Vasculitis with nervous system damage in a patient with adenosine deaminase 2 deficiency
- Authors: Golovina O.A.1, Roppelt A.A.1, Markina U.A.1, Mutovina Z.Y.1, Shishimorov A.A.1, Schukin K.A.1, Karaulov A.V.2,3, Lysenko M.A.1,4, Fomina D.S.1,2,5
-
Affiliations:
- Clinical City Hospital No. 52
- The First Sechenov Moscow State Medical University (Sechenov University)
- LIFT Center
- The Russian National Research Medical University named after N.I. Pirogov
- Astana Medical University
- Issue: Vol 22, No 2 (2025)
- Pages: 217-225
- Section: Case reports
- Submitted: 13.01.2025
- Accepted: 26.03.2025
- Published: 03.06.2025
- URL: https://rusalljournal.ru/raj/article/view/16992
- DOI: https://doi.org/10.36691/RJA16992
- ID: 16992
Cite item
Abstract
Deficiency of adenosine deaminase 2 is a rare monogenic disease, inherited in an autosomal recessive manner and caused by a loss-of-function mutation in the ADA2 gene. The disease is manifested by systemic vasculitis, deficiency of bone marrow failure, and/or immunodeficiency. According to international classification of inborn errors of immunity, deficiency of adenosine deaminase 2 is considered to be an autoinflammatory syndrome. Most often, the disease debuts before the age of 18, however, debuts at an older age have been reported. Due to nonspecificity of the symptoms, the correct diagnosis can be quite late, and patients can end up consulting a number of specialists besides a pediatrician or an immunologist. A delay in diagnosis, in turn, delays the start of therapy of the underlying disease, which determines the prognosis of the disease, and affects patients’ quality of life.
In this article, we present a literature review on deficiency of adenosine deaminase 2 and a clinical case with a prevailing clinical picture of vasculitis with nervous system damage, which demonstrates the importance of timely diagnosis and the relevance of knowledge of the disease by doctors of different specialties.
Full Text
Актуальность
Дефицит аденозиндезаминазы 2-го типа (DADA2) — моногенное аутосомно-рецессивное заболевание, вызванное мутацией с потерей функции в гене аденозиндезаминазы 2-го типа (ADA2), проявляющееся системным васкулитом, недостаточностью костномозгового кроветворения и/или иммунодефицитом [1]. DADA2 был впервые описан в 2014 г. 2 независимыми группами исследователей: Q. Zhou и соавт. и E.P. Navon и соавт. [2, 3]. Белок АDА2 — димерный белок, который состоит из 4 доменов и регулирует пуриновый метаболизм путем расщепления аденозина, который является одним из ключевых провоспалительных ферментов [2, 4–6]. АDА2 экспрессируется миелоидными клетками и продуцируется активированными моноцитами, макрофагами и дендритными клетками, которые выделяют его во время воспалительных реакций [4, 6]. АDA2 взаимодействует с различными типами клеток, преимущественно нейтрофилами, моноцитами, В-, Т- и NK-клетками, снижая воспалительную активность путем расщепления аденозина [3]. Связываясь с рецепторами на поверхности Т-клеток, АDA2 индуцирует Т-зависимую дифференцировку моноцитов в макрофаги [4]. В отсутствие фермента поляризация моноцит-макрофагов смещается по направлению к подмножеству M1, которые продуцируют пул провоспалительных цитокинов и способствуют повреждению тканей, дисфункции эндотелия [2, 4, 7]. Помимо этого, фермент АDА2 играет роль в неоангиогенезе; его отсутствие является триггером для формирования нейтрофильных внеклеточных ловушек, что, в свою очередь, стимулирует макрофаги к продукции фактора некроза опухоли альфа (ФНО-альфа) и развитию васкулита [5]. Кроме дезаминазной активности фермент ADА2 обладает свойствами фактора роста для миелоидных клеток, и при его отсутствии нарушается их созревание, что приводит к недостаточности костномозгового кроветворения, снижению В-клеток памяти, лимфопении и нейтропении [4, 8].
Одним из ярких проявлений DADA2 является васкулит, частота развития которого достоверно неясна и составляет, по данным разных авторов, 51–90 % [8–10]. Поражение сосудов затрагивает артерии мелкого и среднего калибра, при этом гистологическая картина характеризуется негранулематозным некротизирующим артериитом [2, 3]. Стоит отметить особенно характерное поражение сосудов головного мозга: у 51 % пациентов с DADA2 выявляется поражение центральной нервной системы (ЦНС) в виде острого или хронического лакунарного ишемического инфаркта, расположенного в базальных ядрах или стволе головного мозга, не достигая подкорковых слоев; реже обнаруживаются геморрагические инфаркты, что определяет прогноз заболевания и качество жизни пациентов [2, 3]. Однако, помимо таких классических проявлений поражения ЦНС, как острое нарушение мозгового кроветворения (ОНМК), у пациентов с DADA2 описаны транзиторные ишемические атаки, поражение черепных нервов, поражение более крупных сосудов с развитием их аневризм, энцефалопатии, церебральной атрофии [2, 3, 11]. Кроме поражения ЦНС при DADA2, хоть и более редко, в патологический процесс может вовлекаться и периферическая нервная система (ПНС) в виде периферической полинейропатии, плекситов, атаксии, нейросенсорной тугоухости, множественных мононевритов [2, 11–14]. Менее часто компрометированы другие сосуды и органы: желудочно-кишечный тракт (свыше 10 %) — в виде поражения кишечника и его артерий (клинические проявления могут быть похожи как на воспалительные заболевания кишечника, так и на мезентериальный тромбоз и осложняться кишечной перфорацией, стенозом или аневризмами мезентериальных или кишечных артерий); печень — крайне редкая манифестация с повышением уровня трансаминаз, гепатоспленомегалией, портальной гипертензией (по биопсии выявляют нодулярную регенеративую гиперплазию и/или гепато-портальный склероз); почки — в виде артериальной гипертензии, аневризм или стенозов почечных артерий (14 %); коронарные артерии [2, 3, 11, 13, 15–18].
У 50 % пациентов отмечаются конституциональные симптомы, такие как лихорадка, сопровождающаяся повышением значений острофазовых маркеров (скорость оседания эритроцитов, уровень С-реактивного белка (СРБ)) [13, 15].
Частота гематологических проявлений у пациентов с DADA2 составляет 40–48 %, симптомы могут варьировать от анемии до панцитопении [8, 9].
Иммунодефицит встречается у данных пациентов с частотой до 66 % и проявляется, как правило, общей вариабельной иммунной недостаточностью с характерными для нее изменениями в иммунограмме и инфекционными осложнениями [8, 9, 16, 19].
Смертность при DADA2 достигает 26 % [3, 16, 20, 21]. Наиболее частой причиной смерти являются проявления васкулита, и раннее назначение терапии значимо влияет на выживаемость и качество жизни таких пациентов [17, 20]. Гематологические проявления также повышают риск смерти при этом заболевании, однако у пациентов с DADA2 они протекают независимо от симптомов иммунодефицита и васкулита и могут быть единственным проявлением заболевания или мало выражены [22, 23].
Поскольку DADA2 имеет разнообразные проявления, пациенты с данным заболеванием могут попасть к врачам различных специальностей, которые недостаточно информированы о нем, что приведет к задержке постановки диагноза. Вовремя установленный диагноз и инициация патогенетически обоснованного лечения имеют решающее значение для выживания и поддержания высокого качества жизни данных пациентов [11], что демонстрирует представленное нами клиническое наблюдение.
Описание случая
О пациенте
Пациент, 20 лет, поступил в отделение Московского городского научно-практического центра аллергологии и иммунологии Городской больницы № 52 с жалобами на слабость, снижение чувствительности и объема движения в левой руке и ноге, повышение артериального давления.
Анамнез
Пациент от неродственного брака, нормально протекавшей беременности, имеет старшую сестру 24 лет без хронических заболеваний.
В возрасте 6 лет у пациента отмечено возникновение спонтанных синяков на теле. Пациент обследован в гематологическом отделении, где установлен диагноз геморрагического васкулита. Далее наблюдался спонтанный регресс симптомов, специфическая терапия не проводилась.
В возрасте 15 лет внезапно во время занятий спортом у пациента возникли слабость и боль в правой руке и ноге, несвязная речь. Во время госпитализации в медицинскую организацию по месту жительства при обследовании у него впервые отмечалось незначительное снижение количества нейтрофилов до 1,8 × 109/л, по результатам остальных обследований (в том числе клинический, биохимический анализы крови, электрокардиограмма, магнитно-резонансная томография (МРТ) головного мозга) отклонений не выявлено. За время обследования симптоматика самостоятельно регрессировала. После выписки пациент периодически отмечал нарушение координации, головокружение.
С 17 лет у пациента появились эпизоды повышения температуры тела до 38,5 °С длительностью 2–3 дня, разрешающиеся самостоятельно. Через 6 мес на фоне повышения температуры тела пациент отметил тошноту, прогрессирующую шаткость походки, в связи с чем был госпитализирован в многопрофильный стационар. При проведении МРТ головного мозга впервые выявлен ишемический очаг в левой ножке свода мозжечка, также отмечались гипоплазия стволовых структур и ножек мозжечка, кистозные лакуны в колене мозолистого тела и правом таламусе. Лабораторно при поступлении у пациента отмечалось повышение уровня СРБ до 42 мг/л (норма 0–5). Остальные результаты обследований (в том числе электроэнцефалография, ультразвуковое исследование брахиоцефальных артерий, почек, рентгенография шейного отдела позвоночника, клинический и биохимический анализы крови, клинический анализ мочи, коагулограмма, гомоцистеин, протеин С, S, плазминоген, анализ спинномозговой жидкости на герпес-вирусы) без клинически значимых отклонений.
С 18 лет пациент стал отмечать эпизоды повышения артериального давления до 200/100 мм рт. ст.
С 19 лет (с 2021 г.), помимо эпизодов повышения артериального давления, температуры тела, шаткости походки, пациент стал отмечать прогрессирующее онемение левой руки и ноги, боль и припухание в коленных суставах, что вынудило его передвигаться с тростью. В 2022 г. пациент был комплексно обследован с проведением компьютерной томографической ангиографии — без признаков тромбозов, сужений, патологической извитости. По результатам ультразвуковой допплерографии брахиоцефальных артерий, вен нижних конечностей, эхокардиографии — без отклонений. При проведении МРТ головного мозга выявлены перенесенные инфаркты головного мозга в вертебробазилярном бассейне. При электронейромиографии зафиксирована аксональная полинейропатия нижних конечностей, сенсорно-моторная форма. Состояние расценено как последствия ОНМК от 2020, 2021 гг. Пациент был направлен на консультацию к ревматологу. При проведении иммунологического анализа крови уровни антинуклеарного фактора, антител к цитоплазме нейтрофилов и ревматоидного фактора были в пределах референсных значений.
Пациент наблюдался генетиком, проводился поиск врожденной причины неврологического дефекта. Выполнены обследования для исключения атаксий 1, 2 и 3-го типов, проведены диагностика митохондриальных заболеваний (поиск частых мутаций и крупных делеций в митохондриальной ДНК, частых мутаций в ядерных генах POLG, SURF1, SCO2, PDHA1), частичный анализ генов CBS, NOTCH3, тандемная масс-спектрометрия крови, анализ органических кислот в моче — патологии не выявлено. В 2021 г. пациенту и его родителям было проведено полное секвенирование генома трио. По результатам данного анализа у пациента выявлены мутации с.139G>A, p.Gly47Arg het и c.1240-1G>A het в гене ADA2, результаты обследования родителей подтвердили транс-положение мутаций: у отца обнаружен вариант с.139G>A, p.Gly47Arg het, у матери — c.1240-1G>A het. Пациенту диагностирован врожденный дефект иммунитета — синдром DADA2. Варианты у всех членов семьи подтверждены по методу Сэнгера. Впоследствии генетическое обследование по методу Сэнгера выполнено и родной сестре пациента, у которой отсутствуют симптомы DADА2: выявлен вариант c.1240-1G>A het.
Результаты физикального, лабораторного и инструментального исследований
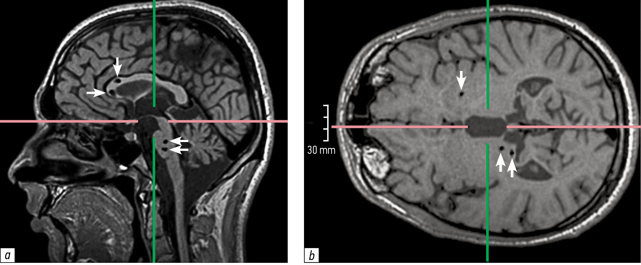
В августе 2023 г. пациент был госпитализирован в профильное отделение Городской клинической больницы № 52. Результаты дообследования: лабораторно отмечались повышение уровня СРБ до 10 мг/л (норма 0–5), незначительное снижение уровней иммуноглобулина (Ig) A до 1,2 г/л (норма — от 2,1), нейтрофилов до 1,4 × 109; остальные показатели, в том числе общего анализа крови и мочи, биохимического анализа крови, антинуклеарного фактора, антител к кардиолипину, гликопротеину, С3, С4, IgG, IgM, CD4+, CD8+, CD19+, CD3−CD56+CD16+, находились в пределах нормальных значений. Дополнительно выполнено расширенное иммунофенотипирование В-лимфоцитов: созревание В-клеток не нарушено, содержание субпопуляции переключенных В-клеток памяти достаточное — 12 % от общего содержания В-клеток. По данным инструментального обследования (компьютерная томография органов грудной клетки, брюшной полости, малого таза с внутривенным контрастированием, ультразвуковое исследование периферических лимфатических узлов, щитовидной железы) клинически значимых отклонений не выявлено. При МРТ головного мозга выявлены единичные мелкие участки в мозолистом теле и бассейне средней мозговой артерии справа, многочисленные очаги кистозно-глиозных изменений суб- и супратенториальной локализации, гипоплазия червя мозжечка и стволовых структур, умеренная внутренняя гидроцефалия (рис. 1).
Рис. 1. Магнитно-резонансная томограмма головного мозга в сагиттальной (a) и горизонтальной (b) плоскостях. Суб- и супратенториально определяются множественные очаги кистозно-рубцовых изменений на границе колена и клюва мозолистого тела, в структуре колена мозолистого тела, правого таламуса, Варолиевого моста (стрелки). Червь мозжечка и стволовые структуры гипоплазированы.
Fig. 1. Magnetic resonance imaging of the brain. Sagittal (a) and horizontal (b) plane. Multiple foci of cystic and scarring changes are visualized sub- and supratentorially at the border of the genu and rostrum of the corpus callosum, in the internal structures of the genu of corpus callosum, internal structures of the right thalamus, internal structures of the pons (arrows). Vermis and brainstem structures are hypoplastic.
Детализирован диагноз: врожденный дефект иммунитета — DADA2 (мутации с.139G>A, p.Gly47Arg, c.1240-1G>A в компаунд-гетерозиготном состоянии в гене ADA2), узелково-подобная форма полиартериита с поражением ЦНС (инфаркт головного мозга от 2020 и 2021 гг. в вертебробазилярном бассейне, атрофия мозжечка), ПНС (левосторонний легкий гемипарез, дистальная сенсомоторная полинейропатия нижних конечностей), суставов (олигоартрит крупных суставов), почек (вторичная артериальная гипертензия) с конституциональными симптомами (лихорадка, повышение значений острофазовых маркеров).
Лечение и результаты последующего наблюдения
В качестве базисной патогенетической терапии инициирован адалимумаб 40 мг подкожно по схеме 1 раз в 2 нед с хорошим эффектом в виде нормализации уровня СРБ, отсутствия новых эпизодов ОНМК, повышения температуры тела, болей в суставах, прогрессирования полинейропатии в течение 1,5 года наблюдения.
Обсуждение
Как замечено ранее, проявления синдрома DADA2 весьма разнообразны, как и возраст манифестации. В большинстве случаев первые симптомы регистрируются в детском возрасте со следующим распределением: 52 % — до 5 лет, 83 % — до 18 лет [3, 10, 14]. При этом описаны примеры крайне позднего появления симптомов: E.P. Navon и соавт. описали дебют заболевания с язв нижних конечностей у женщины 59 лет [3]. С учетом уменьшающейся частоты дебюта DADА2 с возрастом выдвигались гипотезы о более мягком течении заболевания у пациентов с началом во взрослом возрасте. A. Sharma и соавт. провели сравнительное исследование частоты манифестации различных органных поражений в когорте педиатрических и взрослых пациентов с синдромом DADA2 и показали меньшую частоту у взрослых пациентов конституциональных (38 % против 71 %; р = 0,037) и гематологических (12 % против 47 %; р = 0,031) симптомов. Однако частота других органных проявлений была сходна: кожные проявления (70 % против 76 %; р = 1,0), поражение ЦНС (56 % против 76 %; р = 0,282) и ПНС (43 % против 35 %; р = 0,688), вовлечение желудочно-кишечного тракта (31 % против 58 %; р = 0,166), почек (43 % против 53 %; р = 0,732), суставов (6 % против 29 %; р = 0,085), глаз (6 % против 17 %; р = 1) [20].
Несмотря на преимущественно раннее начало, зачастую заболевание диагностируют не сразу, что подчеркивает необходимость повышения настороженности о проблеме не только у врачей педиатрических специальностей — нельзя забывать об оставшихся 17 % пациентов, у которых старт симптомов приходится на взрослый возраст.
В представленном нами случае диагноз был установлен в 20 лет. Однако манифестация заболевания произошла как минимум за 5 лет до этого, когда впервые наблюдался эпизод очагового неврологического дефицита в виде гемипареза, координаторных нарушений, дизартрии. Отсутствие изменений при МРТ головного мозга на момент первых проявлений могло быть обусловлено малым диаметром очага (для DADA2 характерен васкулит мелких сосудов), который не попал в срез из-за большого шага срезов и малой мощности аппарата. Кроме того, множественные неактивные очаговые изменения, обнаруженные по данным МРТ головного мозга при госпитализации в 2023 г., могут свидетельствовать о бессимптомном поражении сосудов. Клинически заболевание дало о себе знать только при поражении перфорантных артерий, у которых отсутствуют коллатерали и, следовательно, обходные пути для получения питания, повреждение которых и привело к реализации яркой симптоматики поражения ствола мозжечка. Перфорантные артерии находятся в подкорковых ядрах и стволовых структурах, и лакунарные инфаркты этой локализации, согласно данным литературы, являются характерным признаком васкулита ЦНС в рамках синдрома DADA2 [2, 3, 10, 15, 24].
Также задержка в постановке диагноза могла быть ассоциирована с тем, что первоначально у пациента исключали самые частые причины ишемического ОНМК, такие как тромбофилия, антифосфолипидный синдром и даже инфекция с учетом лихорадки. Когда же у пациента, помимо лихорадочного синдрома и поражения ЦНС, появились признаки поражения ПНС, повышение артериального давления, был заподозрен васкулит, и пациент был направлен к ревматологу и иммунологу для дообследования уже во взрослом возрасте с направительным диагнозом узелкового полиартериита (УП).
Действительно, течение УП крайне сходно с симптомами DADA2. Описаны семейные случаи УП, где у пациентов позже была обнаружена мутация в гене ADA2 [11, 25]. Однако, несмотря на клиническую схожесть, УП и DADA2 являются разными заболеваниями. В исследовании 118 пациентов с УП только у 4,3 % была найдена биаллельная патогенная мутация в гене ADA2 [26]. Главными клиническими различиями являются более характерное для DADA2 поражение ЦНС и более ранняя манифестация заболевания [20].
С учетом того, что DADA2 является генетически обусловленным заболеванием, неоднократно выдвигались гипотезы о связи генотипа с фенотипическими проявлениями [20, 22]. Однако у пациентов даже с одной и той же гомозиготной мутацией возраст дебюта заболевания, частота и выраженность фенотипических проявлений могли различаться. К примеру, у пациентов с одной и той же мутацией отмечается в одном случае парциальная красноклеточная аплазия, а в другом — полная панцитопения, хотя, как замечено ранее, пациенты с гематологическими проявлениями синдрома DADA2, как правило, моложе, чем пациенты без них [12, 22, 27]. Возможно, данный феномен можно объяснить участием эпигенетических факторов в реализации фенотипической экспрессии мутации, в том числе наличием сопутствующей мутации, факторов окружающей среды. L. Trotta и соавт. описали начало воспалительного фенотипа и сосудистых проявлений после доказанной бактериальной инфекции [28].
Некоторые авторы отмечают значимость локализации и типа мутации. В работе S. Özen и соавт. показано, что мутации в домене димеризации (отвечает за поддержание оптимальной конформации ADA2 для выполнения ее функций максимально эффективно) ассоциированы c фенотипом, подобным УП, в то время как мутации в каталитическом домене (непосредственно отвечает за расщепление аденозина — главная функция фермента ADA2) ассоциированы с гематологической манифестацией первичного иммунодефицита [29]. Значимой разницы в активности фермента между данными группами не наблюдалось. Напротив, в исследовании P.Y. Lee и соавт. показано, что варианты, ассоциированные с васкулитом, были чаще представлены миссенс-мутациями и сопровождались остаточной активностью фермента АDА2 (более 3 %), в то время как недостаточность костномозгового кроветворения наблюдалась у пациентов с миссенс-мутациями и минимальной остаточной активностью фермента или с инсерциями/делециями и нонсенс-мутациями, приводящими к полной потере функции белка [22].
Таким образом, представления о взаимосвязи между генотипом, экспрессией фермента и фенотипом заболевания при DADA2 разнообразны, а порой и противоречивы, что диктует необходимость проведения анализа больших когорт. Несмотря на то что тест по измерению активности фермента ADA2 в плазме пациента является важным вспомогательным инструментом в диагностике DADA2, на сегодняшний день в России данное исследование возможно лишь в рамках научных программ и недоступно для рутинного применения клиницистами. Повышение его доступности могло бы улучшить диагностику и способствовать более раннему назначению патогенетической терапии, что особенно актуально для синдрома DADA2, где временной фактор имеет решающее значение.
Своевременно начатое лечение значительно улучшает прогноз заболевания пациента, особенно при доминировании в клинической картине васкулита, как в представленном нами случае [17]. Для DADA2-ассоциированного васкулита исследованы многочисленные базисные цитостатические препараты (азатиоприн, циклоспорин, такролимус, циклофосфамид и метотрексат), которые показали недостаточный эффект для контроля заболевания [2, 3]. Поскольку АDА2 находится в плазме крови, проводились попытки применения свежезамороженной плазмы в острой фазе заболевания, однако с учетом короткого периода полураспада они не привели к значимым улучшениям [30]. Блокаторы интерлейкина-1 также показали недостаточный эффект для контроля воспаления при DADA2 [2, 21]. Блокаторы интерлейкина-6 продемонстрировали лучший результат в отношении купирования воспаления, однако на фоне терапии сохранялись рецидивирующие инсульты, в связи с чем эти препараты не применяются для лечения синдрома DADA2 [27, 31].
Блокаторы ФНО-альфа или его рецепторов являются единственными эффективными препаратами с точки зрения профилактики инсультов и купирования признаков васкулита у пациентов с синдромом DADA2. Американская коллегия ревматологов в 2021 г. одобрила использование глюкокортикостероидов и антагонистов ФНО-альфа (этанерцепт, инфликсимаб или адалимумаб) для лечения васкулита, ассоциированного с DADA2 [32]. Этанерцепт и адалимумаб являются самыми изученными препаратами для лечения DADA2 [3, 15, 20, 27, 30]. Дефицит АDА2 ассоциирован с поляризацией макрофагов по направлению к подмножеству M1 и спонтанному формированию нейтрофильных внеклеточных ловушек, что, в свою очередь, приводит к последующей гиперпродукции провоспалительных цитокинов, в том числе ФНО-альфа, который является одним из ключевых цитокинов, обусловливающих воспалительный ответ и признаки васкулита у пациентов с синдромом DADA2 [5]. Таким образом, блокирование ФНО-альфа приводит к купированию признаков васкулита, однако эффективность антагонистов ФНО-альфа в отношении гематологических проявлений (цитопении) или проявлений со стороны иммунодефицита неясна, описаны как положительные результаты, так и неудачи, включая ассоциацию с развитием инфекционных осложнений [22, 33, 34]. Вероятно, это обусловлено тем, что анти-ФНО-альфа непосредственно не влияет на активность фермента, являясь, по сути, симптоматическим препаратом, и, несмотря на купирование признаков васкулита, в немногочисленных исследованиях показано, что активность фермента ADA2 при применении анти-ФНО-альфа не увеличивалась [29].
В недавних работах продемонстрирована избыточная экспрессия генов интерферона типа I у пациентов с DADA2, в связи с чем у данных больных, вероятно, будет эффективно применение ингибитора интерферона I типа анифролумаба или ингибиторов JAK [2, 11, 35, 36]. Данные факты уже находят подтверждение в клинической практике: в частности, А.Л. Козлова и соавт. продемонстрировали частичный эффект тофацитиниба в отношении гематологических проявлений DADA2, однако необходимы дальнейшие исследования и большее число наблюдений, чтобы определить их место в лечении DADA2 [37].
Для пациентов с ведущими гематологическими проявлениями в качестве радикального метода лечения может рассматриваться трансплантация гемопоэтических стволовых клеток, которая, согласно данным литературы, нивелирует симптомы заболевания, в том числе проявления васкулита. Одно из длительных наблюдений за пациентом проходило в течение 10 лет после трансплантации [12, 19, 31, 33, 38]. Кроме того, описано восстановление активности ADA2 у пациентов после трансплантации гемопоэтических стволовых клеток [27].
В представленном нами случае пациент имел характерные клинические проявления синдрома DADА2 с доминированием проявлений васкулита с поражением ЦНС и ПНС, лихорадочным синдромом, повышением значений острофазовых маркеров, в связи с чем инициирована терапия препаратом группы блокаторов ФНО-альфа адалимумабом с хорошим эффектом в виде купирования признаков васкулита. Однако на момент постановки диагноза у пациента уже сформировались необратимые изменения в виде полинейропатии, атаксии, в то время как раннее назначение блокаторов ФНО-альфа могло бы предотвратить их развитие. С учетом отсутствия клинико-лабораторных проявлений общей вариабельной иммунной недостаточности инициации заместительной терапии внутривенными Ig у пациента не проводилось.
Заключение
Несмотря на то что синдром DADA2 является заболеванием с преимущественно детской манифестацией, по данным разных авторов, до трети случаев заболеваний манифестируют после 15 лет, и с учетом разнообразия фенотипических проявлений DADA2 данная группа пациентов может попадать на прием к любому врачу: как к неврологу (как в представленном случае), так и к гематологу, гастроэнтерологу, терапевту, иммунологу, ревматологу.
В данном клиническом примере хорошо отражена важность своевременной диагностики данного заболевания и направления к профильному специалисту для инициации патогенетического лечения. Верно поставленный диагноз имеет ключевое значение для инициации патогенетической терапии, которой на сегодняшний день принята терапия анти-ФНО, что разительно отличается от стандартных протоколов лечения васкулитов. В связи с этим генетическая верификация, дающая возможность окончательной диагностики, имеет принципиальное значение.
ДОПОЛНИТЕЛЬНАЯ ИНФОРМАЦИЯ / ADDITIONAL INFORMATION
Источник финансирования. Авторы заявляют об отсутствии внешнего финансирования при проведении поисково-аналитической работы и подготовке рукописи.
Конфликт интересов. Авторы декларируют отсутствие явных и потенциальных конфликтов интересов, связанных с публикацией настоящей статьи.
Вклад авторов. Все авторы подтверждают соответствие своего авторства международным критериям ICMJE (все авторы внесли существенный вклад в разработку концепции, проведение исследования и подготовку статьи, прочли и одобрили финальную версию перед публикацией). Наибольший вклад распределен следующим образом: О.А. Головина, А.А. Роппельт — ведение пациента, сбор и анализ данных литературы, написание и редактирование текста статьи; У.А. Маркина, А.А. Шишиморов — ведение пациента; З.Ю. Мутовина, К.А. Щукин, А.В. Караулов, М.А. Лысенко, Д.С. Фомина — редактирование статьи.
Согласие пациента. Авторы получили письменное согласие пациента на публикацию медицинских данных в обезличенной форме в «Российском аллергологическом журнале».
Funding source. This publication was not supported by any external sources of funding.
Competing interests. The authors declare that they have no competing interests.
Authors’ contribution. All authors made a substantial contribution to the conception of the work, acquisition, analysis, interpretation of data for the work, drafting and revising the work, final approval of the version to be published and agree to be accountable for all aspects of the work. O.A. Golovina, A.A. Roppelt — patient’s treatment, literature analysis, writing and editing the article; U.A. Markina, A.A. Shishimorov — patient’s treatment; Z.Yu. Mutuvina, K.A. Shchukin, A.V. Karaulov, M.A. Lysenko, D.S. Fomina — editing the article.
Consent for publication. Written consent was obtained from the patient for publication of relevant medical information within the manuscript in Russian Journal of Allergy.
About the authors
Oksana A. Golovina
Clinical City Hospital No. 52
Email: ksan7ch@mail.ru
ORCID iD: 0000-0001-7247-545X
SPIN-code: 1538-3632
Россия, Moscow
Anna A. Roppelt
Clinical City Hospital No. 52
Author for correspondence.
Email: roppelt_anna@mail.ru
ORCID iD: 0000-0001-5132-1267
SPIN-code: 7249-4423
MD, Cand. Sci. (Medicine)
Россия, MoscowUlyana A. Markina
Clinical City Hospital No. 52
Email: itcher.md@bk.ru
ORCID iD: 0000-0002-6646-4233
SPIN-code: 6424-0012
Россия, Moscow
Zinaida Yu. Mutovina
Clinical City Hospital No. 52
Email: zmutovina@mail.ru
ORCID iD: 0000-0001-5809-6015
SPIN-code: 3943-7930
MD, Cand. Sci. (Medicine), Assistant Professor
Россия, MoscowAleksey A. Shishimorov
Clinical City Hospital No. 52
Email: gkb52@zdrav.mos.ru
ORCID iD: 0009-0004-5466-6948
SPIN-code: 6318-3532
Россия, Moscow
Konstantin A. Schukin
Clinical City Hospital No. 52
Email: k_schukin@mail.ru
ORCID iD: 0009-0000-3179-2088
SPIN-code: 7776-1024
Россия, Moscow
Alexander V. Karaulov
The First Sechenov Moscow State Medical University (Sechenov University); LIFT Center
Email: drkaraulov@mail.ru
ORCID iD: 0000-0002-1930-5424
SPIN-code: 4122-5565
MD, Dr. Sci. (Med.), Professor, academician of the Russian Academy of Sciences
Россия, Moscow; MoscowMariana A. Lysenko
Clinical City Hospital No. 52; The Russian National Research Medical University named after N.I. Pirogov
Email: gkb52@zdrav.mos.ru
ORCID iD: 0000-0001-6010-7975
SPIN-code: 3887-6250
MD, Dr. Sci. (Medicine), Professor
Россия, Moscow; MoscowDaria S. Fomina
Clinical City Hospital No. 52; The First Sechenov Moscow State Medical University (Sechenov University); Astana Medical University
Email: daria_fomina@mail.ru
ORCID iD: 0000-0002-5083-6637
SPIN-code: 3023-4538
MD, Cand. Sci. (Medicine), Assistant Professor
Россия, Moscow; Moscow; Astana, KazakhstanReferences
- Tangye SG, Al-Herz W, Bousfiha A, et al. Human inborn errors of immunity: 2022 update on the classification from the International Union of Immunological Societies Expert Committee. J Clin Immunol. 2022;42(7):1473–1507. doi: 10.1007/s10875-022-01289-3 EDN: TEUJVD
- Zhou Q, Yang D, Ombrello AK, et al. Early-onset stroke and vasculopathy associated with mutations in ADA2. N Engl J Med. 2014;370(10):911–920. doi: 10.1056/NEJMoa1307361
- Navon Elkan P, Pierce SB, Segel R, et al. Mutant adenosine deaminase 2 in a polyarteritis nodosa vasculopathy. N Engl J Med. 2014;370(10):921–931. doi: 10.1056/NEJMoa1307362 EDN: UTVDSN
- Zavialov AV, Gracia E, Glaichenhaus N, et al. Human adenosine deaminase 2 induces differentiation of monocytes into macrophages and stimulates proliferation of T helper cells and macrophages. J Leukoc Biol. 2010;88(2):279–290. doi: 10.1189/jlb.1109764 EDN: NACJQT
- Carmona-Rivera C, Khaznadar SS, Shwin KW, et al. Deficiency of adenosine deaminase 2 triggers adenosine-mediated NETosis and TNF production in patients with DADA2. Blood. 2019;134(4):395–406. doi: 10.1182/blood.2018892752 EDN: ISDPQE
- Iwaki-Egawa S, Yamamoto T, Watanabe Y. Human plasma adenosine deaminase 2 is secreted by activated monocytes. Biol Chem. 2006;387(3):319–321. doi: 10.1515/BC.2006.042 EDN: MKLMBX
- Kaljas Y, Liu C, Skaldin M, et al. Human adenosine deaminases ADA1 and ADA2 bind to different subsets of immune cells. Cell Mol Life Sci. 2017;74(3):555–570. doi: 10.1007/s00018-016-2357-0 EDN: YWCLBT
- Barron K, Aksentijevich I, Deuitch N, et al. The spectrum of the deficiency of adenosine deaminase 2: an observational analysis of a 60 patient cohort. Front Immunol. 2022;12:811473. doi: 10.3389/fimmu.2021.811473 EDN: UPEHIX
- Pinto B, Deo P, Sharma S, et al. Expanding spectrum of DADA2: a review of phenotypes, genetics, pathogenesis and treatment. Clin Rheumatol. 2021;40(10):3883–3896. doi: 10.1007/s10067-021-05711-w EDN: HEUHTV
- Celikel E, Aydin F, Tekin Z, et al. Deficiency of adenosine deaminase 2 as an unrecognized cause of early-onset stroke and cranial nerve palsy. North Clin Istanb. 2023;10(4):411–417. doi: 10.14744/nci.2022.45380 EDN: SBFHVK
- Uettwiller F, Sarrabay G, Rodero M, et al. ADA2 deficiency: case report of a new phenotype and novel mutation in two sisters. RMD Open. 2016;2(1):e000236. doi: 10.1136/rmdopen-2015-000236 EDN: XUEZZR
- Van Montfrans JM, Hartman EA, Braun KP, et al. Phenotypic variability in patients with ADA2 deficiency due to identical homozygous R169Q mutations. Rheumatology (Oxford). 2016;55(5):902–910. doi: 10.1093/rheumatology/kev439
- Batu E, Karadag O, Taskiran E, et al. A case series of adenosine deaminase 2-deficient patients emphasizing treatment and genotype-phenotype correlations. J Rheumatol. 2015;42(8):1532–1534. doi: 10.3899/jrheum.150024 EDN: VFIYID
- Westendorp W, Nederkoorn P, Aksentijevich I, et al. Unexplained early-onset lacunar stroke and inflammatory skin lesions: consider ADA2 deficiency. Neurology. 2015;84(20):2092–2093. doi: 10.1212/WNL.0000000000001581
- Caorsi R., Penco F., Grossi A., et al. ADA2 deficiency (DADA2) as an unrecognised cause of early onset polyarteritis nodosa and stroke: a multicentre national study. Ann Rheum Dis. 2017;76(10):1648–1656. doi: 10.1136/annrheumdis-2016-210802 EDN: YFMDZH
- Schepp J, Proietti M, Frede N, et al. Screening of 181 patients with antibody deficiency for deficiency of adenosine deaminase 2 sheds new light on the disease in adulthood. Arthritis Rheumatol. 2017;69(8):1689–1700. doi: 10.1002/art.40147
- Sahin S, Adrovic A, Barut K, et al. Clinical, imaging and genotypical features of three deceased and five surviving cases with ADA2 deficiency. Rheumatol Int. 2018;38(1):129–136. doi: 10.1007/s00296-017-3740-3 EDN: YDAGCD
- Elbracht M, Mull M, Wagner N, et al. Stroke as initial manifestation of adenosine deaminase 2 deficiency. Neuropediatrics. 2017;48(2):111–114. doi: 10.1055/s-0036-1597611
- Hsu A, West R, Calvo K, et al. Adenosine deaminase type 2 deficiency masquerading as GATA2 deficiency: successful hematopoietic stem cell transplantation. J Allergy Clin Immunol. 2016;138(2):628–630.e2. doi: 10.1016/j.jaci.2016.03.016
- Sharma A, Naidu G, Sharma V, et al. Deficiency of adenosine deaminase 2 in adults and children: experience from India. Arthritis Rheumatol. 2021;73(2):276–285. doi: 10.1002/art.41500 EDN: GJWQRX
- Garg N, Kasapcopur O, Foster J, et al. Novel adenosine deaminase 2 mutations in a child with a fatal vasculopathy. Eur J Pediatr. 2014;173(6):827–830. doi: 10.1007/s00431-014-2320-8 EDN: UQFXTY
- Lee PY, Kellner ES, Huang Y, et al. Genotype and functional correlates of disease phenotype in deficiency of adenosine deaminase 2 (DADA2). J Allergy Clin Immunol. 2020;145(6):1664–1672.e10. doi: 10.1016/j.jaci.2019.12.908 EDN: YJATNU
- Ghurye R, Sundaram K, Smith F, et al. Novel ADA2 mutation presenting with neutropenia, lymphopenia and bone marrow failure in patients with deficiency in adenosine deaminase 2 (DADA2). Br J Haematol. 2019;186(3):e60–e64. doi: 10.1111/bjh.15896
- Dzhus M, Ehlers L, Wouters M, et al. Narrative review of the neurological manifestations of human adenosine deaminase 2 deficiency. J Clin Immunol. 2023;43(8):1916–1926. doi: 10.1007/s10875-023-01555-y EDN: RTCGGV
- Caratsch L, Schnider C, Moi L, et al. Déficit en adénosine désaminase 2: une maladie aux présentations multiples. Rev Med Suisse. 2022;18(776):669–673. (In French.) doi: 10.53738/REVMED.2022.18.776.669 EDN: WUWHPJ
- Schnappauf O, Sampaio Moura N, Aksentijevich I, et al. Sequence-based screening of patients with idiopathic polyarteritis nodosa, granulomatosis with polyangiitis, and microscopic polyangiitis for deleterious genetic variants in ADA2. Arthritis Rheumatol. 2021;73(3):512–519. doi: 10.1002/art.41549 EDN: IQPZIK
- Nanthapisal S, Murphy C, Omoyinmi E, et al. Deficiency of adenosine deaminase type 2: a description of phenotype and genotype in fifteen cases. Arthritis Rheumatol. 2016;68(9):2314–2322. doi: 10.1002/art.39699 EDN: WTAJBX
- Trotta L, Martelius T, Siitonen T, et al. ADA2 deficiency: clonal lymphoproliferation in a subset of patients. J Allergy Clin Immunol. 2018;141(4):1534–1537.e8. doi: 10.1016/j.jaci.2018.01.012
- Özen S, Batu E, Taşkıran E, et al. A monogenic disease with a variety of phenotypes: deficiency of adenosine deaminase 2. J Rheumatol. 2020;47(1):117–125. doi: 10.3899/jrheum.181384 EDN: SRPRZO
- Ombrello A, Hoffmann P, Jones A, et al. The deficiency of adenosine deaminase type 2-results of therapeutic intervention. Pediatr Rheumatol. 2015;13(1):O40. doi: 10.1186/1546-0096-13-S1-O40 EDN: GEVUSS
- Van Eyck L, Hershfield M, Pombal D, et al. Hematopoietic stem cell transplantation rescues the immunologic phenotype and prevents vasculopathy in patients with adenosine deaminase 2 deficiency. J Allergy Clin Immunol. 2015;135(1):283–287.e5. doi: 10.1016/j.jaci.2014.10.010
- Chung SA, Gorelik M, Langford CA, et al. 2021 American College of Rheumatology/Vasculitis Foundation guideline for the management of polyarteritis nodosa. Arthritis Rheumatol. 2021;73(8):1384–1393. doi: 10.1002/art.41776 DN: XULLPZ
- Hashem H, Kumar A, Müller I, et al. Hematopoietic stem cell transplantation rescues the hematological, immunological, and vascular phenotype in DADA. Blood. 2017;130(24):2682–2688. doi: 10.1182/blood-2017-07-798660 EDN: YEKUAH
- Cipe F, Aydogmus C, Serwas N, et al. Novel mutation in CECR1 leads to deficiency of ADA2 with associated neutropenia. J Clin Immunol. 2018;38(3):273–277. doi: 10.1007/s10875-018-0487-x EDN: YFVYKD
- Belot A, Wassmer E, Twilt M, et al. Mutations in CECR1 associated with a neutrophil signature in peripheral blood. Pediatr Rheumatol Online J. 2014;12:44. doi: 10.1186/1546-0096-12-44 EDN: NWRLXW
- Skrabl-Baumgartner A, Plecko B, Schmidt W, et al. Autoimmune phenotype with type I interferon signature in two brothers with ADA2 deficiency carrying a novel CECR1 mutation. Pediatr Rheumatol Online J. 2017;15(1):67. doi: 10.1186/s12969-017-0193-x EDN: EBUREM
- Kozlova AL, Nesterenko ZA, Egorova KK, et al. The many faces of autoinflammation: adenosine deaminase 2 (DADA2) deficiency in a 12 year old. Pediatria n.a. G.N. Speransky. 2021;100(2):246–253. (In Russ.) doi: 10.24110/0031-403X-2021-100-2-246-253 EDN: BHOESG
- Hashem H, Egler R, Dalal J. Refractory pure red cell aplasia manifesting as deficiency of adenosine deaminase 2. J Pediatr Hematol Oncol. 2017;39(5):e293–e296. doi: 10.1097/MPH.0000000000000805
Supplementary files




