Treatment forms of house dust mites allergens intended for allergen-specific immunological therapy
- Authors: Berzhets V.M.1, Vasilyeva A.V.1, Petrova N.S.1, Khlgatian S.V.1, Petrova S.Y.1, Emelyanova O.Y.1, Nesterenko L.N.1
 - 
							Affiliations: 
							
- I. Mechnikov Research Institute of Vaccines and Sera
 
 - Issue: Vol 18, No 4 (2021)
 - Pages: 126-134
 - Section: Short communications
 - Submitted: 29.08.2021
 - Accepted: 15.11.2021
 - Published: 14.12.2021
 - URL: https://rusalljournal.ru/raj/article/view/1476
 - DOI: https://doi.org/10.36691/RJA1476
 - ID: 1476
 
Cite item
Full Text
Abstract
BACKGROUND: The growth of allergic diseases dictates the necessity to develop new forms of therapeutic allergens since therapy with native water-salt extracts of allergens is unsafe and convenient. The risk of systemic side effects during allergen-specific immunotherapy sets the task for researchers to create modern therapeutic forms of allergens with high immunogenic and low allergenic activity. Our laboratory has been developing preparations for the diagnosis and treatment of house dust mites allergies for many years.
AIMS: To create modern therapeutic forms of allergen preparations from house dust mites of the genus Dermatophagoides that are intended for allergen-specific immunotherapy
MATERIALS AND METHODS: Physicochemical and immunobiological methods, such as electrophoresis in polyacrylamide gel, micropoint immunoblot, solid-phase enzyme-linked immunosorbent assay, and the reaction of binding inhibition of allergen-specific immunoglobulin E in the sera of patients were used to study the obtained preparations.
RESULTS: A technology has been developed to obtain a granular dosage form of a mixed allergen from Dermatophagoides pteronyssinus and Dermatophagoides farinae mites for sublingual use. This treatment form has successfully passed preclinical tests, has a pronounced immunogenic activity, and reduced allergenicity, and is convenient for pediatric practice. Allergoids, which are chemically modified preparations, are obtained to reduce allergenicity and increase therapeutic allergen immunogenicity. A succinylated monomeric house dust mites allergoid Dermatophagoides pteronyssinus was created and studied with the National Research Center, Institute of Immunology Federal Medical-Biological Agency of Russia. The study of the immunobiological properties of the obtained preparation showed that the monomeric allergoid has increased immunogenic and decreased allergenic activity contrary to the native water-salt extract.
CONCLUSIONS: The created forms of mite allergens can be used to treat patients who are sensitized to house dust mites of the genus Dermatophagoides after clinical trials.
Full Text
Введение
В последние десятилетия наблюдается неуклонный рост аллергических заболеваний как в России, так и в странах зарубежья. По оценке Всемирной организации по аллергии (World Allergy Organization, WAO), около 30–40% населения Земли страдает аллергией различной этиологии. По результатам многочисленных исследований степень тяжести проявления аллергических заболеваний постепенно возрастает, а темпы распространения аллергопатологий сохраняются и даже растут [1, 2]. По данным статистического анализа, различными формами аллергии страдает от 17,5 до 30% населения России [3]. Основным аллергизирующим компонентом жилища человека, инициирующим формирование атопических заболеваний верхних и нижних дыхательных путей, являются пироглифидные клещи рода Dermatophagoides. Во всём мире до 85% больных бронхиальной астмой имеют гиперчувствительность к клещам домашней пыли рода Dermatophagoides [4].
Согласно нашим исследованиям, приблизительно у 20% пациентов, страдающих ингаляционной аллергией (n=2546), выявлена сенсибилизация к клещам домашней пыли рода Dermatophagoides, причём более чем у половины обследованных обнаружена гиперчувствительность одновременно к двум видам клещей рода Dermatophagoides ― D. pteronyssinus и D. farinae.
Для лечения аллергических заболеваний необходима разработка новых эффективных подходов к терапии и профилактике состояний, вызванных клещевой сенсибилизацией. Сублингвальная иммунотерапия является перспективным способом лечения и достойной альтернативой парентеральной аллерговакцинации. К преимуществам этого метода лечения можно отнести снижение риска побочных реакций, отмену инъекционных процедур, удобный режим использования, безболезненность лечения, уменьшение зависимости пациента от врача. Побочные реакции при сублингвальной иммунотерапии минимальные. Для детей такая форма лечебного аллергена особенно удобна в применении, поэтому создание пероральной формы микст-аллергена из двух клинически значимых клещевых аллергенов рода Dermatophagoides является актуальным направлением, особенно для педиатрической практики.
Другим актуальным направлением в разработке современных препаратов для проведения аллергенспецифической иммунотерапии (АСИТ) является создание лечебных форм со сниженной аллергенностью и сохранённой иммуногенностью. Такие лечебные формы аллергенов можно получить путём модификации водно-солевых экстрактов аллергенов различными химическими агентами, в том числе и янтарным ангидридом. Мономерный аллергоид из клещей домашней пыли D. рteronyssinus был разработан на основе совместного договора ФГБНУ НИИ вакцин и сывороток имени И.И. Мечникова и ФГБУ ГНЦ «Институт иммунологии» ФМБА о научном сотрудничестве «Разработка и внедрение в клиническую практику здравоохранения РФ мономерных аллергоидов из клещей домашней пыли D. pteronyssinus и D. farinae для лечения аллергии к клещам домашней пыли».
Цель ― создание новых форм лечебных препаратов клещевых аллергенов.
Перед нами стояли следующие задачи:
1) разработка технологии получения гранулированной сублингвальной лекарственной формы микст-аллергена из клещей Dermatophagoides pteronyssinus (Der.p) и Dermatophagoides farinaе (Der.f);
2) получение мономерного клещевого аллергоида Der.p (методом сукцинилирования);
3) изучение свойств полученных лечебных препаратов клещевых аллергенов.
Материал и методы
Приготовление гранулированной сублингвальной формы микст-аллергена из клещей D. pteronyssinus и D. farinaе
Для создания гранулированной сублингвальной формы микст-аллергена из клещей Der.p и Der.f использовали бесфенольные водно-солевые экстракты одноимённых клещевых аллергенов в соотношении 1:1. Способ получения бесфенольных водно-солевых экстрактов каждого из видов включает водно-солевую экстракцию исходного сырья с применением экстрагирующей жидкости Эванс–Кока. Культивирование клещей домашней пыли D. farinaе и D. pteronyssinus проводят в раздельных боксах в течение 3–4 мес в термостатах при температуре 25±2°С и относительной влажности воздуха 73±3% на субстрате из домашней пыли и щетины. В качестве исходного сырья используют смесь культуры каждого из видов этих клещей и среды их культивирования. Водно-солевую экстракцию исходного сырья проводят после смешивания и гомогенизирования его со стеклянным порошком в течение трёх суток. После окончания экстрагирования надосадочную жидкость сливают, проводят центрифугирование при 5000–6000 об/мин в течение 30–40 мин с последующей фильтрацией через бумажный барьер, осуществляют стерилизующую фильтрацию, стабилизацию маточного раствора в течение 3–4 мес, разлив и получение готовой формы препарата. Данная технология обеспечивает создание высокоэффективного лечебного аллергена при упрощении технологического процесса. Далее смешивают полученные маточные растворы в соотношении 1:1.
Для получения пероральной гранулированной лекарственной формы микст-аллергена сначала проводят восьмикратное десятичное разведение маточного раствора микст-аллергена на растворе этилового спирта, далее проводят нанесение полученных разведений на сахарную крупку, предварительно пропитанную 45% этиловым спиртом, с периодическим встряхиванием крупки в течение 10–15 мин и сушкой сахарной крупки с лекарственным препаратом до полного испарения спирта. Техническим результатом является создание эффективной и удобной в применении гранулированной лекарственной формы микст-аллергена из клещей рода Dermatophagoides.
Концентрацию белка в бесфенольном водно-солевом экстракте микст-аллергена измеряли классическими методами Несслера и Бредфорда [5]. Для определения мажорных аллергенов проводили очистку методом аффинной хроматографии на Ni-активированной сефарозе (Cytiva™, США) [6] и электрофорез водно-солевых экстрактов клещевых аллергенов и их модификаций в полиакриламидном геле в присутствии додецилсульфата натрия (ДДС-Na; Applichem, Германия) [7]. Для определения рН применяли потенциометрический метод [5].
Для определения аллергенной активности гранулированной формы микст-аллергена из клещей домашней пыли рода Dermatophagoides в экспериментальных сериях препарата использовали метод микроточечного иммуноблота (иммунодот). На нитроцеллюлозную мембрану Immobilon® PVDF (Merck KGaA, Дармштадт, Германия) наносили следующие контрольные и экспериментальные препараты: разводящую жидкость с ТВИН-80 (отрицательный контроль), сахарную крупку (отрицательный контроль), цельный аллерген берёзы висячей (отрицательный контроль), цельный аллерген из Der.p или Der.f (312,5 мкг/мл) (положительный контроль); стандартный водно-солевой аллерген Der.p. или Der.f (0,5 мкг/мл); гранулированную форму микст-аллергена Der.p. и Der.f (1 мкг/мл). В качестве проявляющих антител использовали конъюгаты анти-IgE-антител человека с щелочной фосфатазой (Dr. Fooke, Германия). Для выявления специфических антител использовали сыворотки пациентов, сенсибилизированных к Der.p. или Der.f (IV класс). Исследовали три серии экспериментального аллергена, каждая из которых включала пять определений специфических IgE-антител к Der.p и Der.f. Данные иммуноблота оценивали визуально и денситометрически по интенсивности окрашивания в условных единицах с использованием программного обеспечения ImageQuant 5.2 (GE Healthcare, США) [8].
Исследование иммуногенных свойств гранулированного клещевого микст-аллергена проводили на морских свинках. В эксперименте животные были поделены на две группы. В 1-й группе животным (n=10) вводили гранулированную форму микст-аллергена перорально шприцем в полость рта в виде раствора по 0,25 г в 1 мл дистиллированной воды ежедневно 1 раз в день в 8 разведениях. Каждое разведение аллергена вводилось в течение 7 дней. Общая продолжительность приёма препарата составила 60 дней. Во 2-й, контрольной, группе животным (n=10) вводили чистую сахарную крупку по 7 гранул ежедневно 1 раз в день, 60 дней.
Уровень специфических IgG к Der.p и Der.f в сыворотках животных определяли методом твердофазного иммуноферментного анализа (ИФА). Стандартный водно-солевой экстракт аллергена Der.p или стандартный водно-солевой экстракт Der.f сорбировали в лунках полистиролового планшета.
Перед постановкой реакции проводили обработку планшетов раствором бычьего сывороточного альбумина для нейтрализации неспецифической сорбции. На аллергосорбент наносили образцы сывороток крови морских свинок. Фиксировали образование комплекса антиген–антитело. К образовавшемуся в лунке планшета комплексу антиген–антитело добавляли диагностические антитела против IgG (H+L) морских свинок, меченные пероксидазой хрена (НИИ эпидемиологии и микробиологии, предприятие по производству бакпрепаратов имени Н.Ф. Гамалеи, Россия), и индикатор ― тетраметилбензидин в субстратном буфере. ИФА на обнаружение специфических IgG к Der.p и Der.f проводили по отдельности. Оценку результатов осуществляли по оптической плотности (D) на спектрофотометре Dynatech МR-5000 (DYNATECH, США).
Приготовление мономерного клещевого аллергоида D. pteronyssinus
На основе вышеописанной технологии производства водно-солевого экстракта методом сукцинилирования был создан модифицированный клещевой аллерген Der.p.
Изучение аллергенных свойств полученного сукцинилированного мономерного аллергоида из клещей домашней пыли D. pteronyssinus проводили методом торможения реакции связывания аллергенспецифического IgE, используя сыворотки пациентов, сенсибилизированных к D. pteronyssinus (III–V классы).
Сравнительную оценку иммуногенности нативного аллергена и аллергоида осуществляли на мышах-самках линии BALB/c стандартным методом ИФА, согласно ОФС.1.7.2.0033.151. Использовались здоровые особи женского пола линии BALB/c в возрасте от 2 до 5 мес, весом 20–22 г. Первая группа мышей (n=16) была 4-кратно иммунизирована мономерным аллергоидом Der.p, а вторая (n=16) ― водно-солевым экстрактом аллергена Der.p.
Животные
Содержание и уход за животными проводился согласно ГОСТ 33216-20142. В работе использованы морские свинки (здоровые особи мужского пола в возрасте от 1,5 до 2 лет весом 1000–1500 г); мыши (здоровые особи женского пола линии BALB/c в возрасте от 2 до 5 мес весом 20–22 г).
Этическая экспертиза
Исследования с животными были одобрены на заседании Этического комитета НИИ вакцин и сывороток имени И.И. Мечникова (протокол № 2 от 19 февраля 2019 г.).
Статистический анализ
Результаты обрабатывали с помощью пакета прикладных статистических программ Microsoft Excel, версия 2010 (США) с анализом количественных признаков. Вычисляли следующие величины: выборочное среднее (x), выборочное стандартное отклонение (s). Достоверность различий в группах узнавали методом дисперсионного анализа Фишера (F). Достоверность различий между группами (>2) изучали с помощью 95% доверительного интервала для среднего (95% ДИ). Критической величиной уровня значимости считали α=0,05.
Результаты
Изучение гранулированной сублингвальной формы микст-аллергена из клещей D. pteronyssinus и D. farinaе
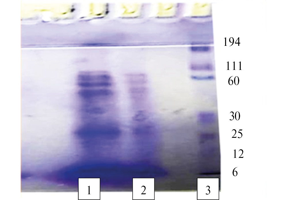
Содержание белкового азота в бесфенольном микст-растворе составило 5000±2000 PNU, pH раствора ― 7,0±0,25. Электрофорез проводили в полиакриламидном геле в присутствии ДДС-Na. При исследовании предварительно очищенного от низкомолекулярных примесей бесфенольного водно-солевого аллергена с концентрацией белка 1,8 мг/мл выявлена многокомпонентная смесь белков различной молекулярной массы. Так, основные фракции белков имели молекулярную массу 26–27 кДа, что соответствует главным мажорным аллергенам Der p1/Der f1. Кроме того, выявлены и высокомолекулярные белковые фракции в интервалах 50–60 и 98–100 кДа (рисунок).
Рис. Электрофорез бесфенольного водно-солевого экстракта микст-аллергена (БВСА) в полиакриламидном геле в присутствии додецилсульфата натрия.
Примечание. 1 ― БВСА клещей домашней пыли Der.p и Der.f с концентрацией белка 1,8 мг/мл; 2 ― БВСА клещей домашней пыли Der.p и Der.f с концентрацией белка 0,9 мг/мл; 3 ― маркеры молекулярного веса белков.
Fig. Sodium dodecyl sulfate polyacrylamide gel electrophoresis (SDS-PAGE) of phenol-free water-salt allergen (PWSA).
Note. 1 ― PWSA house dust mites Der.p. and Der.f with a protein concentration of 1.8 mg/ml; 2 ― PWSA of house dust mites Der.p and Der.f, with a protein concentration of 0.9 mg/ ml; 3 ― markers of molecular weights of proteins.
Для определения аллергенной активности гранулированной формы микст-аллергена в экспериментальных сериях препарата использовали метод микроточечного иммуноблота (иммунодот). Полученные в результате реакции пятна в точках нанесения гранулированной формы микст-аллергена и стандартного водно-солевого аллергена Der.p или Der.f не различались статистически значимо по интенсивности окрашивания во всех сериях экспериментов ни визуально, ни денситометрически [9] (таблица).
Таблица. Результаты обработки данных иммунодота денситометрическим методом
Table. The results of analise of immunodot data by densitometric method
Серия ЭА  | Стандартный ВСЭА 0,5 мкг/мл, у.е.  | Чистая сахарная крупка, у.е.  | ЭА 1 мкг/мл, у.е.  | ||||||
Х  | s  | 95% ДИ*  | Х  | s  | 95%ДИ*  | Х  | s  | 95% ДИ*  | |
Реакция со специфическими IgE к Der.f  | |||||||||
1 (n=5)  | 57  | 2,1  | 54–60  | 32  | 15,3  | 13–51  | 61  | 5,8  | 54–68  | 
2 (n=5)  | 59  | 4,1  | 54–64  | 34  | 4,1  | 29–39  | 50  | 6,8  | 42–58  | 
3 (n=5)  | 60  | 3,5  | 56–64  | 30  | 3,5  | 26–34  | 58  | 2,1  | 55–61  | 
Реакция со специфическими IgE к Der.p  | |||||||||
1 (n=5)  | 55  | 4,3  | 50–60  | 30  | 5,3  | 23–37  | 59  | 2,1  | 56–62  | 
2 (n=5)  | 57  | 5,4  | 50–64  | 32  | 5,8  | 25–39  | 60  | 2,2  | 57–63  | 
3 (n=5)  | 58  | 5,3  | 51–65  | 31  | 5,8  | 24–38  | 58  | 8,9  | 47–69  | 
Примечание. * Критическое значение t=2,776 при уровне значимости α=0,05 и числе степеней свободы v=4. ЭА ― экспериментальный микст-аллерген из клещей D. pteronyssinus и D. farinaе (гранулированная форма); ВСЭА ― водно-солевой экстракт аллергена из клещей D. pteronyssinus или D. farinaе.
Note. * The critical value t=2.776 at the significance level α=0.05 and the number of degrees of freedom v= 4. ЭА ― experimental mixed allergen from Dermatophagoides pteronyssinus and Dermatophagoides farinae mites (granular form); ВСЭА ― water-salt extract of the mixed allergen from Dermatophagoides pteronyssinus and Dermatophagoides farinae mites.
Исследование иммуногенных свойств гранулированного клещевого микст-аллергена на морских свинках показало статистически значимое повышение уровня оптической плотности специфических IgG-антител к Der.p и Der.f в сыворотках крови животных, получавших экспериментальный препарат, в сравнении с контрольной группой (р <0,01) [9]. В ИФА минимальное значение оптической плотности специфических IgG к Der.f в контрольной группе составило 0,180 у.е., максимальное ― 1,088 у.е., среднее значение оптической плотности специфических IgG к Der.f ― 0,515±0,28 у.е.; в основной группе ― 0,887; 1,861 и 1,381±0,322 у.е. соответственно. В ИФА с сыворотками животных, получавших экспериментальный препарат, отмечено статистически значимое повышение уровня оптической плотности специфических IgG к Der.f по сравнению с контрольной группой (р <0,01). При исследовании уровня оптической плотности специфических IgG к Der.p. методом ИФА обнаружены сходные результаты. Минимальное значение оптической плотности в контрольной группе составило 0,112 у.е., максимальное ― 0,993 у.е., среднее значение D ― 0,549±0,305 у.е.; в основной группе ― 0,777; 2,045 и 1,434±0,4 у.е. соответственно. Выявлено статистически значимое повышение уровня оптической плотности специфических IgG к Der.p в ИФА с сыворотками животных, получавших экспериментальный препарат.
Изучение мономерного клещевого аллергоида D. pteronyssinus
Электрофорез полученного сукцинилированного мономерного аллергоида из клещей домашней пыли D. pteronyssinus показал, что сукцинилирование существенно не изменяет размер молекул белка.
Изучение аллергенных свойств модифицированного экстракта Der.p методом торможения реакции связывания аллергенспецифического IgE в сыворотках сенсибилизированных пациентов показало, что частота связывания специфических IgE-антител к Der.p с мономерным аллергоидом существенно меньше (примерно в 100 раз), чем с водно-солевым экстрактом одноимённого аллергена.
При сравнительной оценке иммуногенности нативного аллергена и мономерного сукцинилированного аллергоида методом ИФА было показано, что после 4-й иммунизации IgE-ответ на аллерген был выше в группе мышей, иммунизированных водно-солевым экстрактом, чем в группе мышей, иммунизированных мономерным аллергоидом. В процессе эксперимента были выявлены существенно более высокие уровни анти-Der.p IgG2а при иммунизации мономерным аллергоидом по сравнению с иммунизацией водно-солевым экстрактом.
Обсуждение
АСИТ на сегодняшний день является единственно возможным методом лечения аллергических заболеваний, затрагивающим все патогенетические звенья атопической аллергии. Совершенствование АСИТ связано в том числе с повышением безопасности лечебных препаратов, поэтому наши исследования были направлены на разработку усовершенствованных методов их введения. Сублингвальная форма препаратов аллергенов для АСИТ является не только клинически эффективным, но и безопасным методом, что особенно актуально в педиатрической практике [10–14].
Установлено, что экспериментальный водно-солевой экстракт микст-аллергена из клещей D. pteronyssinus и D. farinae представляет собой многокомпонентную белковую смесь и содержит главные мажорные аллергены Der.f1 и Der.p1. В результате определения аллергенной активности гранулированной формы микст-аллергена в экспериментальных сериях препарата методом микроточечного иммуноблота было показано, что бесфенольный экстракт сохраняет белковые фракции, свойственные стандартному водно-солевому экстракту аллергена. Исследование иммуногенных свойств гранулированного клещевого микст-аллергена на морских свинках методом определения уровня специфических IgG к Der.p и Der.f методом твердофазного ИФА выявило высокую иммуногенную активность исследуемого препарата, что особенно важно для достижения высокого терапевтического эффекта при проведении АСИТ.
На основе стандартного водно-солевого экстракта микст-аллергена из данных видов клещей, приготовленного по запатентованной методике, разработана технология получения гранулированной лечебной формы для специфической иммунотерапии сублингвальным методом.
Главным недостатком препаратов для проведения АСИТ на основе нативных водно-солевых экстрактов аллергенов может являться их высокая аллергенная активность, поэтому целью наших дальнейших исследований явились разработки по совершенствованию препаратов для АСИТ в области создания лечебных форм аллергенов со сниженной аллергенностью. Такие препараты получают путём модификации их различными химическими агентами [15]. Для сублингвальной иммунотерапии лекарственными аллергенами идеально подходят мономерные аллергоиды, так как они, в отличие от полимерных аллергоидов, состоящих из конгломератов большого размера, способны легко всасываться через слизистую [16].
Для получения мономерного клещевого аллергоида из клещей D. pteronyssinus был использован метод сукцинилирования ― химической модификации аллергенов путём обработки янтарным ангидридом [17]. В ходе проведения экспериментов было показано, что полученный сукцинилированный мономерный аллергоид из клещей домашней пыли D. pteronyssinus обладает сниженной аллергенной активностью (способность связывать аллергенспецифический IgE) и сохранённой иммуногенностью (способность индуцировать аллергенспецифический IgG2a ответ) [18]. Стоит отметить также, что сукцинилированный клещевой аллергоид сохраняет мономерность, что будет способствовать его применению в качестве лечебного препарата для эффективного проведения АСИТ безопасным сублингвальным способом.
Можно предположить, что метод сукцинилирования, приводящий к конформационным изменениям белковой молекулы, приводит к снижению аллергенной и сохранению иммуногенной активности и теоретически может быть применён к любому аллергенному экстракту, что расширяет возможности создания новых препаратов мономерных аллергоидов для безопасной и эффективной сублингвальной АСИТ.
Заключение
Для проведения АСИТ у пациентов с сенсибилизацией к клещам домашней пыли разработаны два новых препарата с применением различных технологических методик. После проведения клинических испытаний препараты могут быть с успехом применены в лечении пациентов с клещевой сенсибилизацией.
Дополнительная информация
Источник финансирования. Авторы заявляют об отсутствии внешнего финансирования при проведении исследования.
Funding source. This publication was not supported by any external sources of funding.
Конфликт интересов. Авторы декларируют отсутствие явных и потенциальных конфликтов интересов, связанных с публикацией настоящей статьи.
Промежуточные результаты исследования ранее опубликованы в работах: Бержец В.М., Бабахин А.А., Петрова Н.С., и др. Новые формы клещевых аллергоидов // Журнал микробиологии, эпидемиологии и иммунобиологии. 2019. №3. С. 15–21. DOI: 10.36233/0372-9311-2019-3-15-21; Бержец В.М., Коренева Е.А., Хлгатян С.В., и др. Изучение специфической активности гранулированной формы микст-аллергена из клещей домашней пыли Dermatophagoides pteronyssinus и Dermatophagoides farinae для пероральной иммунотерапии // Иммунопатология, аллергология, инфектология. 2019. № 2. С. 56–61. DOI: 10.14427/jipai.2019.2.56
Competing interests. The authors declare that they have no competing interests.
Preliminary data of this study were published in: Berzhets VM, Babakhin AA, Petrova NS, et al. New forms of home dust mite allergoid. Journal of Microbiology, Epidemiology and Immunobiology. 2019;(3):15–21. DOI: 10.36233/0372-9311-2019-3-15-21; Berzhets VM, Koreneva SV, Khlgatian SV, et al. Study of the specific activity of the granulated form of the mixed-allergen from house dust mites Dermatophagoides pteronyssinus and Dermatophagoides farinae for oral immunotherapy. Immunopathology, allergology, infectology 2019;(2):56–61. DOI: 10.14427/jipai.2019.2.56
Вклад авторов. В.М. Бержец, А.В. Васильева, Н.С. Петрова, С.В. Хлгатян, С.Ю. Петрова, О.Ю. Емельянова, Л.Н. Нестеренко ― концепция исследования, написание текста, научное редактирование текста, оформление, редактирование статьи. Все авторы подтверждают соответствие своего авторства международным критериям ICMJE (все авторы внесли существенный вклад в разработку концепции, проведение исследования и подготовку статьи, прочли и одобрили финальную версию перед публикацией).
Authors’ contribution. V.M. Berzhets, A.V. Vasilyeva, N.S. Petrovа, S.V. Khlgatyan, S.Yu. Petrovа, O.Yu. Emelyanova, L.N. Nesterenko ― research concept, data analysing, writing and editing the text of the manuscript, scientific editing. All authors made a substantial contribution to the conception of the work, acquisition, analysis, interpretation of data for the work, drafting and revising the work, final approval of the version to be published and agree to be accountable for all aspects of the work.
1 Метод иммуноферментного анализа. Государственная фармакопея Российской Федерации, XIV издание. Общие фармакопейные статьи. Режим доступа: https://pharmacopoeia.ru/ofs-1-7-2-0033-15-metod-immunofermentnogo-analiza/. Дата обращения: 15.10.2021.
2 ГОСТ 33216-2014. Межгосударственный стандарт. Руководство по содержанию и уходу за лабораторными животными. Правила содержания и ухода за лабораторными грызунами и кроликами. Режим доступа: https://docs.cntd.ru/document/1200127506. Дата обращения: 15.10.2021.
About the authors
Valentina M. Berzhets
I. Mechnikov Research Institute of Vaccines and Sera
														Email: laball@yandex.ru
				                	ORCID iD: 0000-0001-5055-7593
				                	SPIN-code: 9097-0947
																		                								
Dr. Sci. (Biol.) Professor
Россия, 5a, Malyi Kazennyi lane, Moscow, 105064Anna V. Vasilyeva
I. Mechnikov Research Institute of Vaccines and Sera
							Author for correspondence.
							Email: annaksu@mail.ru
				                	ORCID iD: 0000-0002-7703-2698
				                	SPIN-code: 8351-1808
																		                												                	Россия, 							5a, Malyi Kazennyi lane, Moscow, 105064						
Nina S. Petrova
I. Mechnikov Research Institute of Vaccines and Sera
														Email: s.levina2005@yandex.ru
				                	ORCID iD: 0000-0003-2824-1335
				                	SPIN-code: 3151-1562
																		                								
Cand. Sci. (Biol.)
Россия, 5a, Malyi Kazennyi lane, Moscow, 105064Svetlana V. Khlgatian
I. Mechnikov Research Institute of Vaccines and Sera
														Email: svetkh@gmail.com
				                	ORCID iD: 0000-0001-8354-7682
				                	SPIN-code: 1476-4605
																		                								
Dr. Sci. (Biol.)
Россия, 5a, Malyi Kazennyi lane, Moscow, 105064Stanislava Yu. Petrova
I. Mechnikov Research Institute of Vaccines and Sera
														Email: petrovastanislava@yandex.ru
				                	ORCID iD: 0000-0003-3034-0148
				                	SPIN-code: 7268-6944
																		                								
MD, Cand. Sci. (Med.)
Россия, 5a, Malyi Kazennyi lane, Moscow, 105064Olga Yu. Emelyanova
I. Mechnikov Research Institute of Vaccines and Sera
														Email: laball@yandex.ru
				                	ORCID iD: 0000-0002-8071-5385
				                	SPIN-code: 1721-6502
																		                								
Cand. Sci. (Biol.)
Россия, 5a, Malyi Kazennyi lane, Moscow, 105064Lyubov N. Nesterenko
I. Mechnikov Research Institute of Vaccines and Sera
														Email: lnnesterenko3001@gmail.com
				                	ORCID iD: 0000-0002-3825-3906
				                	SPIN-code: 6819-7980
																		                								
Cand. Sci. (Chem.)
Россия, 5a, Malyi Kazennyi lane, Moscow, 105064References
- Grieger JA, Clifton VL, Tuck AR, et al. In utero Programming of Allergic Susceptibility. Int Arch Allergy Immunol. 2016;169(2):80–92. doi: 10.1159/000443961
 - Makarova SG, Lavrova TE, Vishnyova EA, et al. Primary prevention as an effective response. Pediatric Pharmacology. 2015;12(1):67–73. (In Russ).
 - Kurbacheva OM, Kozulina IE. One again about allergy: Epidemiology and the essentials of pathogenesis, diagnosis, and therapy. Russian Rhinology. 2014;22(4):46–50. (In Russ). doi: 10.17116/rosrino201422446-50
 - Gregory LG, Lloyd CM. Orchestrating house dust mite-associated allergy in the lung. Trends Immunol. 2011;32(9):402–411. doi: 10.1016/j.it.2011.06.006
 - Fradkin VA. Diagnostic and therapeutic allergens. Moscow: Medicine; 1990. 255 p. (In Russ).
 - Ibragimov AN, Bikmullin AG, Sataeva DA, et al. Chromatographic methods for protein purification. Study guide. Kazan: FGAOU VPO KFU; 2013. 48 р. (In Russ).
 - Struchkova IV, Kalyasova EA. Theoretical and practical foundations of protein electrophoresis in polyacrylamide gel. Electronic teaching aid. Nizhny Novgorod: Nizhny Novgorod State University; 2012. 60 р. (In Russ).
 - A guide to protein blotting. Tips and tricks. Merck Millipore. 6th ed. [Internet]. (In Russ). Available from: https://docplayer.com/56000512-Rukovodstvo-po-blottingu-belkov-sovety-i-priemy.html. Accessed: 15.10.2021.
 - Berzhets VM, Koreneva SV, Khlgatian SV, et al. Study of the specific activity of the granulated form of the mixed-allergen from house dust mites Dermatophagoides pteronyssinus and Dermatophagoides farinae for oral immunotherapy. Immunopathology, Allergology, Infectology. 2019;(2):56–61. (In Russ). doi: 10.14427/jipai.2019.2.56
 - Trial J, Christian V, Vibeke BC. Efficacy of a house dust mite sublingual allergen immunotherapy tablet in adults with allergic asthma: a randomized clinical trial. JAMA. 2016;315(16):1715–1725. doi: 10.1001/jama.2016.3964
 - Agostinis F, Tellarini L, Canonica GW, et al. Safety of sublingual immunotherapy with a monomeric allergoid in very young children. Allergy. 2005;60(1):133. doi: 10.1111/j.1398-9995.2004.00616.x
 - Cevdet O, Didem Y, Izlem G, et al. Efficacy of long‐term sublingual immunotherapy as an adjunct to pharmacotherapy in house dust mite‐allergic children with asthma. Pediatr Allergy Immunol. 2007;18(6):508–515. doi: 10.1111/j.1399-3038.2007.00549.x
 - Meadows A, Kaambwa B, Novielli N, et al. A systematic review and economic evaluation of subcutaneous and sublingual allergen immunotherapy in adults and children with seasonal allergic rhinitis. Healthe Technology Assessmen. 2013;17(27):1–322. doi: 10.3310/hta17270
 - Cui L, Li J, Li Y, Xia Z. International archives of allergy and immunology long-term efficacy of sublingual mite immunotherapy in monosensitized and polysensitized children with allergic rhinitis: a 7-year prospective study. Int Arch Allergy Immunol. 2019;180(2):144–149. doi: 10.1159/000500524
 - Petrovа SYu, Berzhets VM, Petrovа NS, et al. Future prospect of allergen therapeutic forms. From abstract problems towards specific solutions. Immunopathology, Allergology, Infectology. 2018;(1):40–47. (In Russ). doi: 10.14427/jipai.2018.1.40
 - Babakhin AA, Laskin AA, Smirnov VV, et al. Monomeric allergoid from house dust mite Dermatophagoides pteronyssinus: immunological properties Russian Journal of Allergy. 2016;(4-5):29–36. (In Russ).
 - Babakhin AA, Andreev SM, Babievsky KK, et al. Allergen-specific immunotherapy with chemically modified allergens. Part 1. Allergenicity and immunogenicity of succinylated allergen and its complexes with the immunomodulator polyoxidonium. Physiology and Pathology of the Immune System. 2011;(3):7–37. (In Russ).
 - Laskin AA, Babakhin AA, Andreev SM, et al. Allergenicity and immunogenicity of modified extract from house dust mite Dermatophagoides pteronyssinus. Russian Immunological Journal. 2016;10(2):193–195. (In Russ).
 
Supplementary files
				
			
							


