Chronic spontaneous urticaria or urticarial vasculitis?
- Authors: Dorofeeva I.V.1, Danilycheva I.V.1, Shuljenko A.E.1
 - 
							Affiliations: 
							
- National Research Center ― Institute of Immunology Federal Medical-Biological Agency of Russia
 
 - Issue: Vol 18, No 4 (2021)
 - Pages: 149-155
 - Section: Case reports
 - Submitted: 06.11.2021
 - Accepted: 03.12.2021
 - Published: 14.12.2021
 - URL: https://rusalljournal.ru/raj/article/view/1494
 - DOI: https://doi.org/10.36691/RJA1494
 - ID: 1494
 
Cite item
Full Text
Abstract
Chronic spontaneous urticaria is the spontaneous appearance of blisters, angioedema, or both for >6 weeks that affects up to 0.5%–5% of the population, mainly females. Spontaneous wheals and/or angioedema, severe skin itching that leads to depression and anxiety, sleep disturbances, sexual dysfunction, and activity of daily life and work restrictions. Other diseases sometimes occur under the guise of chronic spontaneous urticaria.
Urticarial vasculitis is a vasculitis of the small skin vessels, characterized by the duration of persistent skin rashes in combination with histopathological features of leukocytoclastic vasculitis. Differential diagnosis of chronic spontaneous urticaria and urticarial vasculitis is conducted in the case of an atypical clinical picture of urticaria. Wheals lasted for >24 h, often accompanied by burning and pain, and leaving behind purpura or residual hyperpigmentation.
Herein, described a case of urticarial vasculitis in a patient that required a differential diagnosis of chronic spontaneous urticaria and urticarial vasculitis several years after the disease onset. Successful treatment was conducted with a combination of antihistamines, glucocorticosteroids, hydroxychloroquine, and omalizumab.
Full Text
Введение
Хроническая спонтанная крапивница (ХСК) ― самопроизвольное появление волдырей и/или ангионевротического отёка в период от 6 и более недель ― до сих пор остаётся актуальной проблемой для врача и пациента [1].
ХСК поражает до 0,5–5% населения, преимущественно женщин [2]. Средняя продолжительность ХСК бывает разной [3], во взрослой популяции оценивается в 11,5±10,8 года [4–14].
Спонтанное появление волдырей и/или ангиоотёков, сильный кожный зуд приводят к депрессии и тревоге, нарушению сна, сексуальной дисфункции, ограничению в повседневной жизни и работе. Пациенты с ХСК живут в постоянном ожидании появления волдырей и ангионевротического отёка, в страхе удушья, многие теряют ощущение контроля над своей жизнью [14]. Таким образом, ХСК и другие формы хронической крапивницы существенно снижают качество жизни и могут быть отнесены к группе тяжёлых аллергических заболеваний [1].
Под маской хронической спонтанной крапивницы иногда протекают другие заболевания, одним из которых является уртикарный васкулит (УВ). В реальной практике не всегда легко отличить одно заболевание от другого, особенно если речь идёт о нормокомплементемическом УВ.
УВ ― васкулит мелких сосудов кожи, который характеризуется длительно сохраняющимися уртикарными высыпаниями на коже в сочетании с гистопатологическими признаками лейкоцитокластического васкулита [15–17]. Распространённость УВ в мире неизвестна. По данным разных источников, у 2–27% пациентов, которые изначально расценивались как пациенты с крапивницей, в дальнейшем был диагностирован УВ [17–21]. УВ чаще встречается у женщин; пик заболеваемости приходится на период с 30 до 40 лет [22].
Патофизиология УВ полностью не изучена. Основной патогенетический механизм ― иммунокомплексный с поражением эндотелиальных клеток сосудов.
УВ поражает преимущественно посткапиллярные венулы в поверхностных слоях кожи. Повреждение эндотелия сосудов опосредуется циркулирующими иммунными комплексами, в том числе антигенами экзогенной и эндогенной природы, активирующими систему комплемента по классическому пути [23–26]. У большинства пациентов источник антигенов, как правило, никогда не обнаруживается [27–29]. УВ может быть вторичным проявлением основного заболевания (онкологического, заболевания соединительной ткани, парапротеинемии, гемобластозов, инфекционных болезней и т.д.). УВ подразделяется на нормокомплементемический, гипокомплементемический и редкий гипокомплементемический синдром (также известный как синдром МакДаффи).
Для нормокомплементемической формы заболевания, которой страдают около 80% всех пациентов с УВ [30–32], характерно, как правило, лёгкое течение и отсутствие внекожного поражения. Две другие формы УВ ассоциируются с поражением кожи, системными проявлениями, длительным течением, вовлечением других органов и систем, а также гипокомплементемией (низкий уровень C1q, C3, C4 компонентов комплемента, наличие анти-C1q антител). Диагноз гипокомплементемического синдрома УВ (синдром МакДаффи) выставляется на основании основных (гипокомплементемия с низким уровнем C1q, C3, C4 компонентов комплемента; крапивница продолжительностью более чем 6 мес) и второстепенных (наличие анти-C1q; кожный васкулит, определяемый с помощью биопсии; артралгия или артрит; увеит или эписклерит; гломерулонефрит; повторяющиеся боли в животе) критериев [16, 33].
Дифференциальная диагностика УВ и ХСК у пациента проводится в случае атипичной клинической картины крапивницы. Исключать УВ необходимо, если кроме уртикарных элементов наблюдаются пурпура, геморрагические везикулы, язвы, узелки, ливедо, инфаркт или гангрена пальцев, буллы. Если у пациента уртикарные элементы сохраняются дольше 24 ч, сопровождаются жжением и болью, оставляют после себя пурпуру или резидуальную гиперпигментацию, а также пятна с гемосидериновым окрашиванием, необходимо провести дифференциальную диагностику ХСК с УВ. Внекожные проявления УВ могут быть представлены лихорадкой, недомоганием, миалгией, лимфаденопатией, гепатоспленомиалгией, артралгией, артритом, гломерулонефритом, плевритом, конъюнктивитом, нейропатией [16, 34–37].
Золотым стандартом диагностики УВ считается биопсия кожи. Для УВ обязательно наличие характерных гистопатологических изменений в биоптатах кожи из области высыпаний (лейкоклазия и экстравазация эритроцитов) [1, 22, 27–29].
Если УВ является следствием основного заболевания, то лечение необходимо начинать с заболевания, которое послужило причиной УВ.
К настоящему времени нет клинических рекомендаций или алгоритмов лечения УВ. Используются различные стратегии лечения, преимущественно антигистаминные препараты и кортикостероиды. Применяются также иммунодепрессанты, циклофосфамид, дапсон, микофенолата мофетил, колхицин, гидроксихлорохин, внутривенный иммуноглобулин, нестероидные противовоспалительные препараты, циклоспорин, плазмаферез и иммунобиологические препараты (в том числе омализумаб) [16, 34, 38–42].
Приводим случай уртикарного васкулита у пациентки, длительное время наблюдавшейся с диагнозом ХСК.
Описание клинического случая
Пациентка К., 45 лет, поступила в отделение аллергологии и иммунотерапии ФГБУ «ГНЦ Институт иммунологии» ФМБА 11 ноября 2019 г. с жалобами на волдырные высыпания на коже, отёки губ, век; зуд и жжение кожи; покраснение и жжение кожи под воздействием инсоляции.
Из анамнеза жизни: хронический аутоиммунный тиреоидит с 1999 г., ежедневно принимает Левотироксин натрия (Эутирокс) по 100 мкг/сут; наблюдается у эндокринолога по месту жительства; тиреотропный гормон от 2018 года в пределах референсных значений. Хирургические вмешательства: холецистэктомия в феврале 2004 г.
Из анамнеза заболевания: первый эпизод крапивницы с ангиоотёками спонтанно возник в 2003 г. и длился 2 года. Выставлен диагноз ХСК, по поводу которого неоднократно проводилось стационарное лечение; получала антигистаминные препараты (Н1-АГП) первого и второго поколения, короткие курсы глюкокортикостероидов (ГКС), гидрокси-хлорохин. С 2005 г. сохранялась ремиссия заболевания. С 10 августа 2018 г. вновь отмечен рецидив крапивницы и ангиоотёков. Триггеров крапивницы по-прежнему нет. Элементы сохранялись менее 24 ч, исчезали бесследно. Приём Н1-АГП второго поколения (стандартные и увеличенные дозы) без эффекта, дексаметазон внутримышечно 1–2 раза/нед. с кратковременным эффектом. Индекс активности крапивницы за 7 дней (UAS7) 42 балла.
В конце сентября 2018 г. поступила на стационарное лечение в связи с неконтролируемым обострением крапивницы. Результаты обследования:
- общий анализ мочи, IgG, IgM, IgA, биохимический анализ крови ― все показатели в пределах референсных значений;
 - лейкоциты 11,6×109/л (норма 4,1–11,2×109/л);
 - скорость оседания эритроцитов (СОЭ) по Вестергрену 22 мм/ч (норма 2–20 мм/ч), остальные показатели общего анализа крови в пределах референсных значений;
 - антитела к гельминтам не обнаружены;
 - IgE общий <5 МЕ/мл;
 - С-реактивный белок 20 мг/л (норма 0–5 мг/л).
 
Консультация ЛОР-врача: искривление перегородки носа, вазомоторный ринит, хронический тонзиллит вне обострения.
Клинический диагноз: Хроническая спонтанная крапивница и ангиоотёки, обострение.
Сопутствующий диагноз: Хронический аутоиммунный тиреоидит, первичный гипотиреоз в стадии медикаментозной компенсации. Состояние после холецистэктомии (от 2004 г.). Искривление перегородки носа. Вазомоторный ринит. Хронический тонзиллит вне обострения. Фотодерматит.
В стационаре получала дексаметазон внутривенно (суммарная доза 16 мг), в дальнейшем переведена на метилпреднизолон в таблетках в дозе 16 мг/сут в течение 14 дней (далее рекомендовано снижение дозы до отмены), получала 4-кратную дозу Н1-АГП второго поколения (цетиризин 40 мг/сут). Обострение купировано. Рекомендован курс омализумаба по 300 мг подкожно 1 раз в 4 нед.
Пациентка начала получать омализумаб только через несколько месяцев (в январе 2019 г.). До этого времени высыпания продолжали беспокоить, дозу метилпреднизолона снизила только до 8 мг/сут (UAS7 26–32 балла). С января по октябрь 2019 г. получала омализумаб по 300 мг подкожно 1 раз в 4 нед. (всего 5 введений), практически без эффекта (после 5-й инъекции высыпания отсутствовали в течение последующих 2 нед.), продолжала получать цетиризин (40 мг/сут), метилпреднизолон (удалось снизить дозу до 4 мг/сут; UAS7 от 25 до 35 баллов), на фоне снижения системных ГКС отметила усиление кожного зуда, увеличение количества высыпаний). Пациентка самостоятельно добавила к терапии гидроксизин в дозе 12,5 мг на ночь (для купирования кожного зуда). Терапия расценена как неэффективная.
В ноябре 2019 г. проведено очередное стационарное лечение в связи с выраженным обострением крапивницы. При осмотре отмечено изменение характера высыпаний: стали появляться пятна с гемосидериновым окрашиванием на месте волдырных элементов. Результаты обследования:
- общий анализ мочи, IgG, IgM, IgA, биохимический анализ крови, антистрептолизин-О, ревматоидный фактор, С3, С4 компоненты комплемента ― в пределах референсных значений;
 - лейкоциты 12,7×109/л (норма 4,1–11,2×109/л);
 - СОЭ 24 мм/ч (норма 2–20 мм/ч);
 - IgE общий <5 МЕ/мл;
 - С-реактивный белок 24 мг/л (норма 0–5 мг/л);
 - тиреотропный гормон 0,04 мЕд/л (норма 0,4–4,0 мЕд/л).
 
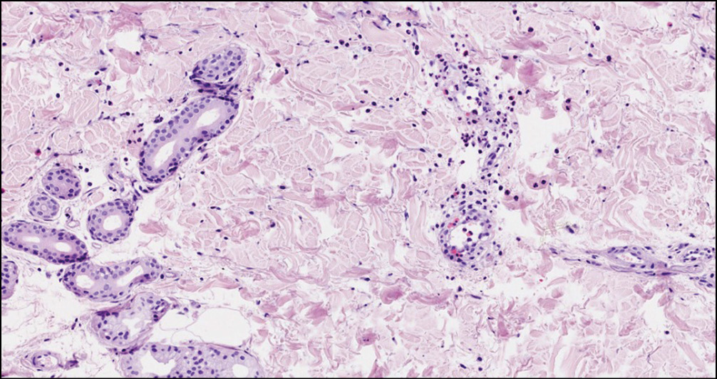
13.11.2019 с целью исключения УВ в условиях стационара была выполнена биопсия кожи (рисунок).
Рис. Окрашенный срез биопсии кожи. Эпидермис обычной толщины, его слои дифференцированы, слабый рыхлый кератоз. Стенки сосудов сосочкового и сетчатого слоёв дермы утолщены за счёт отёка и набухания эндотелиоцитов. Вокруг сосудов слабая инфильтрация из гистиоцитов, лимфоцитов, эозинофильных гранулоцитов. Местами единичные эозинофильные лейкоциты проникают в сосудистую стенку. Количество эозинофилов ― от 7 до 12 в поле зрения при увеличении в 400 раз. Изменения соответствуют уртикарному васкулиту.
Fig. Stained skin biopsy section. The epidermis is of normal thickness, its layers are differentiated, weak loose keratosis. The walls of the vessels of the papillary and reticular layers of the dermis are thickened due to edema and swelling of endothelial cells. Around the vessels there is weak infiltration from histiocytes, lymphocytes, eosinophilic granulocytes. In places, single eosinophilic leukocytes penetrate the vascular wall. The number of eosinophils is from 7 to 12 in the field of view with a magnification of 400 times. The changes correspond to urticarial vasculitis.
Клинический диагноз: Нормокомплементемический уртикарный васкулит.
Лечение. Метилпреднизолон в дозе 20 мг/сут 10 дней, далее снижение дозы до отмены. Гидроксихлорохин (Плаквенил) в дозе 400 мг/сут. Продолжена терапия омализумабом по 300 мг подкожно 1 раз в 4 нед. и антигистаминными препаратами второго поколения в 4-кратной дозе.
Исход и результаты последующего наблюдения. Через 2 мес после выписки и продолжения терапии удалось полностью отказаться от системных ГКС, UAS7 от 4 до 7 баллов (до лечения UAS7 42 балла). Через 4 мес терапия гидроксихлорохином и омализумабом продолжалась в прежнем объёме, доза цетиризина снижена до 20 мг/сут; UAS7 5–6 баллов. Через 5 мес приём гидроксихлорохина (Плаквенил) прекращён, лечение омализумабом продолжалось до апреля 2020 г. Все 5 мес UAS 7–0. В течение последующих 1,5 лет сохраняется ремиссия УВ с редкими эпизодами зуда кожи, купируемыми стандартными дозами Н1-АГП второго поколения.
Заключение
Таким образом, в случае нетипичного течения крапивницы необходимо исключать заболевания, протекающие под её маской. Особенностью приведённого клинического случая является изменение клинической картины, характерной для ХСК, с появлением признаков УВ через несколько лет от начала заболевания и успешным отсроченным эффектом терапии омализумабом.
Назрела необходимость разработать нозологию, классификацию, единые клинико-гистологические критерии УВ, а также клинические рекомендации по его безопасному и эффективному лечению.
Дополнительная информация
Источник финансирования. Авторы заявляют об отсутствии внешнего финансирования при проведении поисково-аналитической работы и подготовке рукописи.
Funding source. This article was not supported by any external sources of funding.
Конфликт интересов. И.В. Данилычева ― лектор компании Novartis. Остальные члены авторского коллектива декларируют отсутствие явных и потенциальных конфликтов интересов, связанных с публикацией настоящей статьи.
Competing interests. I.V. Danilycheva is the lecturer at Novartis company. Other authors declare that they have no competing interests.
Вклад авторов. И.В. Дорофеева — лечение пациента, обзор литературы, сбор и анализ литературных источников, написание текста и редактирование статьи; И.В. Данилычева ― курация, лечение и отбор пациента, обзор литературы, анализ литературных источников, подготовка и редактирование текста статьи; А.Е. Шульженко ― курация, обзор литературы, анализ литературных источников, редактирование текста статьи. Все авторы подтверждают соответствие своего авторства международным критериям ICMJE (все авторы внесли существенный вклад в разработку концепции, и подготовку статьи, прочли и одобрили финальную версию перед публикацией).
Authors’ contribution. I.V. Dorofeeva ― treatment, literature review, analysis of literary sources, preparation and editing of the text of article; I.V. Danilycheva ― supervision, treatment and selection of patients, literature review, analysis of literary sources, preparation and editing of the text of article; A.E. Shulzhenko ― supervision, literature review, analysis of literary sources, editing the text of article. All authors made a substantial contribution to the conception of the work, acquisition, analysis, interpretation of data for the work, drafting and revising the work, final approval of the version to be published and agree to be accountable for all aspects of the work.
Информированное согласие на публикацию. Пациент добровольно подписал информационное согласие на публикацию персональной медицинской информации в обезличенной форме в Российском аллергологическом журнале.
Consent for publication. Written consent was obtained from the patient for publication of relevant medical information and all of accompanying images in Russian Journal of Allergy within the manuscript.
About the authors
Irina V. Dorofeeva
National Research Center ― Institute of Immunology Federal Medical-Biological Agency of Russia
														Email: idorofeeva1@gmail.com
				                	ORCID iD: 0000-0002-4423-1797
				                	SPIN-code: 5480-4193
																		                												                	Россия, 							24, Kashirskoyw shosse, Moscow, 115522						
Inna V. Danilycheva
National Research Center ― Institute of Immunology Federal Medical-Biological Agency of Russia
														Email: ivdanilycheva@mail.ru
				                	ORCID iD: 0000-0002-8279-2173
				                	SPIN-code: 4547-3948
																		                								
MD, Cand. Sci. (Med.)
Россия, 24, Kashirskoyw shosse, Moscow, 115522Andrey E. Shuljenko
National Research Center ― Institute of Immunology Federal Medical-Biological Agency of Russia
							Author for correspondence.
							Email: shulzhenko_ae@mail.ru
				                	ORCID iD: 0000-0003-0268-9350
				                	SPIN-code: 4584-4915
																		                								
MD, Dr. Sci. (Med.), Professor
Россия, 24, Kashirskoyw shosse, Moscow, 115522References
- Zuberbier T, Aberer W, Asero R, et al. The EAACI/ GA²LEN/EDF/WAO guideline for the definition, classification, diagnosis and management of urticaria. Allergy. 2018;73(7):1393–1414. doi: 10.1111/all.13397
 - Federal Clinical guidelines for the diagnosis and treatment of urticaria. Russian Association of Allergists and Clinical Immunologists; 2019. (In Russ).
 - Guillén-Aguinaga S, Jáuregui Presa I, Aguinaga-Ontoso E, et al. Updosing nonsedating antihistamines in patients with chronic spontaneous urticaria: a systematic review and meta-analysis. Br J Dermatol. 2016;175(6):1153–1165. doi: 10.1111/bjd.14768
 - Maurer M, Staubach P, Raap U, et al. ATTENTUS, a German online survey of patients with chronic urticaria highlighting the burden of disease, unmet needs and real-life clinical practice. Br J Dermatol. 2016;174(4):892–894. doi: 10.1111/bjd.14203
 - Maurer M, Weller K, Bindslev-Jensen C, et al. Unmet clinical needs in chronic spontaneous urticaria. A GA2LEN task force report. Allergy. 2011;66(3):317–330. doi: 10.1111/j.1398-9995.2010.02496.x
 - Eun S, Lee J, Kim D, Yoon H. Natural course of new-onset urticaria: results of a 10-year follow-up, nationwide, population-based study. Allergol Int. 2019;68(1):52–58. doi: 10.1016/j.alit.2018.05.011
 - O’Donnell B, Lawlor F, Simpson J, et al. The impact of chronic urticaria on the quality of life. Br J Dermatol. 1997;136(2):197–201.
 - Kozel M, Mekkes J, Bossuyt P, Bos J. Natural course of physical and chronic urticaria and angioedema in 220 patients. J Am Acad Dermatol. 2001;45(3):387–391. doi: 10.1067/mjd.2001.116217
 - Van der Valk P, Moret G, Kiemeney L. The natural history of chronic urticaria and angioedema in patients visiting a tertiary referral centre. Br J Dermatol. 2002;146(1):110–113. doi: 10.1046/j.1365-2133.2002.04582.x
 - Thomsen SF, Pritzier EC, Anderson CD, et al. Chronic urticaria in the real-life clinical practice setting in Sweden, Norway and Denmark: baseline results from the noninterventional multicentre AWARE study. JEADV. 2017;31(6):1048–1055. doi: 10.1111/jdv.14210
 - Costa C, Rosmaninho I, Guilherme A, et al. Chronic urticaria in the real-life clinical practice setting in Portugal: baseline results from the non-interventional multicentre AWARE study. Acta Med Port. 2019;32(2):133–140. doi: 10.20344/amp.9496
 - Konstantinou GN, Konstantinou GN. Psychiatric comorbidity in chronic urticaria patients: a systematic review and meta-analysis. Clin Transl Allergy. 2019;9:42. doi: 10.1186/s13601-019-0278-3
 - Tat T. Higher Levels of depression and anxiety in patients with chronic urticaria. Med Sci Monit. 2019;25:115–120. doi: 10.12659/MSM.912362
 - Gonçalo M, Arnau GA, Al‐Ahmad M, et al. The global burden of chronic urticaria for the patient and society. Br J Dermatology. 2021;184(2):226–236. doi: 10.1111/bjd.19561
 - Caproni M, Verdelli A. An update on the nomenclature for cutaneous vasculitis. Curr Opin Rheumatol. 2019;31(1):46–52. doi: 10.1097/BOR.0000000000000563
 - Kolkhir P, Grakhova M, Bonnekoh H, et al. Treatment of urticarial vasculitis: a systematic review. J Allergy Clin Immunol. 2019;143(2):458–466. doi: 10.1016/j.jaci.2018.09.007
 - Kolkhir P, Bonnekoha H, Kocatürkc E, et al. Management of urticarial vasculitis: a worldwide physician perspective. World Allergy Organ J. 2020;13(3):100107. doi: 10.1016/j.waojou.2020.100107
 - Dincy CV, George R, Jacob M, et al. Clinicopathologic profile of normocomplementemic and hypocomplementemic urticarial vasculitis: a study from South India. J Eur Acad Dermatol Venereol. 2008;22(7):789–794. doi: 10.1111/j.1468-3083.2007.02641.x
 - O’Donnell B, Black AK. Urticarial vasculitis. Int Angiol. 1995;14(2):166–174.
 - Cardoso PA, de Oliveira ZP, Alves VA, et al. Urticarial vasculitis. Allergol Immunopathol. 1990;18(4):191–195.
 - Peteiro C, Toribio J. Incidence of leukocytoclastic vasculitis in chronic idiopathic urticaria. Study of 100 cases. Am J Dermatopathol. 1989;11(6):528–533. doi: 10.1097/00000372-198912000-00003
 - Borzova E., Grattan С.E. Urticarial Vasculitis. In: Griffiths C.E., Barker J., Bleiker T.O., et al. Rook’s textbook of dermatology. Vol. 4 Set, 9th Edition. UK, Wiley Blackwell; 2016. Р. 44.1.
 - Wisnieski JJ. Urticarial vasculitis. Curr Opin Rheumatol. 2000;12(1):24–31. doi: 10.1097/00002281-200001000-00005
 - Mehregan DR, Gibson LE. Pathophysiology of urticarial vasculitis. Arch Dermatol. 1998;134(1):88-89. doi: 10.1001/archderm.134.1.88
 - Kano Y, Orihara M, Shiohara T. Cellular and molecular dynamics in exercise‐induced urticarial vasculitis lesions. Arch Dermatol. 1998;134(1):62–67. doi: 10.1001/archderm.134.1.62
 - Gammon WR. Urticarial vasculitis. Dermatol Clin. 1985;3(1):97–105.
 - Danilycheva IV. Urticarian vasculitis: diagnostic algorithm. Doktor.Ru. 2009;2(46):67–72. (In Russ).
 - Kolkhir PV. Urticar vasculitis. Urticaria and angioedema. Moscow: Practical Medicine; 2012. Р. 286–297. (In Russ).
 - Venzor J, Lee WL, Huston DP. Urticarial vasculitis. Clin Rev Alleergy Immunol. 2002;23(2):201–211. doi: 10.1385/CRIAI:23:2:201
 - Dincy CV, George R, Jacob M, et al. Clinicopathologic profile of normocomplementemic and hypocomplementemic urticarial vasculitis: a study from South India. J Eur Acad Dermatol Venereol. 2008;22(7):789–794. doi: 10.1111/j.1468-3083.2007.02641.x
 - Davis MD, Daoud MS, Kirby B, et al. Clinicopathologic correlation of hypocomplementemic and normocomplementemic urticarial vasculitis. J Am Acad Dermatol. 1998;38(6 Pt 1):899–905.
 - Kulthanan K, Cheepsomsong M, Jiamton S. Urticarial vasculitis: etiologies and clinical course. Asian Pac J Allergy Immunol. 2009;27(2-3):95–102.
 - Schwartz HR, McDuffie FC, Black LF, et al. Hypocomplementemic urticarial vasculitis: association with chronic obstructive pulmonary disease. Mayo Clin Proc. 1982;57(4):231–238.
 - Jachiet M, Flageul B, Deroux A, et al. The clinical spectrum and therapeutic management of hypocomplementemic urticarial vasculitis: data from a French nationwide study of fifty-seven patients. Arthritis Rheumatol. 2015;67(2):527–534. doi: 10.1002/art.38956
 - Tosoni C, Lodi-Rizzini F, Cinquini M, et al. A reassessment of diagnostic criteria and treatment of idiopathic urticarial vasculitis: a retrospective study of 47 patients. Clin Exp Dermatol. 2009;34(2):166–170. doi: 10.1111/j.1365-2230.2008.02891.x
 - Davis MD, Brewer JD. Urticarial vasculitis and hypocomplementemic urticarial vasculitis syndrome. Immunol Allergy Clin North Am. 2004;24(2):183–213. doi: 10.1016/j.iac.2004.01.007
 - Grotz W, Baba HA, Becker JU, Baumgartel MW. Hypocomplementemic urticarial vasculitis syndrome: an interdisciplinary challenge. Dtsch Arztebl Int. 2009;106(46):756–763. doi: 10.3238/arztebl.2009.0756
 - Sunderkotter C, Bonsmann G, Sindrilaru A, Luger T. Management of leukocytoclastic vasculitis. J Dermatolog Treat. 2005;16(4):193–206. doi: 10.1080/09546630500277971
 - Berg RE, Kantor GR, Bergfeld WF. Urticarial vasculitis. Int J Dermatol. 1988;27(7):468–472. doi: 10.1111/j.1365-4362.1988.tb00921.x
 - Chen YD, Krause K, Tu P, et al. Response of omalizumab in normocomplementemic urticarial vasculitis. J Allergy Clin Immunol Pract. 2020;8(6):2114–2117. doi: 10.1016/j.jaip.2020.02.024
 - De Brito M, Huebner G, Murrell D, et al. Normocomplementaemic urticarial vasculitis: effective treatment with omalizumab. Clin Transl Allergy. 2018;8:37. doi: 10.1186/s13601-018-0222-y
 - Rattananukrom T, Svetvilas P, Chanprapaph K. Successful treatment of normocomplementemic urticarial vasculitis with omalizumab: a report of three cases and literature review. Asian Pac J Allergy Immunol. 2020;38(4):286–289. doi: 10.12932/AP-050918-0402
 
Supplementary files
				
			
							


