛ-4/ИЛ-13) по сравнению с ИПП и топическими ГКС с точки зрения влияния не только на процессы воспаления в слизистой оболочке, но и ремоделирования всей толщи стенки пищевода, что может позволить предотвратить прогрессирование заболевания и осложнения, включая стриктуры пищевода и вклинение пищи в пищевод.
Кроме того, с учетом того, что большинство пациентов с ЭоЭ страдают сопутствующими Т2-заболеваниями, нередко протекающими в тяжелой форме (полипозный риносинусит, бронхиальная астма, эпизоды анафилаксии и др.), биологическая терапия, нацеленная на ИЛ-4/ИЛ-13, представляется крайне перспективной.
Заключение
Таким образом, для лечения ЭоЭ возможно применение элиминационных диет, назначение медикаментозной терапии, в случае осложнений — проведение эндоскопической дилатации или бужирования пищевода. Эффективность при ЭоЭ доказали ИПП, топические ГКС и биологические препараты, представленные моноклональными антителами, однако единственным препаратом, официально одобренным для лечения ЭоЭ в России, является дупилумаб.
Несмотря на огромное число публикаций и консенсусных документов, вносящих значительную ясность в вопросы диагностики и лечения пациентов с ЭоЭ, остается много вопросов, касающихся естественного течения и прогноза ЭоЭ, роли неэозинофильных воспалительных клеток в его патогенезе. В лечении заболевания до сих пор отсутствует понимание о показаниях к поддерживающей терапии, ее длительности, предикторах прогрессирования заболевания. Остается сложным вопрос выбора терапии 1-й линии (ИПП, топические ГКС, диета, биологические препараты): у кого и что следует использовать в первую очередь? С появлением новых биопрепаратов для лечения ЭоЭ стал крайне актуален вопрос их доступности, эффективности и безопасности в долгосрочной перспективе.
С учетом сложного патогенеза заболевания, в основе которого лежит генетически обусловленный дефект работы иммунной системы, ранней манифестации, частых системных проявлений с большим числом сочетанных атопических заболеваний, развития осложнений (стриктуры и стенозы пищевода), значительного снижения качества жизни вследствие нарушения процесса приема пищи каждый больной ЭоЭ должен наблюдаться слаженной командой специалистов длительно (а возможно, пожизненно).
ДОПОЛНИТЕЛЬНАЯ ИНФОРМАЦИЯ / ADDITIONAL INFORMATION
Источник финансирования. Авторы заявляют об отсутствии внешнего финансирования при проведении исследования и подготовке публикации.
Конфликт интересов. Авторы декларируют отсутствие явных и потенциальных конфликтов интересов, связанных с проведенным исследованием и публикацией настоящей статьи.
Вклад авторов. Все авторы подтверждают соответствие своего авторства международным критериям ICMJE (все авторы внесли существенный вклад в разработку концепции, проведение исследования и подготовку статьи, прочли и одобрили финальную версию перед публикацией). Наибольший вклад распределен следующим образом: В.О. Кайбышева — обзор литературы, сбор и анализ источников литературы, написание и редактирование текста статьи; Е.Д. Федоров — обзор литературы, сбор и анализ источников литературы, редактирование текста статьи; С.Г. Шаповальянц — редактирование текста статьи.
Информированное согласие на публикацию. Пациенты добровольно подписали форму информированного согласия на публикацию персональной медицинской информации в обезличенной форме в «Российском аллергологическом журнале».
Funding source. This study was not supported by any external sources of funding.
Competing interests. The authors declare that they have no competing interests.
Authors’ contribution. All authors made a substantial contribution to the conception of the work, acquisition, analysis, interpretation of data for the work, drafting and revising the work, final approval of the version to be published and agree to be accountable for all aspects of the work. V.O. Kaibysheva — literature review, collection and analysis of literary sources, writing and editing the article; E.D. Fedorov — literature review, collection and analysis of literary sources, editing the article; S.G. Shapovalyants — editing the article.
Consent for publication. Written consent was obtained from the patient for publication of relevant medical information within the manuscript in Russian Journal of Allergy.
About the authors
Valeria O. Kaibysheva
The Russian National Research Medical University named after N.I. Pirogov
Author for correspondence.
Email: valeriakai@mail.ru
ORCID iD: 0000-0003-0114-3700
SPIN-code: 3954-1379
MD, Cand. Sci. (Medicine)
Россия, MoscowEvgeniy D. Fedorov
The Russian National Research Medical University named after N.I. Pirogov
Email: efedo@mail.ru
ORCID iD: 0000-0002-6036-7061
SPIN-code: 6785-9959
MD, Dr. Sci. (Medicine), Professor
Россия, MoscowSergey G. Shapovalyants
The Russian National Research Medical University named after N.I. Pirogov
Email: sgs31@mail.ru
ORCID iD: 0000-0002-1571-8125
SPIN-code: 8510-5985
MD, Dr. Sci. (Medicine), Professor
Россия, MoscowReferences
- Dhar A, Haboubi HN, Attwood SE, et al. British Society of Gastroenterology (BSG) and British Society of Paediatric Gastroenterology, Hepatology and Nutrition (BSPGHAN) joint consensus guidelines on the diagnosis and management of eosinophilic oesophagitis in children and adults. Gut. 2022;71(8):1459–1487 doi: 10.1136/gutjnl-2022-327326
- Hahn JW, Lee K, Shin JI, et al. Global incidence and prevalence of eosinophilic esophagitis, 1976-2022: a systematic review and meta-analysis. Clin Gastroenterol Hepatol. 2023;21(13):3270–3284. doi: 10.1016/j.cgh.2023.06.005
- Kaibysheva VO, Mikhaleva LM, Nikonov EL, Shapovalyants SG. Epidemiology, etiology and pathogenesis of eosinophilic esophagitis. The latest data. Russian Journal of Evidence-Based Gastroenterology. 2019;8(2):50–72. (In Russ.). doi: 10.17116/dokgastro2019802150
- Schoepfer AM, Safroneeva E, Bussmann C, et al. Delay in diagnosis of eosinophilic esophagitis increases risk for stricture formation in a time-dependent manner. Gastroenterology. 2013;145(6):1230–1236. doi: 10.1053/j.gastro.2013.08.015
- Kaibysheva VO, Kashin SV, Mikhaleva LM, et al. Eosinophilic esophagitis: current view on the problem and own clinical observations (in Russian only). Russian Journal of Evidence-Based Gastroenterology. 2019;8(1):58–83. (In Russ.). doi: 10.17116/dokgastro2019801158
- Dellon ES, Muir AB, Katzka DA, et al. ACG clinical guideline: diagnosis and management of eosinophilic esophagitis. Am J Gastroenterol. 2025;120(1):31–59. doi: 10.14309/ajg.0000000000003194
- Kelly KJ, Lazenby AJ, Rowe PC, et al. Eosinophilic esophagitis attributed to gastroesophageal reflux: improvement with an amino acid-based formula. Gastroenterology. 1995;109(5):1503–1515. doi: 10.1016/0016-5085(95)90637-1
- Arias Á, Tejera-Muñoz A, Gutiérrez-Ramírez L, et al. Efficacy of dietary therapy for eosinophilic esophagitis in children and adults: an updated systematic review and meta-analysis. Nutrients. 2024;16(14):2231. doi: 10.3390/nu16142231
- Spergel JM, Beausoleil JL, Mascarenhas M, Liacouras CA. The use of skin prick tests and patch tests to identify causative foods in eosinophilic esophagitis. J Allergy Clin Immunol. 2002;109(2):363–368. doi: 10.1067/mai.2002.121458
- Spergel JM, Brown-Whitehorn TF, Cianferoni A. Identification of causative foods in children with eosinophilic esophagitis treated with an elimination diet. J Allergy Clin Immunol. 2012;130:461–467. doi: 10.1016/j.jaci.2012.05.021
- Cotton CC, Eluri S, Wolf WA, Dellon ES. Six-food elimination diet and topical steroids are effective for eosinophilic esophagitis: a meta-regression. Dig Dis Sci. 2017;62(9):2408–2420. doi: 10.1007/s10620-017-4642-7
- Mayerhofer C, Kavallar AM, Aldrian D, et al. Efficacy of elimination diets in eosinophilic esophagitis: a systematic review and meta-analysis. Clin Gastroenterol Hepatol. 2023;21(9):2197–2210.e3. doi: 10.1016/j.cgh.2023.01.019
- Molina-Infante J, Martin-Noguerol E, Alvarado-Arenas M. Selective elimination diet based on skin testing has suboptimal efficacy for adult eosinophilic esophagitis. J Allergy Clin Immunol. 2012;130:1200–1202. doi: 10.1016/j.jaci.2012.06.027
- Wechsler JB, Schwartz S, Arva NC, et al. A single-food milk elimination diet is effective for treatment of eosinophilic esophagitis in children. Clin Gastroenterol Hepatol. 2022;20(8):1748–1756.e11. doi: 10.1016/j.cgh.2021.03.049
- Dellon ES., Guo R, McGee SJ, et al. A novel allergen-specific immune signature-directed approach to dietary elimination in eosinophilic esophagitis. Clin Transl Gastroenterol. 2019;10(12):e00099. doi: 10.14309/ctg.0000000000000099
- Molina-Infante J, Arias A, Barrio J. Four-food group elimination diet for adult eosinophilic esophagitis: a prospective multicenter study. J Allergy Clin Immunol. 2014;134(5):1093–1099. doi: 10.1016/j.jaci.2014.07.023
- Molina-Infante J, Arias Á, Alcedo J, et al. Step-up empiric elimination diet for pediatric and adult eosinophilic esophagitis: the 2–4–6 study. J Allergy Clin Immunol. 2018;141(4):1365–1372. doi: 10.1016/j.jaci.2017.08.038
- Kliewer KL, Gonsalves N, Dellon ES, et al. One-food versus six-food elimination diet therapy for the treatment of eosinophilic oesophagitis: a multicentre, randomised, open-label trial. Lancet Gastroenterol Hepatol. 2023;8(5):408–421. doi: 10.1016/S2468-1253(23)00012-2
- Lucendo AJ, Arias A, Molina-Infante J. Efficacy of proton pump inhibitor drugs for inducing clinical and histologic remission in patients with symptomatic esophageal eosinophilia: a systematic review and meta-analysis. Clin Gastroenterol Hepatol. 2016;14(1):13–22. doi: 10.1016/j.cgh.2015.07.041
- Moawad FJ, Veerappan GR, Dias JA. Randomized controlled trial comparing aerosolized swallowed fluticasone to esomeprazole for esophageal eosinophilia. Am J Gastroenterol. 2013;108(3):366–372. doi: 10.1038/ajg.2012.443
- Peterson KA, Thomas KL, Hilden K. Comparison of esomeprazole to aerosolized, swallowed fluticasone for eosinophilic esophagitis. Dig Dis Sci. 2010;55(5):1313–1319. doi: 10.1007/s10620-009-0859-4
- Cheng E, Zhang X, Huo X, et al. Omeprazole blocks eotaxin-3 expression by oesophageal squamous cells from patients with eosinophilic oesophagitis and GORD. Gut. 2013;62(6):824–832. doi: 10.1136/gutjnl-2012-302250
- Rochman M, Xie YM, Mack L, et al. Broad transcriptional response of the human esophageal epithelium to proton pump inhibitors. J Allergy Clin Immunol. 2021;147(5):1924–1935. doi: 10.1016/j.jaci.2020.09.039
- Frazzoni M, Frazzoni L, De Bortoli N, et al. Response of eosinophilic oesophagitis to proton pump inhibitors is associated with impedance-pH parameters implying anti-reflux mechanism of action. Aliment Pharmacol Ther. 2021;53(11):1183–1189. doi: 10.1111/apt.16371
- Molina-Infante J, Ferrando-Lamana L, Ripoll C. Esophageal eosinophilic infiltration responds to proton pump inhibition in most adults. Clin Gastroenterol Hepatol. 2011;9(2):110–117. doi: 10.1016/j.cgh.2010.09.019
- Gutiérrez-Junquera C, Fernández-Fernández S, Cilleruelo ML, et al. High revalence of response to proton-pump inhibitor treatment in children with esophageal eosinophilia. J Pediatr Gastroenterol Nutr. 2016;62(5):704–710. doi: 10.1097/MPG.0000000000001019
- Laserna-Mendieta EJ, Casabona S, Guagnozzi D, et al. Efficacy of proton pump inhibitor therapy for eosinophilic oesophagitis in 630 patients: results from the EoE connect registry. Aliment Pharmacol Ther. 2020;52(5):798–807. doi: 10.1111/apt.15957
- Gómez-Torrijos E, García-Rodríguez R, Castro-Jiménez A, et al. The efficacy of step-down therapy in adult patients with proton pump inhibitor-responsive oesophageal eosinophilia. Aliment Pharmacol Ther. 2016;43(4):534–540. doi: 10.1111/apt.13496
- Franciosi JP, Gordon M, Sinopoulou V, et al. Medical treatment of eosinophilic esophagitis. Cochrane Database Syst Rev. 2023;7(7):CD004065. doi: 10.1002/14651858
- Gutiérrez-Junquera C, Fernández-Fernández S, Cilleruelo ML, et al. Long-term treatment with proton pump inhibitors is effective in children with eosinophilic esophagitis. J Pediatr Gastroenterol Nutr. 2018;67(2):210–216. doi: 10.1097/MPG.0000000000001952
- Molina-Infante J, Rodriguez-Sanchez J, Martinek J, et al. Long-term loss of response in proton pump inhibitor-responsive esophageal eosinophilia is uncommon and influenced by CYP2C19 genotype and rhinoconjunctivitis. Am J Gastroenterol. 2015;110(11):1567–1575. doi: 10.1038/ajg.2015.314
- Aceves SS, Bastian JF, Newbury RO, Dohil R. Oral viscous budesonide: a potential new therapy for eosinophilic esophagitis in children. Am J Gastroenterol. 2007;102(10):2271–2280. doi: 10.1111/j.1572-0241.2007.01379.x
- De Bortoli N, Visaggi P, Penagini R, et al. The 1st EoETALY consensus on the diagnosis and management of eosinophilic esophagitis-current treatment and monitoring. Dig Liver Dis. 2024;56(7):1173–1184. doi: 10.1016/j.dld.2024.02.020
- Dellon ES, Sheikh A, Speck O. Viscous topical is more effective than nebulized steroid therapy for patients with eosinophilic esophagitis. Gastroenterology. 2012;143(2):321–324. doi: 10.1053/j.gastro.2012.04.049
- Lucendo AJ, Miehlke S, Schlag C, et al. Efficacy of budesonide orodispersible tablets as induction therapy for eosinophilic esophagitis in a randomized placebo-controlled trial. Gastroenterology. 2019;157(1):74–86. doi: 10.1053/j.gastro.2019.03.025
- Straumann A, Lucendo AJ, Miehlke S, et al. Budesonide orodispersible tablets maintain remission in a randomized, placebo-controlled trial of patients with eosinophilic esophagitis. Gastroenterology. 2020;159(5):1672–1685.e5. doi: 10.1053/j.gastro.2020.07.039
- Dellon ES, Katzka DA, Collins MH, et al. Budesonide oral suspension improves symptomatic, endoscopic, and histologic parameters compared with placebo in patients with eosinophilic esophagitis. Gastroenterology. 2017;152(4):776–786. doi: 10.1053/j.gastro.2016.11.021
- Hirano I, Collins MH, Katzka DA, et al. Budesonide oral suspension improves out-comes in patients with eosinophilic esophagitis: results from a phase 3 trial. Clin Gastroenterol Hepatol. 2022;20(3):525–534. doi: 10.1016/j.cgh.2021.04.022
- Kaibysheva VO, Mikhaleva LM. Eosinophilic esophagitis. Moscow: Media Sphere, 2021. 104 p. (In Russ.).
- Kaibysheva VO, Drapkina O.M, Berns S.A., et al. Diagnosis and treatment of eosinophilic esophagitis. Moscow, 2024. (In Russ.).
- Maslenkina KS, Mikhaleva LM, Motylev EN, et al. Clinico-morphological diagnosis of eosinophilic esophagitis. Clinical and Experimental Morphology. 2023;12(3):5–18. (In Russ.). doi: 10.31088/CEM2023.12.3.5-18
- Schaefer ET, Fitzgerald JF, Molleston JP, et al. Comparison of oral prednisone and topical fluticasone in the treatment of eosinophilic esophagitis: a randomized trial in children. Clin Gastroenterol Hepatol. 2008;6(2):165–173. doi: 10.1016/j.cgh.2007.11.008
- O’Shea KM, Aceves SS, Dellon ES, et al. Pathophysiology of eosinophilic esophagitis. Gastroenterology. 2018;154(2):333–345. doi: 10.1053/j.gastro.2017.06.065
- Ryu S, Lee KH, Tizaoui K, et al. Pathogenesis of eosinophilic esophagitis: a comprehensive review of the genetic and molecular aspects. Int J Mol Sci. 2020;21(19):7253. doi: 10.3390/ijms21197253
- Stein ML, Collins MH, Villanueva JM, et al. Anti-IL-5 (mepolizumab) therapy for eosinophilic esophagitis. J Allergy Clin Immunol. 2006;118(6):1312–1319. doi: 10.1016/j.jaci.2006.09.007
- Straumann A, Conus S, Grzonka P, et al. Anti-interleukin-5 antibody treatment (mepolizumab) in active eosinophilic oesophagitis: a randomised, placebo-controlled, double-blind trial. Gut. 2010;59(1):21–30. doi: 10.1136/gut.2009.178558
- Dellon ES, Peterson KA, Mitlyng BL, et al. Mepolizumab for treatment of adolescents and adults with eosinophilic oesophagitis: a multicentre, randomised, double-blind, placebo-controlled clinical trial. Gut. 2023;72(10):1828–1837. doi: 10.1136/gutjnl-2023-330337
- Spergel JM, Rothenberg ME, Collins MH. Reslizumab in children and adolescents with eosinophilic esophagitis: results of a double-blind, randomized, placebo-controlled trial. J Allergy Clin Immunol. 2012;129(2):456–463. doi: 10.1016/j.jaci.2011.11.044
- Kuang FL, De Melo MS, Makiya M, et al. Benralizumab completely depletes gastrointestinal tissue eosinophils and improves symptoms in eosinophilic gastrointestinal disease. J Allergy Clin Immunol Pract. 2022;10(6):1598–1605. doi: 10.1016/j.jaip.2022.02.037
- Rothenberg ME, Dellon ES, Collins MH, et al. Eosinophil depletion with benralizumab for eosinophilic esophagitis. N Engl J Med. 2024;390(24):2252–2263. doi: 10.1056/NEJMoa2313318
- Schanin J, Gebremeskel S, Korver W, et al. A monoclonal antibody to Siglec-8 suppresses non-allergic airway inflammation and inhibits IgE-independent mast cell activation. Mucosal Immunol. 2021;14(2):366–376. doi: 10.1038/s41385-020-00336-9
- Dellon E, Chehade M, Genta RM, et al. Results from KRYPTOS, a phase 2/3 study of lirentelimab (AK002) in adults and adolescents with EoE. Am J Gastroenterol. 2022;117(10S):316–317. doi: 10.14309/01.ajg.0000858424.48968.ad
- Dellon ES, Peterson KA, Murray JA, et al. Anti-Siglec-8 antibody for eosinophilic gastritis and duodenitis. N Engl J Med. 2020;383(17):1624–1634. doi: 10.1056/NEJMoa2012047
- Rothenberg ME, Wen T, Greenberg A, et al. Intravenous anti-IL-13 mAb QAX576 for the treatment of eosinophilic esophagitis. J Allergy Clin Immunol. 2015;135(2):500–507. doi: 10.1016/j.jaci.2014.07.049
- Tripp CS, Cuff C, Campbell AL, et al. RPC4046, a novel anti-interleukin-13 antibody, blocks IL-13 binding to IL-13 α1 and α2 receptors: a randomized, double-blind, placebo-controlled, dose-escalation first-in-human study. Adv Ther. 2017;34(6):1364–1381. doi: 10.1007/s12325-017-0525-8
- Hirano I, Collins MH, Assouline-Dayan Y, et al. RPC4046, a monoclonal antibody against IL13, reduces histologic and endoscopic activity in patients with eosinophilic esophagitis. Gastroenterology. 2019;156(3):592–603. doi: 10.1053/j.gastro.2024.04.013
- Dellon ES, Collins MH, Rothenberg ME, et al. Long-term efficacy and tolerability of RPC4046 in an open-label extension trial of patients with eosinophilic esophagitis. Clin Gastroenterol Hepatol. 2021;19(3):473–483. doi: 10.1016/j.cgh.2020.03.036
- Gann PH, Deaton RJ, McMahon N, et al. An anti-IL-13 antibody reverses epithelial-mesenchymal transition biomarkers in eosinophilic esophagitis: phase 2 trial results. J Allergy Clin Immunol. 2020;146(2):367–376.e3. doi: 10.1016/j.jaci.2020.03.045
- Greuter T, Hirano I, Dellon ES. Emerging therapies for eosinophilic esophagitis. J Allergy Clin Immunol. 2020;145(1):38–45. doi: 10.1016/j.jaci.2019.10.027
- Study to determine the efficacy and safety of dupilumab in adult and adolescent patients with eosinophilic esophagitis (EoE). 2022. Available from: https://clinicaltrials.gov/ct2/show/NCT03633617. Accessed: 22.01.2025.
- Study to investigate the efficacy and safety of dupilumab in pediatric patients with active eosinophilic esophagitis (EoE) (EoE KIDS). 2024. Available from: https://clinicaltrials.gov/ct2/show/NCT04394351. Accessed: 22.01.2025.
- Dellon ES, Rothenberg ME, Collins MH, et al. Dupilumab in adults and adolescents with eosinophilic esophagitis. N Engl J Med. 2022;387(25):2317–2330. doi: 10.1056/NEJMoa2205982
- Lee CJ, Dellon ES. Real-world efficacy of dupilumab in severe, treatment-refractory, and fibrostenotic patients with eosinophilic esophagitis. Clin Gastroenterol Hepatol. 2024;22(2):252–258. doi: 10.1016/j.cgh.2023.08.015
- Rossi CM, Santacroce G, Lenti MV, di Sabatino A. Eosinophilic esophagitis in the era of biologics. Expert Rev Gastroenterol Hepatol. 2024;18(6):271–281. doi: 10.1080/17474124.2024.2374471
- Aceves SS, Dellon ES, Greenhawt M, et al. Clinical guidance for the use of dupilumab in eosinophilic esophagitis: a yardstick. Ann Allergy Asthma Immunol. 2023;130(3):371–378. doi: 10.1016/j.anai.2022.12.014
- Ebina-Shibuya R, Leonard WJ. Role of thymic stromal lymphopoietin in allergy and beyond. Nat Rev Immunol. 2023;23(1):24–37. doi: 10.1038/s41577-022-00735-y
- Nakajima S, Kabata H, Kabashima K, Asano K. Anti-TSLP antibodies: targeting a master regulator of type 2 immune responses. Allergol Int. 2020;69(2):197–203. doi: 10.1016/j.alit.2020.01.001
- Hoy SM. Tezepelumab: first approval. Drugs. 2022;82(4):461–468. doi: 10.1007/s40265-022-01679-2
- Loizou D, Enav B, Komlodi-Pasztor E, et al. A pilot study of omalizumab in eosinophilic esophagitis. PLoS One. 2015;10(3):e0113483. doi: 10.1371/journal.pone.0113483
- Ridolo E, Barone A, Ottoni M, et al. The new therapeutic frontiers in the treatment of eosinophilic esophagitis: biological drugs. Int J Mol Sci. 2024;25(3):1702. doi: 10.3390/ijms25031702
- A phase 2 randomized, double-blind, placebo-controlled study to assess the efficacy and safety of barzolvolimab (CDX-0159) in adults with active eosinophilic esophagitis (the “EvolvE” study). 2023. Available from: https://classic.clinicaltrials.gov/ct2 /show/NCT05774184?cond=barzolvolimab&draw=2&rank=1. Accessed: 25.11.2023.
- Straumann A, Bussmann C, Conus S, et al. Anti-TNF-alpha (infliximab) therapy for severe adult eosinophilic esophagitis. J Allergy Clin Immunol. 2008;122(2):425–427. doi: 10.1016/j.jaci.2008.06.012
- Netzer P, Gschossmann JM, Straumann A, et al. Corticosteroid-dependent eosinophilic oesophagitis: azathioprine and 6-mercaptopurine can induce and maintain long-term remission. Eur J Gastroenterol Hepatol. 2007;19(10):865–869. doi: 10.1097/MEG.0b013e32825a6ab4
- Abonia JP, Blanchard C, Butz BB. Involvement of mast cells in eosinophilic esophagitis. J Allergy Clin Immunol. 2010;126(1):140–149. doi: 10.1016/j.jaci.2010.04.009
- Attwood SE, Lewis CJ, Bronder CS, et al. Eosinophilic oesophagitis: a novel treatment using Montelukast. Gut. 2003;52(2):181–186. doi: 10.1136/gut.52.2.181
- Stumphy J, Al-Zubeidi D, Guerin L, et al. Observations on use of montelukast in pediatric eosinophilic esophagitis: insights for the future. Dis Esophagus. 2011;24(4):229–234. doi: 10.1111/j.1442-2050.2010.01134.x
- Alexander JA, Ravi K, Enders FT, et al. Montelukast does not maintain symptom remission after topical steroid therapy for eosinophilic esophagitis. Clin Gastroenterol Hepatol. 2017;15(2):214–221. doi: 10.1016/j.cgh.2016.09.013
- Lucendo AJ, De Rezende LC, Jimenez-Contreras S, et al. Montelukast was inefficient in maintaining steroid-induced remission in adult eosinophilic esophagitis. Dig Dis Sci. 2011;56(12):3551–3558. doi: 10.1007/s10620-011-1775-y
- Moawad FJ, Cheatham JG, DeZee KJ. Meta-analysis: the safety and efficacy of dilation in eosinophilic oesophagitis. Aliment Pharmacol Ther. 2013;38(7):713–720. doi: 10.1111/apt.12438
- Dellon ES. Red between the lines: evolution of eosinophilic esophagitis as a distinct clinicopathologic syndrome. Dig Dis Sci. 2020;65(12):3434–3447. doi: 10.1007/s10620-020-06642-3
Supplementary files







