Study of the silver birchpollen allergoid
- Authors: Kulaga O.S.1, Avoyan G.E.1, Esaulova D.R.1, Andreev I.V.1, Nechay K.O.1, Andreev A.I.1, Kicheeva K.B.2, Baklakova O.S.3, Mislavsky O.V.1, Gegechkori V.I.2, Cherchenko N.G.1, Sankov M.N.1, Toptygin А.Y.1, Shvets S.M.1, Romanova T.S.1, Latysheva E.A.1, Martynov А.I.1, Khaitov M.R.1,4
-
Affiliations:
- National Research Center ― Institute of Immunology
- The First Sechenov Moscow State Medical University (Sechenov University)
- Academy of Postgraduate Education of the Federal Research and Clinical Center of Specialized Medical Care and Medical Technologies
- N.I. Pirogov Russian National Research Medical University
- Issue: Vol 19, No 3 (2022)
- Pages: 328-335
- Section: Original studies
- Submitted: 27.05.2022
- Accepted: 29.06.2022
- Published: 07.10.2022
- URL: https://rusalljournal.ru/raj/article/view/1549
- DOI: https://doi.org/10.36691/RJA1549
- ID: 1549
Cite item
Full Text
Abstract
BACKGROUND: Birch pollen is one of the main allergens in central Russia, Europe, North America, and several other regions. Allergens contained in birch pollen often cause immunoglobulin E cross-reactivity with homologous proteins both in other trees and in various foods. Allergen immunotherapy is currently the only allergy-treating method that directly affects various links in disease pathogenesis, thereby changing the body’s response to the action of the allergen. The clinical effectiveness of allergen immunotherapy reaches 80%–90% and is expressed by decreased clinical manifestations and the need for drugs. An allergoid, unlike an allergen, retains its immunogenicity, but significantly loses its allergenicity, which makes it safer for use with allergen immunotherapy.
AIM: To obtain an allergoid from the pollen of silver birch (Bétula péndula) by processing it with glutaraldehyde.
MATERIALS AND METHODS: The purified allergen isolated from pollen, by degreasing and water–salt extraction, was dissolved in phosphate-buffered saline at 7.5 pH and polymerized in 0.1% of glutaraldehyde solution. Stabilization was conducted with a sodium borohydride solution.
RESULTS: The allergoid significantly reduced its allergenicity compared to the original allergen after assessing the specific activity using a competitive enzyme-linked immunosorbent assay.
CONCLUSIONS: This study obtained an allergen of the silver birch. The resulting allergen contains major and minor antigens of silver birch (Bet v 1, Bet v 2, Bet v 3, Bet v 6, and Bet v 7). Based on these, an allergoid was obtained by polymerization with glutaraldehyde. The resulting allergoid has a large molecular weight and a low allergenic activity, in comparison with the original allergen. Thereby, this allergoid can become the basis for obtaining new allergen immunotherapy preparations.
Full Text
ОБОСНОВАНИЕ
Пыльца берёзы является одним из главных аллергенов в средней полосе России, Европе, Северной Америке и ряде других стран. Аллергены, содержащиеся в пыльце берёзы, часто вызывают перекрёстную IgE-реактивность с гомологичными белками пыльцы других деревьев и различных пищевых продуктов. Клинические проявления данной аллергии разнообразны: аллергический риноконъюнктивит, бронхиальная астма, атопический дерматит, пищевая аллергия. Оральный аллергический синдром на семечковые и косточковые плоды может значительно влиять на качество и образ жизни пациентов с аллергией на пыльцу берёзы [1, 2].
Аллергенспецифическая иммунотерапия (АСИТ) в настоящий момент является единственным методом лечения аллергии, который действует на разные звенья патогенеза заболевания, изменяя ответ организма на воздействие аллергена. Клиническая эффективность АСИТ может достигать 90%, выражаясь уменьшением клинических проявлений и потребности в лекарственных средствах [3].
Основным показанием для назначения АСИТ являются респираторные симптомы с подтверждённой IgE-зависимой природой, в то время как изолированный оральный аллергический синдром не является показанием к АСИТ. Однако примерно у 70% пациентов, имеющих перекрёстную пищевую аллергию и получивших АСИТ аллергенами пыльцы берёзы, симптоматика значительно снижается [1, 3].
Использование экстрактов аллергенов для подкожного введения при АСИТ сопровождается значительными рисками, связанными с IgE-опосредованными нежелательными реакциями. Аллергоид, в отличие от аллергена, сохраняет иммуногенность, но значительно теряет IgE-связывающую способность, что делает его более безопасным для использования при АСИТ [4].
Модифицировать аллерген возможно разными способами: полимеризовать, получить сорбированную форму; создать аллерген-IgG-содержащий комплекс; использовать плазмидную ДНК, кодирующую аллерген; применить IgE-связывающие аллергенные гаптены; произвести биотехнологическими приёмами отдельные молекулы аллергенов или их фрагментов. Разнообразие вышеперечисленных методов модификации аллергенов показывает большой интерес учёных-исследователей со всего мира к АСИТ как варианту лечения аллергических заболеваний.
Жёсткая и стабильная структура аллергоида, которая гораздо более устойчива к воздействию денатурирующих агентов, в отличие от первоначального аллергена продлевает индукцию синтеза антител аллергоидом. За счёт стабильности молекулы, при которой она медленнее разрушается в организме, появляется пролонгированное действие, что, несомненно, является важным достоинством, так как позволяет сделать режим введения более удобным для пациента. Уменьшение общего числа активных антигенных детерминант при взаимодействии с альдегидными группами и сокрытие внутри высокомолекулярного соединения делает их недоступными для IgE-антител и в итоге приводит к снижению аллергенности в полимеризованных аллергенах. Именно это снижение аллергенности делает использование аллергоида безопасным, минимизируя риск развития анафилаксии. Увеличение молекулярной массы и получение жёстких межмолекулярных связей оказывает положительное влияние на иммуногенность [5–7].
Цели исследования ― после получения очищенного аллергена из пыльцы берёзы бородавчатой (лат. Bétula péndula) изготовить аллергоид методом глутарирования. Провести оценку свойств полученного аллергоида.
МАТЕРИАЛЫ И МЕТОДЫ
Объект исследования: пыльца берёзы бородавчатой, собранная в 2020 году в период цветения. Остаточная влажность после высушивания 3±0,5%. Пыльцу характеризовали по морфологическим признакам (диаметр пыльцевого зерна, структура экзимы, форма пыльцевого зерна). Допускалось не более 10% примесей других видов пыльцы (определялось микроскопическим способом). Содержание тяжёлых металлов в сульфатной золе из 1 г пыльцы (точная навеска) не более 0,001%. Заражённость растительной пыльцы амбарными вредителями не превышала I степени чистоты (что отвечает требованиям). Все показатели отвечали требованиям Государственной фармакопеи Российской Федерации XIV издания.
После обезжиривания пыльцы диэтиловым эфиром раствор фильтровали и высушивали с помощью складчатого фильтра. Далее проводили водно-солевую экстракцию раствором бикарбоната аммония. Полученный экстракт центрифугировали, собирали надосадочную жидкость и последовательно пропускали через фильтры с различным диаметром пор. Затем проводили диализ надосадочной жидкости против апирогенной воды. Диализат повторно центрифугировали и выполняли стерилизующую фильтрацию. Полученные аллергены лиофильно высушивали и использовали в дальнейших исследованиях [8]. Очищенный аллерген растворяли в фосфатно-буферном физиологическом растворе (phosphate-buffered saline, PBS) рН 7,5 и проводили полимеризацию в 0,1% растворе глутарового альдегида. Реакционную смесь инкубировали сутки при температуре 8–10°С, периодически перемешивая. Полученный раствор аллергоида по окончании срока инкубации стабилизировали раствором боргидрида натрия в течение 2 ч при комнатной температуре, затем диализовали против апирогенной воды на холоде в течение 24 ч. Диализат центрифугировали и проводили стерилизующую фильтрацию. Полученный аллергоид лиофильно высушивали и использовали в дальнейших исследованиях.
Хроматографический анализ аллергенов берёзы бородавчатой выполняли с помощью хроматографической системы среднего давления FPLC Pharmacia Biotech (Швеция). Использовали колонку Superdex 200HR 10×30, предварительно откалиброванную по белкам с известной молекулярной массой (IgG 150 кДа, бычий сывороточный альбумин 66 кДа, пероксидаза хрена 44 кДа). Скорость потока 0,5 мл/мин; детектирование при 280 нм, объём образца 0,2 мл.
По методу Лэмли в полиакриламидном геле был проведён электрофорез [9]. По методу Лоури (метод А) определили белок [10].
С помощью конкурентного иммуноферментного анализа (ИФА) определяли специфические IgE-антитела человека. Постановка проводилась с использованием набора реагентов «АллергоИФА-специфические IgE» компании «АлкорБио» (Россия), необходимого для количественного определения в сыворотке крови человека специфических IgE. В данном наборе сорбция моноклональных антител против IgE человека была проведена на твёрдой фазе (планшет для ИФА).
В авторской модификации (внесение исследуемого аллергена в конкуренции с биотинилированным аллергеном) провели конкурентный анализ. В каждую лунку планшета было внесено по 50 мкл пулированной сыворотки лиц с высокой сенсибилизацией к исследуемому аллергену. Далее вносили 50 мкл исследуемого препарата в заданных количествах (5,000; 2,500; 1,250; 0,625; 0,31 и 0,155 мкг/лунка) и 50 мкл коммерческого биотинилированного аллергена берёзы. Исследуемый препарат ― испытуемый аллерген, разведённый на фосфатном солевом буфере (Sigma, США). В контрольную лунку были внесены только 50 мкл биотинилированного аллергена и 50 мкл фосфатного солевого буфера (Sigma).
После выдерживания на шейкере в течение 1 ч при температуре 37±3°С пятикратно промывали раствором для промывания. Далее вносили в каждую лунку по 150 мкл конъюгата (стрептавидин-пероксидаза хрена, Имтек, Россия). Снова выдерживали на шейкере в течение 1 ч при температуре 37±3°С и пятикратно промывали раствором для промывания. В конце вносили в каждую лунку по 100 мкл готового раствора ТМБ (тетраметилбензидин и субстратный буфер, 1:10) и выдерживали на шейкере 15 мин при температуре 37±3°С. Реакцию останавливали стоп-реагентом (серной кислотой). Результат продуктов ферментативной реакции определяли через оптическую плотность с помощью многоканального спектрофотометра Multiscan (Thermo Fisher Scientific Oy, Финляндия) при длине волны 450 нм.
РЕЗУЛЬТАТЫ
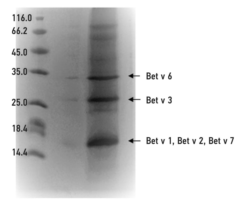
С помощью электрофореза в диссоциирующих условиях в 15% полиакриламидном геле был получен белковый профиль пыльцы (рис. 1). В первом столбце показан контроль с известной молекулярной массой, во втором ― антигены берёзы (Bet v 1, Bet v 2, Bet v 3, Bet v 6, Bet v 7).
Рис. 1. Исследование аллергена, выделенного из пыльцы берёзы бородавчатой, с помощью электрофореза в диссоциирующих условиях.
По результатам иммуноблоттинга мы видим две выраженные полосы, соответствующие Bet v 6 (~35 кДа), и группу Bet v 1 / Bet v 2 / Bet v 7 (~17 кДа); рис. 2.
Рис. 2. Результаты исследования методом иммуноблоттинга.
Результаты исследования аллергена и аллергоида методом гель-хроматографии, представленные на рис. 3, демонстрируют, что в результате полимеризации произошло значительное увеличение молекулярной массы аллергоида в сравнении с исходным аллергеном.
Рис. 3. Результаты исследования аллергена (а) и аллергоида (b) берёзы бородавчатой методом гель-хроматографии.
В таблице приведены значения оптической плотности колориметрической реакции при 450 нм (ОП450) в конкурентном ИФА (в числителе) и процент ингибирования (в знаменателе). Использование данного метода даёт возможность оценить способность препаратов аллергена и аллергоида связываться с IgE, что позволяет выявить различия в специфической активности образцов. Согласно результатам оценки специфической активности в конкурентном ИФА, 55,19% ингибиции аллергоида берёзы (АДБ) мы достигли даже при концентрации 5 мкг/лунке, а 55,7% ингибиции аллергена берёзы (АНБ) ― только при 0,155 мкг/лунке, т.е. продемонстрировано значительное (примерно в 32 раза) снижение IgE-связывающей способности АДБ.
Таблица. Анализ конкурентного связывания АНБ, АДБ (по изменениям параметров оптической плотности) в зависимости от концентрации при конкуренции с биотинилированным аллергеном к пыльце берёзы
Table. Analysis of the competitive binding of ANB, ADB (by changes in optical density parameters), depending on the concentration, in competition with a biotinylated allergen to birch pollen
Исследуемый препарат | ОП450/ Ингибирование, % | ||||||
Количество препарата, мкг/лунка | |||||||
0 | 0,155 | 0,31 | 0,625 | 1,25 | 2,5 | 5 | |
Аллерген | 1,386 | 0,614/55,7 | 0,387/72,08 | 0,169/87,81 | 0,121/91,27 | 0,091/93,43 | 0,069/95,02 |
Аллергоид | 1,386 | 1,225/11,62 | 1,180/14,86 | 1,055/23,88 | 0,921/33,55 | 0,795/42,64 | 0,765/55,19 |
Примечание. АНБ ― аллерген берёзы; АДБ ― аллергоид берёзы.
Note: ANB — allergen of birch; ADB — allergoid of birch.
ОБСУЖДЕНИЕ
С помощью экстракции из образцов пыльцы берёзы был получен препарат аллергена, который послужил основой для создания аллергоида. Белковый профиль пыльцы демонстрирует наличие мажорных и минорных антигенов берёзы бородавчатой, связанных с развитием аллергий. При этом антигены Bet v 1, Bet v 2 и Bet v 7 слабо разрешаются электрофорезом и визуализируются как одна широкая полоса.
Немаловажно было продемонстрировать снижение IgE-связывающей способности аллергоида по сравнению с аллергеном пыльцы берёзы, что и было сделано в конкурентном ИФА с использованием пулированной специфической IgE-содержащей сыворотки крови пациентов, сенсибилизированных к исследуемому аллергену. Аллергоид, изготовленный методом глутарирования из очищенного аллергена пыльцы берёзы бородавчатой, продемонстрировал в конкурентном ИФА снижение IgE-связывающей способности. Благодаря этому мы можем сделать вывод, что использование данного аллергоида значительно снижает возможные анафилактические реакции.
Увеличение молекулярной массы аллергоида сыграло ключевую роль в снижении IgE-связывающей способности препарата, а точнее, в уменьшении общего числа активных антигенных детерминант при сокрытии внутри высокомолекулярного соединения и взаимодействии с альдегидными группами, сделав их недоступными для IgE-антител.
Полученный аллергоид из пыльцы берёзы бородавчатой показал хорошие результаты; для подтверждения перспективы его использования в иммунотерапии необходимы доклинические исследования иммуногенности препарата в экспериментальных моделях на грызунах.
Перспектива применения глутаральдегида для полимеризации аллергенов была неоднократно продемонстрирована многими российскими и зарубежными исследованиями, которые показали сохранность или усиление иммунного ответа на введение аллергоидов [2, 4, 11].
ЗАКЛЮЧЕНИЕ
АСИТ является основным методом лечения IgE-опосредованных аллергических заболеваний. Терапия инъекционными формами аллергенов, содержащими экстракты, сопряжена с риском развития анафилактических реакций, что существенно ограничивает популяцию пациентов, которым данный метод лечения может быть применён. Появление препаратов для сублингвальной иммунотерапии отчасти решило эту проблему, так как риск развития анафилаксии при данном пути введения аллергена минимален. Однако сублингвальная иммунотерапия предполагает ежедневный приём аллергена в течение длительного времени (для пыльцевых аллергенов период лечения составляет 4–6 мес в течение 3–5 лет), что снижает приверженность к терапии. Кроме того, заболевания ротовой полости (парадонтоз, рецидивирующий стоматит, период активной смены зубов и др.) или планируемые стоматологические манипуляции приводят к тому, что часть пациентов отказывается от данного вида лечения.
Снижение аллергенности препаратов для АСИТ является актуальной задачей в настоящий момент. Аллергоид может стать прекрасной альтернативой в связи с удобной схемой использования при высоком профиле безопасности. Аллергоиды, сохранившие иммуногенность, но потерявшие аллергенность, имеющие удобный режим введения с минимальным вмешательством в социальную активность пациентов, позволяют значительно увеличить количество пациентов, получающих АСИТ.
Полученный аллерген содержит мажорные и минорные антигены берёзы бородавчатой (Bet v 1, Bet v 2, Bet v 3, Bet v 6, Bet v 7). На его основе получен аллергоид путём полимеризации глутаровым альдегидом. Полученный аллергоид имеет большую молекулярную массу, а также низкую IgE-связывающую способность в сравнении с исходным аллергеном. В настоящий момент проводится дальнейшее изучение свойств полученного аллергоида из пыльцы берёзы, в частности иммуногенности, что будет отражено в следующей работе в ходе дальнейших исследований.
ДОПОЛНИТЕЛЬНАЯ ИНФОРМАЦИЯ
Источник финансирования. Исследование проводили в рамках госзадания ФМБА по теме «Разработка технологий, создание и испытание противоаллергических лекарственных препаратов» (шифр: «Аллергобиотехнологии-16»).
Конфликт интересов. Авторы декларируют отсутствие явных и потенциальных конфликтов интересов, связанных с публикацией настоящей статьи.
Вклад авторов. Все авторы подтверждают соответствие своего авторства международным критериям ICMJE (все авторы внесли существенный вклад в разработку концепции, проведение исследования и подготовку статьи, прочли и одобрили финальную версию перед публикацией). Вклад распределён следующим образом: О.С. Кулага — получение аллергоида берёзы бородавчатой, проведение конкурентного иммуноферментного анализа; Г.Э. Авоян — получение аллергоида берёзы бородавчатой, проведение конкурентного иммуноферментного анализа; Д.Р. Есаулова — анализ литературных источников, написание и редактирование текста статьи; получение аллергоида берёзы бородавчатой; И.В. Андреев — дизайн исследования, проведение иммуноблоттинга, получение аллергоида берёзы бородавчатой; К.О. Нечай — написание и редактирование текста статьи, получение аллергоида берёзы бородавчатой; А.И. Андреев — проведение электрофореза в полиакриаламидном геле, проведение иммуноблоттинга, получение аллергена берёзы бородавчатой; К.Б. Кичеева — сбор пыльцы берёзы бородавчатой, получение аллергена берёзы бородавчатой; О.С. Баклакова — сбор клинического материала; О.В. Миславский — проведение конкурентного иммуноферментного анализа; В.И. Гегечкори — организация сбора пыльцы берёзы бородавчатой; Н.Г. Черченко — проведение хроматографического анализа; М.Н. Санков — сбор литературных данных; А.Ю. Топтыгин — проведение хроматографического анализа; С.М. Швец, Т.С. Романова — сбор и анализ клинического материала; Е.А. Латышева — дизайн исследования, сбор и анализ клинического материала; А.И. Мартынов — концепция и дизайн исследования; М.Р. Хаитов — концепция, организация и дизайн исследования.
ADDITIONAL INFORMATION
Funding source. The study was conducted within the framework of the FMBA state task on the topic “Development of technologies, creation and testing of anti-allergic drugs” (code: “Allergobiotechnologies-16”).
Competing interests. The authors declare that they have no competing interests.
Authors’ contribution. All authors made a substantial contribution to the conception of the work, acquisition, analysis, interpretation of data for the work, drafting and revising the work, final approval of the version to be published and agree to be accountable for all aspects of the work. The contribution is distributed as follows: O.S. Kulaga — conducting competitive enzyme-linked immunosorbent assay, obtaining the allergoid of the silver birch; G.E. Avoyan — conducting competitive enzyme-linked immunosorbent assay, obtaining the allergoid of the silver birch; D.R. Esaulova — analysis of literary sources, writing and editing the text of the article, obtaining the allergoid of the silver birch; I.V. Andreev — design of the study; conducting immunoblotting, obtaining the allergoid of the silver birch; K.O. Nechay — writing and editing the text of the article, obtaining the allergoid of the silver birch; A.I. Andreev — conducting polyacrylamide gel electrophoresis, conducting immunoblotting, obtaining the allergen of the silver birch; K.B. Kicheeva — collecting the pollen of silver birch, obtaining the allergen of the silver birch; O.S. Baklakova — collection of clinical material; O.V. Mislavsky — conducting competitive enzyme-linked immunosorbent assay; V.I. Gegechkori — organization of the collection the pollen of silver birch; N.G. Cherchenko — conducting chromatography; M.N. Sankov — collection of literary sourses; А.Yu. Toptygin — conducting chromatography; S.M. Shvets, T.S. Romanova — collection and analysis of clinical material; E.A. Latysheva — design of the study; collection and analysis of clinical material; А.I. Martynov — concept and design of the study; M.R. Khaitov — concept, organization and design of the study.
About the authors
Olga S. Kulaga
National Research Center ― Institute of Immunology
Email: olga.surova.94@mail.ru
ORCID iD: 0000-0003-1675-3691
SPIN-code: 4736-2614
Россия, Moscow
Gayane E. Avoyan
National Research Center ― Institute of Immunology
Email: avoyan.gayane@gmail.com
ORCID iD: 0000-0003-4428-0801
SPIN-code: 7196-4339
Россия, Moscow
Daria R. Esaulova
National Research Center ― Institute of Immunology
Email: esaulova.d.r@gmail.com
ORCID iD: 0000-0003-0283-5637
SPIN-code: 4399-8631
MD
Россия, MoscowIgor V. Andreev
National Research Center ― Institute of Immunology
Author for correspondence.
Email: iva66@list.ru
ORCID iD: 0000-0001-6162-6726
SPIN-code: 8072-9669
MD, Cand. Sci. (Med.)
Россия, MoscowKsenia O. Nechay
National Research Center ― Institute of Immunology
Email: xenya.ne4ay2016@yandex.ru
ORCID iD: 0000-0001-6052-9721
SPIN-code: 7206-6660
Россия, Moscow
Alexandr I. Andreev
National Research Center ― Institute of Immunology
Email: cahek_ahdreeb@mail.ru
ORCID iD: 0000-0002-6257-6289
SPIN-code: 7126-4748
Россия, Moscow
Karina B. Kicheeva
The First Sechenov Moscow State Medical University (Sechenov University)
Email: kicheeva2001@yandex.ru
ORCID iD: 0000-0003-3328-1403
Россия, Moscow
Olga S. Baklakova
Academy of Postgraduate Education of the Federal Research and Clinical Center of Specialized Medical Care and Medical Technologies
Email: olbakserg@gmail.com
ORCID iD: 0000-0002-0066-3096
SPIN-code: 8424-2189
MD
Россия, MoscowOleg V. Mislavsky
National Research Center ― Institute of Immunology
Email: mislavsky.oleg@yandex.ru
ORCID iD: 0000-0002-9996-5050
SPIN-code: 6862-2135
Cand. Sci. (Pharm)
Россия, MoscowVladimir I. Gegechkori
The First Sechenov Moscow State Medical University (Sechenov University)
Email: gegechkori_v_i@staff.sechenov.ru
ORCID iD: 0000-0001-8437-1148
SPIN-code: 8964-0804
Cand. Sci. (Pharm), Assistant Professor
Россия, MoscowNikolay G. Cherchenko
National Research Center ― Institute of Immunology
Email: cherchenk-o@mail.ru
ORCID iD: 0000-0001-5714-0045
SPIN-code: 4437-9547
Cand. Sci. (Biol.)
Россия, MoscowMikhail N. Sankov
National Research Center ― Institute of Immunology
Email: sankov_m54@mail.ru
ORCID iD: 0000-0003-4969-1626
SPIN-code: 4258-1796
Cand. Sci. (Biol.)
Россия, MoscowАndrey Yu. Toptygin
National Research Center ― Institute of Immunology
Email: atop2007@yandex.ru
ORCID iD: 0000-0003-4232-0670
SPIN-code: 5282-9472
MD, Cand. Sci. (Med.)
Россия, MoscowSvetlana M. Shvets
National Research Center ― Institute of Immunology
Email: smshvets@gmail.com
ORCID iD: 0000-0001-9642-4016
SPIN-code: 9954-8252
MD, Cand. Sci. (Med.)
Россия, MoscowTatiana S. Romanova
National Research Center ― Institute of Immunology
Email: ts_romanova@mail.ru
ORCID iD: 0000-0003-3350-3811
SPIN-code: 8027-8625
MD, Cand. Sci. (Med.)
Россия, MoscowElena A. Latysheva
National Research Center ― Institute of Immunology
Email: ea.latysheva@nrcii.ru
ORCID iD: 0000-0002-1606-205X
SPIN-code: 2063-7973
MD, Dr. Sci. (Med.)
Россия, MoscowАlexander I. Martynov
National Research Center ― Institute of Immunology
Email: immune48@mail.ru
ORCID iD: 0000-0001-9761-8058
SPIN-code: 5829-5580
MD, Cand. Sci. (Med.)
Россия, MoscowMusa R. Khaitov
National Research Center ― Institute of Immunology; N.I. Pirogov Russian National Research Medical University
Email: mr.khaitov@nrcii.ru
ORCID iD: 0000-0003-4961-9640
SPIN-code: 3199-9803
MD, Dr. Sci. (Med.), Professor, Corresponding Member of the Russian Academy of Sciences
Россия, Moscow; MoscowReferences
- Biedermann T, Winther L, Till SJ, et al. Birch pollen allergy in Europe. Allergy. 2019;74(7):1237–1248. doi: 10.1111/all.13758
- Geroldinger-Simic M, Zelniker T, Aberer W, et al. Birch pollen-related food allergy: clinical aspects and the role of allergen-specific IgE and IgG4 antibodies. J Allergy Clin Immunol. 2011;127(3):616–622. doi: 10.1016/j.jaci.2010.10.027
- Kleine-Tebbe J, Zuberbier T, Werfel T, et al. Is allergy immunotherapy with birch sufficient to treat patients allergic to pollen of tree species of the birch homologous group? Allergy. 2020;75(6):1327–1336. doi: 10.1111/all.14130
- Heldner A, Alessandrini F, Russkamp D, et al. Immunological effects of adjuvanted low-dose allergoid allergen-specific immunotherapy in experimental murine house dust mite allergy. Allergy. 2022;77(3):907–919. doi: 10.1111/all.15012
- Bellanti JA, Settipane RA. Sublingual immunotherapy: a procedure whose time has come? Allergy Asthma Proc. 2007;28(1):1–2. doi: 10.2500/108854107779885318
- Kurbacheva OM, Pavlova KS, Galitzkaya MA. Allergen-specific immunotherapy. Analytic review of current international and Russian federal position papers. Russ J Allergy. 2017;14(1):24–32. (In Russ). doi: 10.36691/RJA333
- Moingeon P, Hrabina M, Bergmann KC, et al. Specific immunotherapy for common grass pollen allergies: pertinence of a five grass pollen vaccine. Int Archives Allergy Immunol. 2008;146(4):338–342. doi: 10.1159/000121468
- Nikolaeva IA, Kulaga OS, Avoyan GE, et al. Studies of birch wart allergens obtained from pollen collected from 2008 to 2015 years. Immunol. 2019;40(6):50–56. (In Russ). doi: 10.24411/0206-4952-2019-16007
- Osterman LA. Methods of protein and nucleic acid research: electrophoresis and ultracentrifugation (practical guide). Moscow: Nayka; 1981. 288 р. (In Russ).
- Determination of protein. General pharmacopoeia article. OFS.1.2.3.0012.15. State Pharmacopeia of the Russian Federation. XIV edition. Moscow; 2018. (In Russ). Available from: https://docs.cntd.ru/document/554031266. Accessed: 15.04.2021.
- Migneault I, Dartiguenave C, Bertrand MJ, Waldron KC. Glutaraldehyde: behavior in aqueous solution, reaction with proteins, and application to enzyme crosslinking. Biotechniques. 2004;37(5):790–802. doi: 10.2144/04375RV01
Supplementary files





