Diagnostics and treatment of urticarial vasculitis associated with COVID-19
- Authors: Ishchanka A.V.1, Shchurok I.N.1, Chernokov O.I.1, Zakharova V.V.1, Lesnichaya O.V.1, Laporevich V.B.2
-
Affiliations:
- Vitebsk State Order of Peoples’ Friendship Medical University
- Vitebsk Regional Clinical Hospital
- Issue: Vol 21, No 3 (2024)
- Pages: 404-413
- Section: Case reports
- Submitted: 02.02.2024
- Accepted: 31.07.2024
- Published: 24.10.2024
- URL: https://rusalljournal.ru/raj/article/view/16919
- DOI: https://doi.org/10.36691/RJA16919
- ID: 16919
Cite item
Abstract
Currently, the issue of COVID-19 infection remains. The potential consequences of acute infection are not yet fully understood. Dermatological manifestations of COVID-19, including urticarial vasculitis, which is poorly responsive to standard therapy, are increasingly reported.
Urticarial vasculitis is a rare dermatological manifestation of COVID-19, characterized by long-lasting welts with angioedema or without it, and histopathological features of leukocytoclastic vasculitis. Leukocytoclastic vasculitis, in turn, is a common form of small vessel vasculitis, with an inflammatory infiltrate consisting of neutrophils, fibrinoid necrosis, and nuclear debris fragmentation (leukocytoclasis). Proper nosology and classification of urticarial vasculitis based on clinical presentation and histological data are crucial.
We described a clinical case of a 54-year-old woman with urticarial vasculitis, who had no systemic diseases. The lack of response to treatment with antihistamines in combination with corticosteroids led to the initiation of colchicine as an alternative therapy. Colchicine suppresses granulocyte mitotic activity, inhibits the formation of leukotriene B4, and reduces leukocyte migration to the site of inflammation, preventing neutrophil degranulation. After treatment with colchicine at a dose of 0.5 mg twice a day for 2 months, remission and improvement of clinical symptoms were achieved.
Post-COVID syndrome with dermatological manifestations is a common issue today. Skin biopsy serves as an important tool in the differential diagnosis of chronic urticaria and urticarial vasculitis after a COVID-19 infection. This highlights the importance of studying dermatological manifestations of COVID-19 for more effective diagnosis and treatment of this disease.
Full Text
АКТУАЛЬНОСТЬ
В настоящее время сохраняется проблема распространения вируса COVID-19. Возможные последствия острой инфекции не до конца ясны. Всё чаще сообщается о различных дерматологических проявлениях COVID-19, включая уртикарный васкулит.
Уртикарный васкулит ― редкое хроническое воспалительное заболевание, которое проявляется длительно сохраняющимися волдырями с ангионевротическим отёком или без него и гистопатологическими признаками лейкоцитокластического васкулита [1] ― распространённой формы васкулита мелких сосудов, при котором инфильтрат включает нейтрофилы внутри и вокруг стенки сосуда, признаки лейкоцитоклазии, фибриноидного некроза, а также признаки повреждения стенки сосуда и окружающих тканей при гистопатологическом описании [2]. Лейкоцитокластический васкулит способен развиваться как изолированно в мелких сосудах кожи, так и поражать многие внутренние органы, являясь в таком случае кожным симптомом системного васкулита [3].
По современным данным, уртикарный васкулит можно разделить на две основные группы в зависимости от уровня комплемента в сыворотке крови: нормокомплементемический и гипокомплементемический, известный также как синдром Макдаффи (McDuffie syndrome). Последний связан с циркулирующими аутоантителами к компоненту комплемента 1q (C1q) и чаще сопровождается внекожными проявлениями [4].
Следует отметить, что патогенез уртикарного васкулита до сих пор не установлен. В настоящее время уртикарный васкулит рассматривается как заболевание, обусловленное отложением иммунных комплексов с активацией каскада комплемента, что приводит к повышенной выработке анафилатоксинов, которые отвечают за привлечение и активацию нейтрофилов [4]. Достоверную причину возникновения лейкоцитокластического васкулита удаётся установить примерно в 50% случаев: это системные заболевания, такие как криоглобулинемический васкулит, IgA-связанный васкулит, ревматоидный артрит, системная красная волчанка и др. В остальных случаях речь идёт о васкулите, связанном с перенесённой инфекцией, реакцией на лекарственные средства, онкологическими заболеваниями [5].
Сообщаем о случае развития лейкоцитокластического васкулита, ассоциированного с перенесённой инфекцией COVID-19.
ОПИСАНИЕ СЛУЧАЯ
О пациенте
Женщина, 54 года, направлена терапевтом поликлиники для дообследования и лечения в аллергологическое отделение учреждения здравоохранения «Витебская областная клиническая больница» (УЗ ВОКБ) с диагнозом «Хроническая крапивница, персистирующее течение». В приёмном покое предъявляла жалобы на высыпания по всему телу, зуд кожи, сухой кашель (28.03.2022).
Анамнез заболевания. Со слов пациентки, красные, зудящие, выступающие над кожей элементы сыпи появились на коже туловища 08.02.2022 после перенесённой инфекции COVID-19 (тест полимеразной цепной реакции к SARS-COV-2 положительный от 20.12.2021). Через 3–5 дней элементы самостоятельно разрешались с образованием гиперпигментации различной интенсивности. Впоследствии зудящие уртикарные элементы снова появлялись на разных участках кожи туловища, конечностей, волосистой части головы. С целью уменьшения зуда принимала H1-антигистаминные препараты II поколения (лоратадин в дозе 10 мг по 1 таблетке 1 раз в день) с незначительным эффектом. Неоднократно вызывала скорую медицинскую помощь: вводились дексаметазон в дозе 8 мг, однократно бетаметазон (Дипроспан) в дозе 1,0 мл, 2% хлоропирамин 1,0 мл без значительного эффекта.
Анамнез жизни. Из хронических заболеваний отмечает хронический бронхит (J42), хронический фарингит (J31.2), наружный геморрой (I84.5), многоузловой зоб (E04.2). Перенесённые операции: резекция правого яичника (апоплексия правого яичника 2009).
Аллергологический анамнез отягощён: в 2016 году лекарственная аллергия на левомицетин с клинической картиной распространённой токсикодермии (L27.0 Генерализованное высыпание на коже, вызванное лекарственными средствами и медикаментами).
Результаты физикального, лабораторного и инструментального исследования
Данные объективного осмотра
Общее состояние удовлетворительное. Сознание ясное, ориентирована в месте, времени. Отмечает беспокойство по поводу непрерывно рецидивирующих высыпаний в течение 1,5 месяцев. Телосложение правильное, положение активное. Кожные покровы бледно-розовые. На коже туловища, ягодиц множественные уртикарные высыпания, единичные ксантомы, зуд (рис. 1).
Рис. 1. Уртикарная сыпь на коже предплечий и бёдер (28.03.2022).
Fig. 1. Urticarial rash on the skin of the forearms and thighs (28.03.2022).
Видимые слизистые бледно-розовые. Периферические лимфатические узлы не увеличены. Щитовидная железа не увеличена. Дыхание в лёгких жёсткое, хрипов нет. Частота дыханий 16 в минуту. Тоны сердца ясные, ритмичные. Частота сердечных сокращений 82 в минуту. Артериальное давление 120/70 мм рт.ст. Сатурация крови кислородом (SpO2) 97%. Живот мягкий во всех отделах, безболезненный; печень, селезёнка не увеличены. Стул, мочеиспускание в норме. Отёков нет.
Пациентка госпитализирована в аллергологическое отделение с диагнозом «Хроническая рецидивирующая крапивница, обострение (L50.8 Хроническая крапивница). Хронический фарингит, стадия нестойкой ремиссии (J31.2). Хронический бронхит, ремиссия (J42). Наружный геморрой без осложнений (I84.5). Нетоксический многоузловой зоб (E04.2). Лекарственная гиперчувствительность к левомицетину в анамнезе (L27.0)».
Лабораторное обследование
Для уточнения диагноза проводилось лабораторное обследование (результаты от 29.03.2022).
Общий анализ крови, общий анализ мочи без патологии.
Биохимический анализ крови, коагулограмма без патологии.
Тест методом полимеразной цепной реакции к SARS-COV-2 отрицательный (29.03.2022).
Антитела к SARS-COV-2 (30.03.2022): иммуноглобулин G (IgG) к S-белку/RBD-рецептору 78,33 BAU/ml; иммуноглобулин M (IgM) к S-белку/RBD-рецептору 4,03 BAU/ml (<7,1 BAU/ml ― отрицательный, ≥7,1 BAU/ml ― положительный).
Анализ крови на анти-ДНК антитела, LE-клетки (клетки красной волчанки) отрицательный.
Анализ крови на криоглобулины отрицательный.
Микробиологическое исследование материала задней стенки глотки: дрожжевые грибы Candida spp. в незначительном количестве.
Иммунограмма: незначительное снижение Т-лимфоцитов CD3+, Т-хелперов/индукторов CD3+CD4+ (табл. 1). IgG 7,99 г/л (норма 7–18), IgA 1,52 г/л (норма 0,9–4,5), IgM 1,32 г/л (норма 0,6–2,5).
Таблица 1. Иммунограмма
Table 1. Immunogram
Дата: 29.03.2022 | |||
Субпопуляции лимфоцитов | Маркеры дифференцировки | Показатели пациента, % | Референтные значения, % |
Т-лимфоциты | CD3+ | 62,1 | 66,0–75,0 |
Активированные Т-лимфоциты | CD3+HLA-DR+ | 1,2 | 0,8–2,3 |
Т-хелперы/индукторы | CD3+СD4+ | 34,2 | 35,4–46,6 |
Цитотоксические Т-лимфоциты (CTL) | CD3+CD8+ | 22,1 | 20,8–26,8 |
Иммунорегуляторный индекс (ИРИ) | CD4+/CD8+ | 1,5 | 1,4–2,1 |
В-лимфоциты | CD19+ | 11,3 | 9,1–12,4 |
Естественные киллеры (NK) | CD3-CD16+CD56+ | 9,2 | 8,8–17,1 |
Естественные T-киллеры | CD3+CD16+CD56+ | 3,8 | 2,5–5,8 |
Активированные CTL | CD3+CD8+HLA-DR+ | 1,4 | 0,6–3,6 |
Цитотоксические не-Т-клетки | CD3-CD8+ | 0,9 | - |
Абсолютное содержание, ×103/мкл/мл | |||
• Т-лимфоциты | 1,51 | 1,0–1,67 | |
• В-лимфоциты | 0,18 | 0,15–0,24 | |
Циркулирующие иммунные комплексы, ед. | 4 | 4–26 | |
Анализ крови на HBS-Ag (поверхностный антиген вируса гепатита В), anti-HCV (специфические IgM и IgG к белкам вируса гепатита С) методом иммуноферментного анализа отрицательный.
Анализ крови на антитела к антигенам Treponema pallidum методом иммуноферментного анализа отрицательный.
Гормоны щитовидной железы: Т4 свободный 15,58 пмоль/л (норма 11,5–24,0), антитела к тиреопероксидазе 8,33 МЕ/мл (норма 0–34), тиреотропный гормон 2,49 мМЕ/л (норма 0,17–4,05).
Данные инструментального обследования
Рентгенография органов грудной клетки (29.03.2022). Заключение: лёгкие, сердце, аорта в пределах возрастных изменений.
Фиброэзофагогастродуоденоскопия (01.04.2022). Заключение: очаговый поверхностный гастрит.
Фиброколоноскопия (04.04.2022). Заключение: атрофический колит.
Ультразвуковое исследование органов брюшной области и почек (04.04.2022). Заключение: печень, селезёнка, желчный пузырь без существенных изменений. Почки: ангиомиолипома правой почки. Поджелудочная железа: незначительные диффузные изменения.
Консультации специалистов
Пациентка осмотрена гинекологом (30.03.2022): патологических образований женских тазовых органов не выявлено.
Консультирована оториноларингологом (01.04.2022): на момент осмотра данных за острую ЛОР-патологию не выявлено.
Лечение. В стационаре пациентке назначен раствор дексаметазона в дозе 8 мг 1 раз в сутки внутривенно капельно; раствор глюконата кальция по 10,0 мл внутривенно капельно 1 раз в сутки; раствор клемастина по 2,0 мл внутривенно капельно 1 раз в сутки; фамотидин 40 мг по 1 таблетке вечером; кетотифен 1 мг по 1 таблетке 2 раза в день; Фенибут 250 мг по 1 таблетке 3 раза в сутки.
Проводимое лечение показало эффективность: на второй день терапии пациентка отмечала снижение интенсивности зуда кожи и отсутствие новых элементов сыпи с сохранением гиперпигментации.
05.04.2022 в удовлетворительном состоянии пациентка выписана из стационара с рекомендациями по ежедневному приёму антигистаминных лекарственных средств: левоцетиризин 5 мг по 1 таблетке 2 раза в день в течение 1 месяца, затем кетотифен 1 мг по 1 таблетке 2 раза в день на протяжении 1–2 месяцев и доксиламин 150 мг по 1 таблетке на ночь на протяжении 2 недель. На момент выписки пациентка отмечала полное отсутствие зуда. Объективно: на коже туловища, конечностей участки незначительной гиперпигментации с чётким контуром, не возвышающиеся над кожей, а также единичные уртикарные элементы в стадии затухания.
Динамика и прогноз
09.04.2022 бригадой скорой медицинской помощи пациентка доставлена в УЗ ВОКБ: отмечает ухудшение состояния на фоне приёма антигистаминных препаратов. В течение последних двух дней возобновился выраженный зуд, появились новые высыпания на кожи туловища, конечностей.
Госпитализирована в аллергологическое отделение, назначено лечение: раствор преднизолона в дозе 60 мг утром, 30 мг вечером внутривенно капельно, 8 дней; цетиризин 10 мг по 1 капсуле 2 раза в сутки (с письменного согласия пациентки приём удвоенной дозы); монтелукаст 10 мг по 1 таблетке вечером; фамотидин 40 мг по 1 таблетке вечером; кетотифен 1 мг по 1 таблетке 2 раза в день.
Результаты обследования. Общий анализ крови, общий анализ мочи, биохимический анализ крови, коагулограмма, рентгенография органов грудной клетки без патологии.
Ультразвуковое исследование органов брюшной полости и почек (12.04.2022). Заключение: ангиомиолипома правой почки; незначительные диффузные изменения поджелудочной железы. Без отрицательной динамики по сравнению с 29.03.2022.
Осмотрена эндокринологом (18.04.2022): многоузловой эутиреоидный зоб.
22.04.2022 выписана в удовлетворительном состоянии. Пациентка отмечала полное отсутствие зуда. Объективно: на коже туловища, конечностей участки незначительной гиперпигментации, расчёсов нет.
Даны следующие рекомендации: наблюдение терапевта, аллерголога, эндокринолога по группе Д (III); гипоаллергенная диета; биластин (Никсар) в дозе 20 мг по 1 таблетке 2 раза в день в течение 3 недель, затем по 1 таблетке 1 раз в день, 7 дней; кетотифен 1 мг по 1 таблетке 2 раза в день, 1–2 месяца; монтелукаст 10 мг по 1 таблетке вечером, 1 месяц; ультразвуковой контроль органов брюшной полости через 1 год; избегать стрессовых ситуаций, соблюдать режим труда, отдыха.
19.05.2022 пациентка по экстренным показаниям доставлена в УЗ ВОКБ. Предъявляла жалобы на распространённые высыпания на коже туловища, конечностей, выраженный зуд на фоне регулярного приёма всех назначенных препаратов.
Данные объективного осмотра. На коже туловища, конечностей распространённые уртикарные сливные элементы. Местами расчёсы, подкожные кровоизлияния. Небольшой отёк в области голеностопных суставов (рис. 2).
Рис. 2. Ухудшение состояния (распространённые высыпания на коже туловища, конечностей) на фоне регулярного приёма антигистаминных препаратов (19.05.2022).
Fig. 2. Deterioration of the condition (widespread rashes on the skin of the trunk, extremities) against the background of regular intake of antihistamines (19.05.2022).
Учитывая данные анамнеза, жалобы, результаты объективного осмотра, выставлен предварительный диагноз: «Постковидный синдром. Хроническая рецидивирующая крапивница? Уртикарный васкулит?».
Дифференциальная диагностика. Согласно консенсусным заявлениям международного исследования Delphi [1], критериями дифференциальной диагностики уртикарного васкулита и хронической крапивницы служат:
- длительная продолжительность волдырей (>24 часов), синяки/поствоспалительная гиперпигментация (см. рис. 2) и системные симптомы (например, боль в животе, лихорадка и/или боль в суставах): одного или двух из этих критериев, но не обязательно всех трёх, достаточно для проведения биопсии кожи у пациента с хронической крапивницей и уртикарным васкулитом;
- лейкоцитоклазия и отложения фибрина на стенках сосудов являются минимальным набором критериев для установления гистопатологического диагноза «Уртикарный васкулит».
Если по какой-либо причине биопсия кожи не может быть выполнена, то длительность высыпаний (>24 часов) и наличие синяков/пурпуры/поствоспалительной гиперпигментации являются основными критериями возможного диагноза уртикарного васкулита у пациентов с рецидивирующими волдырями.
С целью дифференциальной диагностики уртикарного васкулита с хронической рецидивирующей крапивницей, наследственным ангионевротическим отёком, криопиринассоциированными периодическими синдромами, такими как семейный холодовой аутовоспалительный синдром (familial cold autoinflammatory syndrome, FCAS); синдром Gleich’s (эпизодический ангиоотёк с эозинофилией), синдром Макла–Уэллса (Muckle–Wells syndrome), синдром Well’s (гранулематозный дерматит с эозинофилией), а также с онкологическими заболеваниями проведено дообследование.
Общий анализ крови, общий анализ мочи, биохимический анализ крови, коагулограмма, иммунограмма ― все показатели в пределах референтных значений.
Анализ крови на компоненты системы комплемента С3, С4 (26.05.2022): С3 1,11 г/л (норма 0,83–1,93); С4 0,278 г/л (норма 0,15–0,57).
Компьютерная томография органов грудной клетки (23.05.2022). Заключение: очаговых и инфильтративных изменений в лёгких не выявлено.
Ультразвуковое исследование органов брюшной полости и почек (26.05.2022): ангиомиолипома правой почки; незначительные диффузные изменения поджелудочной железы. Без отрицательной динамики по сравнению с 12.04.2022.
Ультразвуковое исследование сердца (01.06.2022). Заключение: уплотнение аорты, стенок аортального клапана. Аортальная регургитация I степени.
Спирография с бронходилатационной пробой с сальбутамолом (02.06.2022). Заключение: умеренное снижение проходимости на уровне мелких бронхов, увеличение объёма форсированного выдоха за первую секунду +8%.
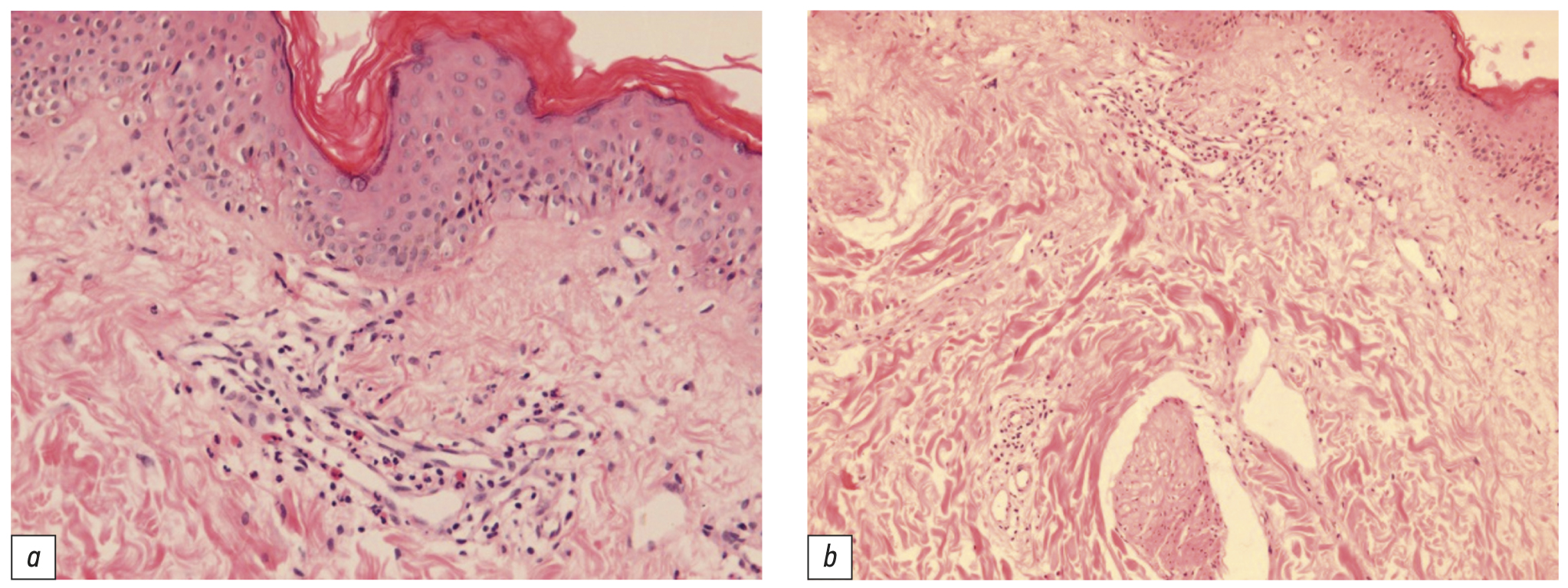
Биопсия кожи в области свежего элемента сыпи с морфологической оценкой элементов воспаления: на стенках сосудов всех отделов дермы воспалительная инфильтрация нейтрофилами, эозинофилами с минимальными признаками лейкоцитоклазии и дезорганизации сосудистых стенок; слабый периваскулярный отёк. Заключение (30.05.2022): лейкоцитокластический васкулит, может соответствовать клиническому диагнозу (рис. 3).
Рис. 3. Биопсия кожи в области свежего элемента сыпи, окраска гематоксилином и эозином: a ― ×200; b ― ×100.
Fig. 3. Results of a skin biopsy in the area of a fresh rash element, stained with hematoxylin and eosin: a ― ×200; b ― ×100.
Результаты осмотра врачей-специалистов. Эндокринолог (23.05.2022): многоузловой эутиреоидный зоб; офтальмолог (01.06.2022): миопия высокой степени обоих глаз; сложный астигматизм правого глаза; невролог (01.06.2022): эссенциальный тремор лёгкой степени выраженности.
Анализ крови на TORCH (токсоплазмоз, краснуха, цитомегаловирус, герпес) инфекции (16.04.2022) без патологии.
Анализ крови на IgG к аскариде, токсокаре (16.04.2022) отрицательный.
Мазок из уретры на хламидии методом полимеразной цепной реакции (24.05.2022) положительный (назначен доксициклин в дозе 100 мг 2 раза в сутки 1 день, далее 1 раз в сутки, 14 дней).
Посев мочи на микрофлору и чувствительность к антибиотикам (23.05.2022): степень бактериурии <1×103 КОЕ/мл.
Мазок с задней стенки глотки на флору (24.05.2022): микрофлора не выделена.
Посев крови на стерильность (30.05.2022; 31.05.2022; 01.06.2022): стерильно.
Исследование крови на LE-клетки и анти-ДНК антитела (26.05.2022): не обнаружено.
Анализ крови на антитела к миелопероксидазе (антинейтрофильные цитоплазматические антитела) методом иммуноферментного анализа (20.05.2022) отрицательный.
Анализ мочи на белок из суточного количества (02.06.2022) отрицательный.
Иммуноферментный анализ на вирус иммунодефицита человека (24.05.2022) отрицательный.
Компьютерная томография органов брюшной полости (06.06.2022). Заключение: диффузные изменения печени и поджелудочной железы. Ангиомиолипома правой почки. Киста правой почки. Незначительное расширение чашечно-лоханочной системы с двух сторон.
Тест полимеразной цепной реакции к COVID-19 (01.06.2022) отрицательный.
Диагноз
На основании жалоб, анамнеза, данных клинико-лабораторно-инструментальных исследований, результата биопсии кожи консилиумом в составе главных внештатных специалистов и сотрудников кафедры пациентке выставлен диагноз: «Постковидный синдром (U09.9). Уртикарный васкулит (L95.8). Гиперреактивность дыхательных путей (J39.3) Очаговый поверхностный гастрит (K29.3) Атрофический колит (K52.9). Наружный геморрой без осложнений (I84.5). Ангиомиолипома правой почки (D30). Киста правой почки (N28.1). Эссенциальный тремор лёгкой степени выраженности (G25.0) Нетоксический многоузловой зоб (E04.2). Миопия высокой степени обоих глаз (H52.1). Сложный астигматизм правого глаза (H52.2). Лекарственная гиперчувствительность к левомицетину в анамнезе (L27.0)».
Лечение
От введения преднизолона и других глюкокортикоидов пациентка категорически отказалась, считая, что они индуцируют появление новых кожных высыпаний, зуда.
Принимая во внимание низкую эффективность монотерапии глюкокортикоидами, рецидивирующее течение, назначены колхицин 0,5 мг по 1 таблетке 2 раза в день; 10% кальция глюконат по 5,0 мл внутривенно капельно 1 раз в сутки; омепразол 20 мг по 1 капсуле 2 раза в сутки; ацетилсалициловая кислота (Аспикард) по 75 мг вечером.
Учитывая противовоспалительную активность, препаратом выбора стал колхицин, который показал высокую эффективность в лечении уртикарного васкулита, что было опубликовано в систематическом обзоре [6].
Рис. 4. Единичные эритематозные элементы в стадии затухания на фоне приёма колхицина (10.06.2022).
Fig. 4. Single erythematous elements in the stage of fading on the background of colchicine administration (10.06.2022).
Через неделю приёма колхицина состояние пациентки улучшилось. Субъективно: полное отсутствие зуда. Объективно: на коже туловища, конечностей единичные эритематозные элементы в стадии затухания (рис. 4).
Дообследование (06.06.2022). С целью оценки эффективности проводимой терапии назначено дообследование.
Общий анализ крови: лейкопения умеренной степени на фоне приёма колхицина (табл. 2).
Таблица 2. Общий анализ крови
Table 2. Complete blood count
Дата: 06.06.2022 | |
Показатель | Результат |
Лейкоциты (WBC) | 3,56×109/л |
Эритроциты (RBC) | 4,37×1012/л |
Гемоглобин (Hb) | 123 г/л |
Тромбоциты (PLT) | 345×109/л |
Скорость оседания эритроцитов (СОЭ) | 8 мм/ч |
Лейкоцитарная формула: | |
• палочкоядерные нейтрофилы | 0,32×109/л (9%) |
• сегментоядерные нейтрофилы | 1,71×109/л (48%) |
• эозинофилы | 0,11×109/л (3%) |
• лимфоциты | 1,10×109/л (31%) |
• моноциты | 0,32×109/л (9%) |
Общий анализ мочи, биохимический анализ крови, коагулограмма, иммунограмма ― все показатели в пределах референтных значений.
Исходы и последующее наблюдение
На фоне назначенного лечения пациентка отмечала улучшение самочувствия. 10.06.2022 выписана домой в удовлетворительном состоянии.
На протяжении 2 месяцев после выписки принимала колхицин в дозировке 0,5 мг по 1 таблетке 2 раза в день, что позволило снизить проявление клинических симптомов и добиться ремиссии.
ОБСУЖДЕНИЕ
Лейкоцитокластический васкулит представляет собой распространённую форму васкулита мелких сосудов, при гистопатологическом описании которого инфильтрат включает нейтрофилы внутри и вокруг стенки сосуда, признаки лейкоцитоклазии, фибриноидного некроза, а также признаки повреждения стенки сосуда и окружающих тканей. Клинически лейкоцитокластический васкулит может проявляться крапивницей, инфильтративной эритемой, петехиями, пурпурой и другими элементами в зависимости от калибра поражённых сосудов [7]. В данном клиническом случае мы наблюдали развитие уртикарного васкулита, в качестве вероятной причины которого рассматривали последствия перенесённой COVID-19-инфекции.
Отрицательные анализы крови на криоглобулины, LE-клетки, анти-ДНК антитела, антитела к миелопероксидазе исключили наличие системных заболеваний. На основании жалоб, анамнеза, данных клинико-лабораторно-инструментальных исследований исключены также варианты с паранеопластическими проявлениями, аллергической реакцией на лекарственные средства.
В анализируемом случае пациентка перенесла инфекцию COVID-19 за 6 недель до появления жалоб, что было подтверждено положительным тестом полимеразной цепной реакции к SARS-CoV-2 от 20.12.2021. Учитывая вышесказанное, а также позицию Всемирной организации здравоохранения по поводу постковидного синдрома («состояние, которое возникает у лиц с анамнезом вероятной или подтверждённой инфекции, вызванной вирусом SARS-CoV-2, как правило, через 3 месяца от начала COVID-19, и характеризуется наличием симптомов на протяжении не менее 2 месяцев, а также невозможностью их объяснения альтернативным диагнозом» [8]), постковидный синдром в представленном случае следует рассматривать в качестве причины развития уртикарного васкулита.
ЗАКЛЮЧЕНИЕ
Таким образом, отдалённые последствия COVID-19 становятся предметом более углубленного изучения в свете описания всё более разнообразных клинических случаев. Постковидные проявления (с поражением разных систем и органов) многообразны. На примере описанного случая уртикарного васкулита, связанного с перенесённой инфекцией COVID-19, подчёркивается необходимость комплексного анализа возможных проявлений данного заболевания, гистологического исследования кожи, а также индивидуального подбора терапии.
Для лечения уртикарного васкулита пока ещё недостаточно рандомизированных клинических исследований, поэтому эффективность применения альтернативной терапии, в частности колхицина, может служить рекомендуемым вариантом терапии уртикарного васкулита для контроля симптомов заболевания.
Дальнейшие исследования в данной области играют важную роль в разработке более эффективных методов диагностики и терапии, что в свою очередь способствует существенному улучшению качества жизни пациентов, столкнувшихся с подобными проявлениями.
ДОПОЛНИТЕЛЬНАЯ ИНФОРМАЦИЯ
Источник финансирования. Авторы заявляют об отсутствии внешнего финансирования при проведении работы и подготовке рукописи.
Конфликт интересов. Авторы декларируют отсутствие явных и потенциальных конфликтов интересов, связанных с публикацией настоящей статьи.
Вклад авторов. Все авторы подтверждают соответствие своего авторства международным критериям ICMJE (все авторы внесли существенный вклад в разработку концепции, проведение работы и подготовку статьи, прочли и одобрили финальную версию перед публикацией). Наибольший вклад распределён следующим образом: О.В. Ищенко, И.Н. Щурок ― сбор и анализ литературных источников, написание и редактирование текста статьи; О.И. Черноков ― сбор и анализ литературных данных, оформление статьи и перевод аннотации; О.В. Захарова, В.Б. Лапоревич ― сбор и анализ анамнестических данных по клиническому случаю, курация пациента, О.В. Лесничая ― морфологическое исследование биоптатов кожи пациента.
Информированное согласие на публикацию. Авторы получили письменное согласие пациентки на публикацию медицинских данных и фотографий в обезличенной форме в «Российском аллергологическом журнале».
ADDITIONAL INFORMATION
Funding source. This article was not supported by any external sources of funding.
Competing interests. The authors declare that they have no competing interests.
Authors’ contribution. All authors made a substantial contribution to the conception of the work, acquisition, analysis, interpretation of data for the work, drafting and revising the work, final approval of the version to be published and agree to be accountable for all aspects of the work. A.V. Ishchanka, I.N. Shchurok ― collection and analysis of literary sources, writing and editing the article; O.I. Chernokov ― collection and analysis of literary sources, article design and abstract translation; O.V. Zakharova, V.B. Laporevich ― collection and analysis of anamnestic data on this clinical case, patient supervision; O.V. Lesnichaya ― morphological examination of patient skin biopsies.
Consent for publication. Written consent was obtained from the patient for publication of relevant medical information and all of accompanying images within the manuscript in Russian Journal of Allergy.
About the authors
Aksana V. Ishchanka
Vitebsk State Order of Peoples’ Friendship Medical University
Author for correspondence.
Email: oksana_is200272@mail.ru
ORCID iD: 0000-0001-8755-7482
SPIN-code: 9933-0496
MD, Dr. Sci. (Medicine), Professor
Белоруссия, 27 Frunze avenue, 210009 Vitebsk, BelarusIryna N. Shchurok
Vitebsk State Order of Peoples’ Friendship Medical University
Email: shchurok.irina@mail.ru
ORCID iD: 0009-0003-5648-7882
SPIN-code: 7117-9072
MD, Cand. Sci. (Medicine), Assistant Professor
Белоруссия, 27 Frunze avenue, 210009 Vitebsk, BelarusOleg I. Chernokov
Vitebsk State Order of Peoples’ Friendship Medical University
Email: chernokov97@gmail.com
ORCID iD: 0000-0003-3739-1474
SPIN-code: 7779-3361
MD
Белоруссия, 27 Frunze avenue, 210009 Vitebsk, BelarusVolha V. Zakharova
Vitebsk State Order of Peoples’ Friendship Medical University
Email: zakharovkan@mail.ru
ORCID iD: 0000-0002-6696-0704
SPIN-code: 8993-3484
MD
Белоруссия, 27 Frunze avenue, 210009 Vitebsk, BelarusOlesya V. Lesnichaya
Vitebsk State Order of Peoples’ Friendship Medical University
Email: 5114528@rambler.ru
ORCID iD: 0000-0003-2072-077X
SPIN-code: 7486-5317
MD, Cand. Sci. (Medicine), Assistant Professor
Белоруссия, 27 Frunze avenue, 210009 Vitebsk, BelarusVera B. Laporevich
Vitebsk Regional Clinical Hospital
Email: veralaporevich@mail.ru
ORCID iD: 0009-0001-0020-4711
SPIN-code: 6170-2307
MD
Белоруссия, VitebskReferences
- Krause K, Bonnekoh H, Jelden-Thurm J, et al. Differential diagnosis between urticarial vasculitis and chronic spontaneous urticaria: An international Delphi survey. Clin Transl Allergy. 2023;13(10):e12305. doi: 10.1002/clt2.12305
- Caproni M, Verdelli A. An update on the nomenclature for cutaneous vasculitis. Curr Opin Rheumatol. 2019;31(1):46–52. doi: 10.1097/BOR.0000000000000563
- Sunderkötter CH, Zelger B, Chen KR, et al. Nomenclature of cutaneous vasculitis: Dermatologic addendum to the 2012 revised International Chapel Hill consensus conference nomenclature of vasculitides. Arthritis Rheumatol. 2018;70(2):171–184. doi: 10.1002/art.40375
- Marzano A, Maronese C, Genovese G, et al. Urticarial vasculitis: Clinical and laboratory findings with a particular emphasis on differential diagnosis. J Allergy Clin Immunol. 2022;149(4): 1137–1149. doi: 10.1016/j.jaci.2022.02.007
- Fraticelli P, Benfaremo D, Gabrielli A. Diagnosis and management of leukocytoclastic vasculitis. Intern Emerg Med. 2021;16(4):831–841. doi: 10.1007/s11739-021-02688-x
- Kolkhir P, Grakhova M, Bonnekoh H, et al. Treatment of urticarial vasculitis: A systematic review. J Allergy Clin Immunol. 2019;143(2):458–466. doi: 10.1016/j.jaci.2018.09.007
- Pastuszczak M, Celińska-Löwenhoff M, Sułowicz J, et al. Clinical study on single-organ cutaneous small vessels vasculitis (SoCSVV). Medicine (Baltimore). 2017;96(12):e6376. doi: 10.1097/MD.0000000000006376
- World Health Organization [Internet]. A clinical case definition of post COVID-19 condition by a Delphi consensus [2021 October 6]. Available from: https://www.who.int/publications/i/item/WHO-2019-nCoV-Post_COVID-19_condition-Clinical_case_definition-2021.1. Accessed: 15.07.2024.
Supplementary files







