Eosinophilic esophagitis in children: Experience in diagnosis, clinical observation in a multidisciplinary hospital
- Authors: Khakimova R.F.1, Kamalova A.A.1,2, Polyakov N.S.2, Khomyakov A.E.2, Nizamova R.A.2, Zaynetdinova M.S.2, Cheminava L.D.2
-
Affiliations:
- Kazan State Medical University
- Republic Childrens Hospital
- Issue: Vol 20, No 1 (2023)
- Pages: 97-103
- Section: Case reports
- Submitted: 26.01.2023
- Accepted: 14.02.2023
- Published: 06.04.2023
- URL: https://rusalljournal.ru/raj/article/view/2085
- DOI: https://doi.org/10.36691/RJA2085
- ID: 2085
Cite item
Full Text
Abstract
This study presented the characteristics of seven patients with eosinophilic esophagitis from age 1 year and 2 months to age 17 years and 4 months. The follow-up duration ranged from 1 to 7.5 years.
Disease onset was observed at different ages: aged >2 years (n=6) and 2 months (n=1). The period between the occurrences of the first symptom to diagnosis ranged from 3 months to 9 years. In one patient, the symptoms were associated with cow’s milk allergy, whereas the cause was not identified in other cases. Allergic diseases (i.e., atopic dermatitis, allergic rhinitis, and asthma) were observed in six patients.
Treatment was provided according to the clinical guidelines. Six patients were prescribed topical steroids (budesonide) and an empirical elimination diet. One patient was prescribed only with an empirical elimination diet due to the steroid phobia of the parents. However, the ineffectiveness of the diet was the basis for topical steroid prescription. During the follow-up, a relapse was observed in two patients who required repeated treatments.
A clinical case of eosinophilic esophagitis in a 6-year-old child, with 7.5 years of follow-up, was described. According to the anamnesis, the patient visited a gastroenterologist 4 years after the onset of dysphagia symptoms. Endoscopy revealed cicatricial stenosis of the upper third of the esophagus (grades 2–3). A morphological study of the esophageal mucosa, which was performed after repeated endoscopic bougienage and a 5-month course of antisecretory therapy was deemed ineffective, revealed massive eosinophilic infiltration. Eosinophilic esophagitis was confirmed based on the anamnesis, clinical symptoms, and endoscopic and morphological data. An elimination diet and topical corticosteroids (budesonide) were prescribed. Following the treatment, the patient showed significant improvements. Subsequently, during the follow-up, a relapse of eosinophilic esophagitis was diagnosed twice (with an interval of 2.3 and 2.5 years), which required topical steroids (case 1) and proton pump inhibitors (case 2).
This paper highlights the importance of a multidisciplinary approach, involving an allergist-immunologist, pediatrician, gastroenterologist, endoscopist, and pathologist, in the management of eosinophilic esophagitis in children.
Full Text
АКТУАЛЬНОСТЬ
Эозинофильный эзофагит (ЭоЭ) ― хроническое иммуноопосредованное заболевание, характеризуемое эзофагеальной дисфункцией и выраженной эозинофильной инфильтрацией слизистой оболочки пищевода [1]. Актуальность изучения ЭоЭ у детей обусловлена значительными сложностями диагностики в связи с разнообразием клинических проявлений в разном возрасте, прогрессирующим течением при отсутствии лечения, развитием фиброза и стриктур пищевода в дальнейшем. Так, по данным литературы, стриктуры наблюдаются у 39% пациентов с ЭоЭ при постановке диагноза через 8 лет и у 70% пациентов при постановке диагноза через 20 лет [2–4]. Следует отметить, что одной из важных причин запоздалой диагностики является отсутствие настороженности врачей первичного звена (педиатров, гастроэнтерологов, аллергологов-иммунологов) в отношении заболевания.
СОБСТВЕННЫЙ ОПЫТ ДИАГНОСТИКИ ЭОЗИНОФИЛЬНОГО ЭЗОФАГИТА
Начало изучению ЭоЭ в Республике Татарстан положено в 2014 году, когда нами впервые было диагностировано заболевание у ребёнка 6 лет, что было опубликовано в 2016 году [5]. С 2014 года по настоящее время ЭоЭ верифицирован у 7 детей в возрасте от 1 года 2 месяцев до 17 лет 4 месяцев (из них 6 мальчиков и 1 девочка). Длительность наблюдения за пациентами составляет от 1 года до 7 лет 6 месяцев.
Клинический диагноз устанавливался в соответствии с клиническими рекомендациями с использованием общеклинических, инструментальных, морфологических и специфических аллергологических методов обследования. Общеклинические методы включали анамнез заболевания, объективное обследование, оценку результатов лабораторных (общий анализ крови, общий анализ мочи), инструментальных (эзофагогастродуоденоскопия) и морфологических методов. Специфическое аллергологическое обследование (анализ аллергологического анамнеза, кожное тестирование с неинфекционными аллергенами, определение уровня специфических иммуноглобулинов E к аллергенам в сыворотке крови методом иммуноферментного анализа) проводилось с целью выявления этиологически значимого аллергена и подтверждения сопутствующего аллергического заболевания. Обследование проводилось неоднократно в процессе динамического наблюдения.
Анализ клинико-анамнестических данных показал, что первые клинические симптомы заболевания появлялись в разные возрастные периоды: у большинства детей в возрасте старше 2 лет и только у 1 ребёнка в возрасте ~2 месяцев. Временной интервал от первых клинических симптомов до постановки диагноза варьировал от 3 месяцев до 9 лет. У 6 детей имели место отягощённая по атопии наследственность и клинические проявления аллергических заболеваний (атопический дерматит, аллергический ринит, бронхиальная астма).
Степень тяжести клинических проявлений отличалась ― от минимальных симптомов (длительное пережёвывание пищи, запивание водой, нарушение пищевого поведения) до серьёзных проявлений (затруднение глотания, эпизоды вклинения пищи в пищевод), потребовавших неотложной помощи. Необходимо отметить, что в 6 случаях не удалось установить пищевой продукт, причинно-значимый в развитии эзофагеальных симптомов. Только у 1 ребёнка (возраст 1 год 2 месяца), который поступил в стационар в связи с белково-энергетической недостаточностью тяжёлой степени, тяжёлым течением атопического дерматита, прослеживалась чёткая связь гастроинтестинальных симптомов с конкретной причиной. В результате обследования была выявлена пищевая аллергия к белкам коровьего молока, значимость которой была подтверждена на этапе назначения диагностической элиминационной диеты.
Интересным является случай появления первых симптомов у девочки 11 лет на фоне аллергенспецифической иммунотерапии (АСИТ) аллергеном пыльцы берёзы сублингвальным методом. Симптомы появились через 2 недели от начала второго курса АСИТ, при этом, согласно анамнезу, до и во время первого курса АСИТ, а также в течение года до следующего курса клинических симптомов не отмечалось.
Представляем клинический случай ЭоЭ у ребёнка 6 лет с катамнестическим наблюдением в течение 7,5 лет как один из примеров нашей клинической практики по диагностике заболевания, лечению и наблюдению детей с верифицированным диагнозом.
ОПИСАНИЕ КЛИНИЧЕСКОГО СЛУЧАЯ
О пациенте
Ребёнок 10.05.2008 года рождения госпитализирован в педиатрическое отделение ГАУЗ «Детская республиканская клиническая больница» Министерства здравоохранения Республики Татарстан 23.08.2014 с жалобами на затруднение глотания.
Анамнез заболевания. Со слов родителей, затруднение глотания, длительное пережёвывание пищи, запивание водой твёрдой пищи наблюдались с двухлетнего возраста. Родители связывали это с особенностями характера, поэтому к врачу не обращались. С января 2014 года эпизоды нарушения глотания участились, что явилось причиной обращения к гастроэнтерологу, который назначил эндоскопическое исследование.
Протокол эндоскопического обследования от 22.01.2014: слизистая отёчна; просвет резко сужается, непроходим для эндоскопа диаметром 9,8 мм. Выраженное сопротивление и травматизация при прохождении аппаратом 7,9 мм. Эндоскоп 5,9 мм проходит плотно. В верхней трети линейные надрывы слизистой 5–6 мм, кровотечение умеренное, неповреждённая слизистая бледная, рубцово изменена; в нижней трети просвет расширяется, зона гастроэзофагеального перехода чётко не дифференцируется, но, судя по складкам, расположена выше диафрагмы; кардия зияет. В желудке слизь. Складки его обычных размеров. Слизистая желудка бледная. Привратник свободно проходим. Луковица двенадцатиперстной кишки бледновата, слегка отёчна. Постбульбарно картина аналогична. По результатам эзофагогастродуоденоскопии констатирован рубцовый стеноз верхней трети пищевода II–III степени (врождённый короткий пищевод?). Поверхностный дуоденит, умеренный.
По результатам клинического и инструментального обследования ребёнку была назначена терапия, включавшая ингибиторы протонной помпы и неоднократные курсы эндоскопической дилатации пищевода с частотой 1 раз в 7–14 дней амбулаторно и в условиях стационара. Длительность терапии составила 5 месяцев, однако клинические симптомы и эндоскопическая картина сохранялись, что привело к рассмотрению вопроса о возможности пластики пищевода.
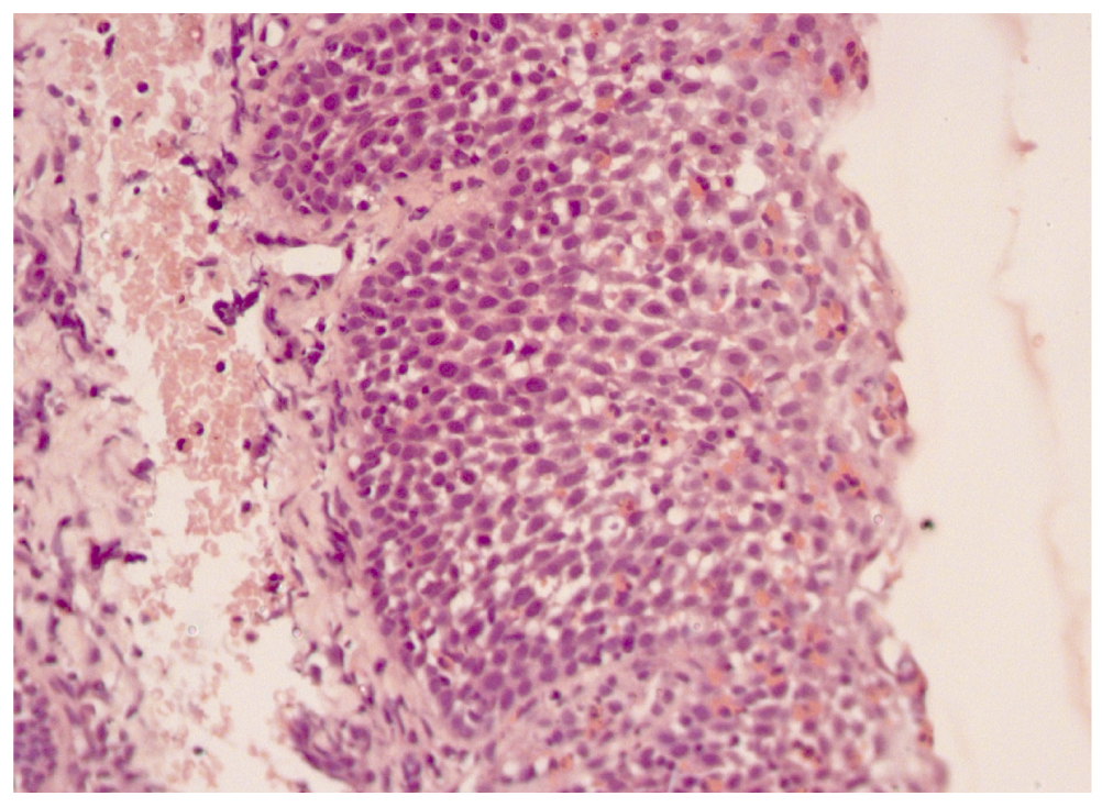
Принимая во внимание отсутствие эффекта от проводимой терапии, при повторном эндоскопическом обследовании проведена биопсия слизистой оболочки пищевода. Морфологическая картина (30.06.2014): плоский эпителий смотрится раздражённым, стратификация отсутствует. Большое количество интраэпителиальных эозинофилов (>20 в поле зрения). Подэпителиальные ткани с явлениями склероза, вероятными лимфоэктазами и эозинофильной инфильтрацией (эозинофильный эзофагит) (рис. 1).
Рис. 1. Гистологическая картина слизистой оболочки пищевода до лечения.
Fig. 1. Esophageal mucosa before treatment.
Аллергологический анамнез. С младенческого возраста до 2 лет наблюдались кожные высыпания, выраженный зуд; в возрасте 2 лет установлен диагноз атопического дерматита. С 4 лет отмечаются эпизодические назальные симптомы (заложенность носа, насморк, приступообразное чихание) с ухудшением в весеннее время. Аллергологом не консультирован, аллергологическое обследование не проводилось. Перенесённые заболевания: острое респираторное вирусное заболевание. Вакцинирован по индивидуальному календарю, реакций не наблюдалось.
Клинический диагноз
По данным лабораторных исследований, в общем анализе крови выявлена эозинофилия (11,1%). При аллергологическом обследовании подтверждена сенсибилизация к аллергенам клеща домашней пыли (Dermatophagoides pteronyssinus), пыльцы деревьев (берёзы, ольхи). Наряду с этим определён высокий уровень антител изотипа IgЕ к белкам коровьего молока, аллергенам клеща домашней пыли, средний уровень ― к аллергенам пыльцы деревьев. Уровень общего IgE высокий (489,7 МЕ/мл).
Таким образом, у ребёнка с клиническими проявлениями атопии (атопический дерматит, аллергический ринит) с раннего возраста имели место эзофагеальные симптомы, своевременно не диагностированные, что привело к развитию осложнений. На основании клинико-анамнестических данных, результатов инструментального обследования и морфологического исследования выставлен клинический диагноз: «Эозинофильный эзофагит, осложнённое течение. Рубцовый (трубчатый) стеноз верхней трети пищевода II–III степени. Поверхностный гастродуоденит, умеренный. Аллергический ринит, интермиттирующее течение. Атопический дерматит, период ремиссии. Сенсибилизация к бытовым, пищевым, пыльцевым аллергенам».
Лечение, динамика состояния
Согласно клиническим рекомендациям и данным литературы, нами было принято решение о назначении эмпирической диеты с исключением из рациона продуктов с высоким аллергенным потенциалом (яйца, молоко, соя, орехи, пшеница, рыба, моллюски). Следует отметить, что на момент постановки диагноза действующие клинические рекомендации предлагали проведение терапии ингибиторами протонной помпы в течение 6–8 недель с целью дифференциальной диагностики ЭоЭ с другими заболеваниями. Однако, исходя из того, что наш пациент в течение 5 месяцев уже получал данные препараты без эффекта, в комплексную терапию был включён топический глюкокортикостероид (ГКС) будесонид в суточной дозе 1000 мкг внутрь в течение 3 месяцев с последующей отменой препарата.
Положительная динамика клинических симптомов наблюдалась с первого месяца применения препарата и соблюдения элиминационной диеты: эпизоды затруднённого глотания не повторялись в течение всего периода наблюдения.
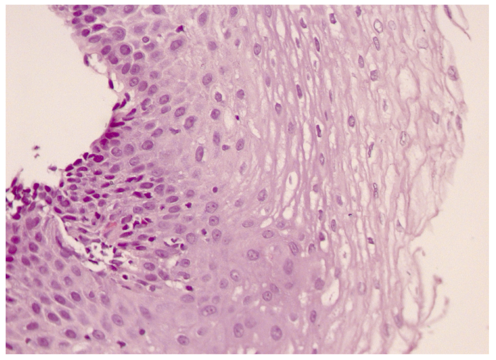
При повторном обследовании через 2 месяца ― эндоскопическая картина с положительной динамикой; биопсия не проводилась, учитывая малый временной промежуток, прошедший со дня первого исследования. Курс лечения топическим ГКС составил 6 месяцев. В общем анализе крови в течение 1,5 лет прослеживалась эозинофилия (11,1–13–9,1–12–6,2–10,0%), в феврале 2016 года впервые содержание эозинофилов в периферической крови соответствовало возрастной норме (4,2%). Сохранялся очень высокий уровень общего IgE в сыворотке крови (489,7–1091,0–452,7–567,8–1039 МЕ/мл) при снижении уровня антиел изотипа IgЕ к белкам коровьего молока. Ухудшения при динамическом наблюдении не наблюдалось, в том числе после отмены топического ГКС и на фоне расширения диеты. Повторная биопсия и морфологическое исследование проведены через год после отмены топического ГКС. В контрольном биоптате слизистой (18.02.2016) микроскопическая картина вернулась к гистологической норме, что является подтверждением эффективности терапии (рис. 2).
Рис. 2. Гистологическая картина слизистой оболочки пищевода через год после терапии топическим глюкокортикоидом.
Fig. 2. Esophageal mucosa 1 year after the end of therapy with topical glucocorticoid.
Через 2 года 4 месяца после окончания курса лечения топическим ГКС и расширения диеты ребёнок был госпитализирован в плановом порядке для динамического обследования (08.06–20.06.2017). На момент осмотра активных жалоб не предъявлял. Согласно анамнезу, эпизодов затруднения глотания в течение данного периода не наблюдалось. В общем анализе крови сохранялась эозинофилия (12%). Уровень общего IgE в сыворотке крови высокий (716 МЕ/мл). Однако, несмотря на отсутствие жалоб и клинических симптомов, при эндоскопическом обследовании выявлены признаки катарального эзофагита, что явилось основанием для проведения биопсии. Морфологическое исследование подтвердило эозинофильный характер воспаления: большое количество интраэпителиальных эозинофилов (>20 в поле зрения).
Учитывая принадлежность ребёнка к группе риска по развитию осложнений ЭоЭ, нами назначено лечение (диетотерапия, будесонид в дозе 1000 мкг 2 раза/день внутрь) в течение 3 месяцев с последующим повторным обследованием для решения вопроса о тактике терапии. Обследование в динамике через 3 месяца (13.09–19.09.2017) установило наличие эндоскопической и гистологической ремиссии, в связи с чем доза будесонида была снижена до 0,5 мкг (0,125 мкг внутрь 2 раза/сут). На фоне терапии ребёнок обследован через 6 месяцев (14.03–19.03.2018): при морфологическом исследовании данных за эозинофильное воспаление не получено. Принимая во внимание стабильную положительную динамику, нами рекомендовано продолжить лечение будесонидом (по 0,125 мкг 2 раза/сут) с последующим контрольным обследованием через 6 месяцев.
При динамическом обследовании ребёнка через 6 месяцев на фоне отсутствия жалоб и клинических симптомов эндоскопическая и морфологическая картина свидетельствовала о наличии рецидива эозинофильного эзофагита. По данным гистологического исследования от 03.09.2018, фрагменты пласта многослойного плоского эпителия с разной степенью выраженности эозинофильной инфильтрации: наибольшая ― в верхней трети пищевода (до 20 эозинофилов в поле зрения на большом увеличении), меньшая ― в средней трети, единичные эозинофилы ― в нижней трети. Кроме того, выявлен и подтверждён кандидозный эзофагит, что потребовало назначения противогрибковой терапии. Отсутствие эффекта от терапии мы связали не только с погрешностями в питании, но и с низкой дозой будесонида. В связи с этим доза препарата, согласно клиническим рекомендациям, увеличена до 1000 мкг 2 раза/сут внутрь. Ребёнок принимал препарат в указанной дозировке в течение 3 месяцев, затем, с постепенным снижением дозы в течение последующих 3 месяцев препарат был отменён (март 2019 года). При динамическом обследовании (13.12.2018 и 12.09.2019) объективных, эндоскопических данных за рецидив ЭоЭ не получено. В биоптате эозинофильной инфильтрации не выявлено.
Исход и результаты последующего наблюдения
Последняя госпитализация состоялась через 2 года 6 месяцев после терапии топическим ГКС (в октябре 2021 года). Ребёнок поступил в плановом порядке с целью динамического обследования. Возраст 13 лет 5 месяцев. При поступлении активных жалоб не предъявлял. Со слов родителей, строгую диету не соблюдает. Объективно: состояние удовлетворительное. Кожные покровы физиологической окраски, сухость кожи в области локтевых сгибов и подколенных ямок. Видимые слизистые розовые. Носовое дыхание свободное. Лимфатические узлы пальпируются, мелкие, безболезненные, не спаяны с окружающей тканью, эластичные. В зеве гиперемии нет. Язык розовый, налётов нет. Грудная клетка правильной формы. Частота дыхания 22/мин. Перкуторный звук лёгочный. Аускультативно дыхание везикулярное. Пульс ритмичный, 84/мин. Тоны сердца ясные. Живот правильной формы, при пальпации безболезненный. Печень, селезёнка не увеличены. Эндоскопическая картина (от 06.10.2021): слизистая оболочка пищевода на всём протяжении умеренно гиперемирована; линейные «трещины», кровоточивость; просвет не нарушен, сосудистый рисунок смазан. Протокол морфологического исследования: эозинофилия слизистой оболочки на всём протяжении, более выраженная в верхней трети пищевода (>20 клеток при большом увеличении).
Проанализировав течение заболевания, получаемое с момента установления диагноза ЭоЭ лечение, а также варианты терапии, рассматриваемые в современных отечественных клинических рекомендациях по диагностике и лечению ЭоЭ [1], принято решение о проведении терапии ингибиторами протонной помпы в сочетании с элиминационной диетой при исключении молока и глютенсодержащих продуктов.
ОБСУЖДЕНИЕ
Мы считаем, что данный клинический случай является ярким примером, на котором во избежание ошибок можно учиться пониманию клинических особенностей, значимости диагностических методов и выбору терапевтических подходов.
Лечение всех пациентов с установленным диагнозом ЭоЭ проводилось нами согласно клиническим рекомендациям и включало использование ингибиторов протонной помпы, топических ГКС, диетотерапии [4]. В 6 случаях после установления диагноза ЭоЭ назначались топические ГКС (будесонид в рекомендуемой возрастной дозировке) и эмпирическая диета. Лечение одного ребёнка ввиду выраженной стероидофобии у его родителей было начато с эмпирической диеты, однако через 6 месяцев в связи с отсутствием клинического эффекта и положительной динамики эндоскопической и морфологической картины назначен топический ГКС. В процессе динамического наблюдения в 2 случаях выявлен рецидив заболевания, что потребовало назначения повторного курса терапии топическими ГКС.
Таким образом, как показывает клинический опыт, сложна не только диагностика ЭоЭ [3]. В процессе наблюдения за пациентами возникает много вопросов, на которые нет однозначных ответов:
- какое лечение предпочтительно ― медикаментозное или диетотерапия;
- как долго пациент должен соблюдать диету;
- как долго пациент должен получать медикаментозную терапию;
- какие медикаменты предпочтительней ― системные или местные;
- каким препаратам отдавать предпочтение ― топическим ГКС или ингибиторам протонной помпы;
- как избежать рецидива заболевания.
ЗАКЛЮЧЕНИЕ
На наш взгляд, при ведении пациентов с ЭоЭ исключительно важными являются организационные вопросы, среди которых обеспечение лекарственными препаратами, поскольку ЭоЭ ― хроническое заболевание, требующее длительной терапии дорогостоящими препаратами. Более того, изучение молекулярных основ патогенеза ЭоЭ и проводимые клинические исследования свидетельствуют о возможном применении в ближайшей перспективе биологических препаратов. В связи с этим мы считаем, что назрела необходимость создания региональных регистров пациентов с ЭоЭ.
ДОПОЛНИТЕЛЬНАЯ ИНФОРМАЦИЯ
Источник финансирования. Авторы заявляют об отсутствии внешнего финансирования при проведении поисково-аналитической работы и подготовке рукописи.
Конфликт интересов. Авторы декларируют отсутствие явных и потенциальных конфликтов интересов, связанных с публикацией настоящей статьи.
Вклад авторов. Все авторы подтверждают соответствие своего авторства международным критериям ICMJE (все авторы внесли существенный вклад в разработку концепции, проведение поисково-аналитической работы и подготовку статьи, прочли и одобрили финальную версию перед публикацией). Наибольший вклад распределён следующим образом: Р.Ф. Хакимова, А.А. Камалова ― концепция и дизайн исследования; Р.Ф. Хакимова, А.А. Камалова, Р.А. Низамова, М.Ш. Зайнетдинова, Л.Д. Чеминава — диагностика, лечение, динамическое наблюдение пациентов; Р.Ф. Хакимова ― анализ клинических данных, результатов инструментальных и морфологических исследований, написание и редактирование текста статьи; А.А. Камалова — анализ клинических данных и результатов инструментальных и морфологических исследований, написание текста статьи; Н.С. Поляков ― эндоскопическая диагностика; А.Е. Хомяков ― морфологическая диагностика.
Информированное согласие на публикацию. Авторы получили письменное согласие законных представителей пациента на публикацию медицинских данных в научных целях в Российском аллергологическом журнале.
ADDITIONAL INFORMATION
Funding source. This article was not supported by any external sources of funding.
Competing interests. The authors declare that they have no competing interests.
Authors’ contribution. All authors made a substantial contribution to the conception of the work, acquisition, analysis, interpretation of data for the work, drafting and revising the work, final approval of the version to be published and agree to be accountable for all aspects of the work. R.F. Khakimova, A.A. Kamalova — study concept and design; R.F. Khakimova, A.A. Kamalova, R.A. Nizamova, M.Sh. Zainetdinova, L.D. Cheminava ― performed diagnosis, management and observation; R.F. Khakimova ― analysed data, wrote the manuscript; A.A. Kamalova ― analysed data, wrote the manuscript; N.S. Polyakov ― carried out endoscopic imaging; A.E. Khomyakov ― performed morphological diagnostics.
Consent for publication. Written consent was obtained from the patient’s legal representatives for publication of relevant medical information and all of accompanying images within the manuscript.
About the authors
Rezeda F. Khakimova
Kazan State Medical University
Email: khakimova@yandex.ru
ORCID iD: 0000-0003-0754-9605
SPIN-code: 4782-2864
MD, Dr. Sci. (Med.), Professor
Россия, KazanAelita A. Kamalova
Kazan State Medical University; Republic Childrens Hospital
Email: aelitakamalova@gmail.com
ORCID iD: 0000-0002-2957-680X
SPIN-code: 3922-1391
MD, Dr. Sci. (Med.)
Россия, Kazan; KazanNikolay S. Polyakov
Republic Childrens Hospital
Email: drkbendo2017@gmail.com
ORCID iD: 0000-0001-7949-9091
SPIN-code: 9554-1257
Россия, Kazan
Aleksandr E. Khomyakov
Republic Childrens Hospital
Email: drkb.khomyakov@gmail.com
ORCID iD: 0000-0002-5032-2599
SPIN-code: 1933-8444
Россия, Kazan
Railya A. Nizamova
Republic Childrens Hospital
Author for correspondence.
Email: railya.nizamova@tatar.ru
ORCID iD: 0000-0002-7761-3046
SPIN-code: 5511-2941
Россия, Kazan
Madina Sh. Zaynetdinova
Republic Childrens Hospital
Email: Madina.Zaynetdinova@tatar.ru
ORCID iD: 0000-0002-0767-541X
SPIN-code: 6944-7354
Россия, Kazan
Lika D. Cheminava
Republic Childrens Hospital
Email: likacheminava@mail.ru
ORCID iD: 0000-0002-0896-6729
SPIN-code: 4745-1872
Россия, Kazan
References
- Ivashkin VT, Maev IV, Trukhmanov AS, et al. Clinical guidelines of the Russian Gastroenterological Association on the diagnostics and treatment of eosinophilic esophagitis. Russian Journal of Gastroenterology, Hepatology, Coloproctology. 2018;28(6):84–98. (In Russ). doi: 10.22416/1382-4376-2018-28-6-84-98
- Dellon ES, Hirano I. Epidemiology and natural history of eosinophilic esophagitis. Gastroenterology. 2018;154(2):319–332.e3. doi: 10.1053/j.gastro.2017.06.067
- Munoz-Persy M, Lucendo AJ. Treatment of eosinophilic esophagitis in the pediatric patient: An evidence-based approach. Eur J Pediatr. 2018;177(5):649–663. doi: 10.1007/s00431-018-3129-7
- Lucendo AJ, Molina-Infante J, Arias A, et al. Guidelines on eosinophilic esophagitis: Evidence-based statements and recommendations for diagnosis and management in children and adults. United Eur Gastroenterol J. 2017;5(3):335–358. doi: 10.1177/2050640616689525
- Khakimova RF, Fаtkullina RG, Anokhina SG, et al. Clinical case of eosinophilic esophagitis in a 6-year old child. Practical medicine. 2016;8(100):123–126. (In Russ).




