«Possibilities of a unified approach to the treatment of IgE-associated respiratory diseases. Clinical Experience exchange».
- Authors: Ukhanova O.P.1, Karamishev D.V.2, Ryabova K.A.3, Hanova F.4
-
Affiliations:
- Stavropol Regional Clinical Hospital
- Moscow Regional Research Clinical Institute named by M.F. Vladimirskiy
- The First Sechenov Moscow State Medical University
- The National Medical Research Center for Otorhinolaryngology of the Federal Medico-Biological Agency of Russia
- Issue: Vol 18, No 2 (2021)
- Pages: 138-148
- Section: Case reports
- Submitted: 20.05.2021
- Accepted: 16.06.2021
- Published: 26.06.2021
- URL: https://rusalljournal.ru/raj/article/view/1456
- DOI: https://doi.org/10.36691/RJA1456
- ID: 1456
Cite item
Full Text
Abstract
Inflammatory diseases of the upper and lower respiratory airways, such as allergic rhinitis, nasal polyposis, bronchial asthma have common proinflammatory mechanisms, mediated by IgE-dependent cascade of inflammation. Concurrent existence of asthma and allergic rhinitis and/or nasal polyposis increases clinical symptoms severity, disease course aggravation and eventually disease control loss for the patient. Anti-IgE-therapy is pathogenetically justified effective and safe therapeutic option for various patient groups. Today principles of interdisciplinary approach are in practice to target upper and lower respiratory diseases management, which determines the success of biological therapy. ENT, pulmonology and allergy specialists define patient management tactics in close collaboration taking into consideration diseases manifestation. The proven efficacy and safety of оmalizumab makes this drug a universal tool to achieve IgE-associated diseases control and an alternative solution for surgical intervention and therapy with systemic corticosteroids.
Full Text
Введение
IgE-ассоциированные аллергические заболевания относятся к наиболее частым воспалительным заболеваниям верхних и нижних дыхательных путей. Клинические проявления варьируют от лёгких симптомов ринита до опасных для жизни обострений бронхиальной астмы (БА) или случаев анафилаксии. Часто пациенты страдают от физического и психологического неблагополучия и снижения качества жизни, обусловленных тяжестью аллергии. Широко известно, что IgE играет фундаментальную роль в запуске и поддержании аллергического воспаления у пациентов с БА. Высокий уровень IgЕ связан с более тяжёлыми клиническими проявлениями заболевания, включая частые обострения и ремоделирование дыхательных путей [1, 2]. Пациенты с неконтролируемым течением аллергической астмы нередко имеют тяжёлое неконтролируемое течение аллергического ринита/конъюнктивита и/или Th2-опосредованного полипозного риносинусита (ПРС) [3, 4]. Сопутствующие аллергические заболевания вносят вклад в общее социально-экономическое бремя БА. Своевременная диагностика и лечение IgE-ассоциированных заболеваний ― это решаемая клиническая задача, требующая междисциплинарного подхода.
Аллергический ринит (АР) по механизму развития относится к аллергическим реакциям немедленного типа (IgE-опосредованным). АР является наиболее распространённым из всех атопических заболеваний; в большинстве случаев диагностируется до 30 лет. Однако это заболевание часто недооценивается или игнорируется пациентами и врачами. Обращает на себя внимание поздняя диагностика АР, которая со временем приводит к постепенной трансформации степени тяжести болезни от лёгкой к тяжёлой. Тяжёлое персистирующее течение АР значительно ухудшает качество жизни пациентов: в отсутствие или недостаточности терапии любая активность (работа, учёба, спорт) значительно ограничена; нарушен ночной сон. Кроме того, неконтролируемое течение АР может способствовать развитию острого и хронического синусита, рецидивирующего течения ПРС, отитов, нарушению слуха, апноэ во сне и связанных с ним осложнений [5, 6].
В случае с ПРС имеет место локальная продукция поликлональных IgE, которая инициируется энтеротоксинами золотистого стафилококка, что поддерживает воспалительный процесс в тканях. Определено, что энтеротоксины действуют как суперантигены и приводят к активации Т- и В-клеток с массивным образованием IgE в слизистых оболочках верхних дыхательных путей. Для этой группы пациентов характерно также повышение уровня IgE в сыворотке крови. Поликлональные IgE способствуют хроническому течению ПРС за счёт непрерывной активации тучных клеток в слизистых оболочках верхних дыхательных путей [7].
Мировой и российский опыт использования анти-IgE-терапии у пациентов с БА и сопутствующими IgE-ассоциированными заболеваниями стал причиной старта регистрационных исследований III фазы применения омализумаба по показаниям АР и ПРС. Сегодня результаты этих исследований уже опубликованы, и подтверждена эффективность анти-IgE-терапии при данных заболеваниях [8, 9]. На территории Российской Федерации омализумаб одобрен как первый таргетный препарат для терапии сезонного и круглогодичного АР у пациентов от 12 лет и старше при недостаточной эффективности предшествующей терапии.
В данной публикации продемонстрированы клинические примеры пациентов, для которых анти-IgE-терапия стала решающей в достижении контроля над БА с сопутствующими АР и ПРС, а также при изолированном АР тяжёлого течения.
Описание случаев
Клинический случай 1 (на базе ГБУЗ СК «Ставропольская краевая клиническая больница»)
Пациент Д., мужчина, 40 лет, профессиональный спортсмен, тренер в фитнес-центре, с тяжёлым неконтролируемым течением АР, вызванного пыльцой растений.
18 апреля 2019 г. обратился к аллергологу-иммунологу с жалобами на затруднённое носовое дыхание, чихание, потерю обоняния, зуд носа, зуд глаз, слезотечение, покраснение конъюнктивы, отёчность век. После употребления в пищу яблок, орехов, персика, дыни и арбуза отмечал зуд ротоглотки; першение в горле и осиплость голоса; кашель; отёк языка губ; зуд глаз. Развилась фобия употребления продуктов. Страдает инсектной аллергией с 2012 г.
Анамнез заболевания. Аллергологический анамнез отягощён с марта 2012 г. Пациент сезонно ― с марта по апрель и с августа по сентябрь включительно ― отмечает вышеперечисленные симптомы. В анамнезе в летне-осенний период ― ежегодные ужаления осы с клинической картиной ангиоотёка в месте ужаления (конечности, лицо, шея, язык), острой крапивницы и удушья. Обращался за неотложной скорой помощью ситуационно. Наблюдается у аллерголога и оториноларинголога с 2012 г. Хирургический анамнез не отягощён.
Данные объективного осмотра и лабораторно-инструментальное исследование. Общее состояние удовлетворительное. Адекватен, спокоен, контактен. Отёков и сыпи нет. Рост 172 см, масса тела 76 кг. Склеры инъецированы, влажные. Периферические лимфатические узлы не увеличены. Носовое дыхание симметрично затруднено. Аксиллярная температура тела 36,6°С. В лёгких дыхание по всем полям везикулярное, хрипов нет. Частота дыхательных движений (ЧДД) 18 в мин. Тоны сердца ясные, ритм правильный. Частота сердечных сокращений (ЧСС) и пульс 65 в мин. Артериальное давление 112/80 мм рт.ст. При кожном тестировании выявлена сенсибилизация к пыльце берёзы, лещины, ольхи, амброзии. Клинический анализ крови в норме. Эозинофилии нет. IgE общий 263,70 МЕ/мл. Аллергочип ― 112 аллергенов (рис. 1).
Рис. 1. Аллергочип ISAC ImmunoCap пациента Д., 40 лет, от 23.04.2019.
Fig. 1. ISAC ImmunoCap allergy chip, patient D. 40 years old results, dated 23.04.2019.
Пациент к моменту визита получал следующее лечение:
- флутиказона пропионат в дозе 200 мкг интараназально в каждый носовой ход, утром, ежедневно, сезон;
- дезлоратадин, таблетки, по 5 мг/сут, ежедневно, сезон;
- олопатадин по 1 капле в каждый глаз 2 раза в день, постоянно, сезон;
- монтелукаст по 10 мг/сут перед сном, сезон;
- оксиметазолин по 22,5 мкг в каждый носовой ход 2 раза в день, интраназально, не более 7 дней.
Однако при полном объёме терапии, назначенной согласно федеральным клиническим рекомендациям [5], пациент не отмечал контроля над симптомами заболевания: сохранялись ежедневные назальная обструкция, отсутствие обоняния, пароксизмы чихания с обильной ринореей, слезотечение и зуд глаз.
Клинический диагноз: Персистирующий аллергический ринит тяжёлого течения, обострение. Сенсибилизация к пыльце берёзы, ольхи, лещины, амброзии, свинороя. Перекрёстная пищевая аллергия на фундук, яблоко и персик. Инсектная аллергия. Сенсибилизация к яду ос.
Задача перед врачом. Достижение контроля АР у пациента. Возможность физических занятий на улице во время сезона пыления. Возможность участия пациента в соревновании по триатлону в кратчайшие сроки (в предыдущие сезоны пациент не решался на участие по состоянию здоровья).
Дополнительно назначена терапия: омализумаб в дозе 450 мг/мес подкожно. Доза препарата подобрана согласно инструкции.
Лечение и исходы
Сезон 2019 года. Пациент получал терапию омализумабом с 29.04.2019 в режиме 1 раз в 4 нед. Препарат вводили подкожно в конечности по 150 мг (бедро, правое и левое плечо). Продолжительность терапии составила 5 мес (до сентября включительно). После первой дозы препарата пациент отметил значительное улучшение состояния, увеличилась выносливость физических нагрузок благодаря отсутствию назальной обструкции. 13.07.2019 пациент успешно финишировал на соревнованиях по триатлону с хорошим результатом. В данный сезон пациент помимо омализумаба использовал интраназальные глюкокортикостероиды (ГКС), антигистаминные и антилейкотриеновые препараты, деконгестанты.
Сезон 2020 года. Следующий этап лечения омализумабом проведён с 13.04.2020 по 28.08.2020: омализумаб вводили в дозе 300 мг/мес, так как вес пациента был 70 кг, и уровень общего IgE снизился до 122 МЕ/мл. Из сопутствующей фармакотерапии пациент в этот сезон использовал интраназальные ГКС и ситуационно принимал биластин в дозе 20 мг/сут внутрь. За сезон пациент использовал 24 таблетки из упаковки. В 2020 г. пациент был удовлетворён результатом лечения: на соревнованиях в 2020 г. по триатлону он занял 8-е место из 88.
Ужаления во время лечения. За весь период наблюдения был зафиксирован один эпизод ужаления осы в предплечье. Пациент отметил только развитие небольшого местного отёка и боль в момент ужаления насекомым. Приёма 1 таблетки биластина было достаточно для купирования отёка. Системной аллергической реакции и обращения за экстренной медицинской помощью, со слов пациента, не последовало.
Проявления орального пищевого синдрома и пищевой аллергии во время лечения. Наблюдается положительная динамика в развитии орального пищевого синдрома: отсутствие зуда в ротовой полости, першения и кашля. Рекомендованная элиминационная диета пациентом выполняется, однако он отмечал случайное употребление в пищу продуктов, содержащих фундук, миндаль или яблоко, в салатах, хлебобулочных изделиях, соусах и др.
Заключение по клиническому случаю. Применение анти-IgE-терапии у пациента с тяжёлым сезонным АР, не достигающим контроля при применении обычной рутинной терапии, позволило пациенту улучшить физическое состояние и качество жизни. Пациент и лечащий доктор достигли результатов, которые ставились перед началом лечения. Удовлетворённость пациента терапией нашла подтверждение в том, что после одного сезона лечения пациент принял решение использовать анти-IgE-терапию и в последующие сезоны.
Клинический случай 2
(на базе ГБУЗ МО МОНИКИ им. М.Ф. Владимирского)
Пациент Ш., женщина, 66 лет, пенсионер, с тяжёлым неконтролируемым течением атопической БА и АР.
В августе 2020 г. обратилась к пульмонологу в связи с тяжёлым неконтролируемым течением БА. При обращении предъявляла жалобы на приступы удушья, возникающие до 3–4 раз/нед. и нарушающие ночной сон, снижение переносимости физических нагрузок.
Анамнез заболевания. Диагноз аллергической БА был установлен в возрасте 40 лет. При ретроспективном анализе выяснилось, что первые проявления БА в виде приступообразного кашля, сопровождаемого заложенностью в груди и свистящим дыханием, под маской «частых острых респираторных заболеваний с бронхообструктивным синдромом» появились в возрасте ~30 лет. У пациентки выявлена сенсибилизация к круглогодичным и сезонным аллергенам, подтверждена вариабельность бронхиальной обструкции при спирометрии.
На момент обращения пациентка получала следующее лечение:
- формотерол/будесонид в дозе 4,5/160 мкг, 2 ингаляции, 2 раза/сут через дозирующий аэрозольный ингалятор (ДАИ) ежедневно и до 5 дополнительных ингаляций для быстрого облегчения симптомов;
- тиотропия бромид по 5 мкг/сут.
В 2019 г., несмотря на тройную ингаляционную терапию и правильную технику ингаляции, пациентка перенесла 3 эпизода тяжёлого обострения БА, потребовавших госпитализации и курсового лечения системными ГКС. Терапия системными ГКС несёт особые риски для пациентки, т.к. ей было выполнено эндопротезирование обоих коленных суставов по поводу двустороннего гонартроза (данные из анамнеза за 2018–2019 г.).
Из сопутствующих заболеваний верхних дыхательных путей ― персистирующий аллергический ринит тяжёлого течения, симптомы которого сохраняются, несмотря на элиминационные мероприятия в быту, и вынуждают пациентку использовать ежедневно в течение всего года сосудосуживающие препараты и мометазон интраназально. Отмечает ежегодные обострения АР в период цветения аллергенответственных растений, несмотря на использование интраназальных ГКС и антигистаминных препаратов 2-го поколения. Пациентка злоупотребляет сосудосуживающими препаратами, применяя ксилометазолин более 3 раз/сут. Лекарственную непереносимость, в том числе нестероидных противовоспалительных препаратов (НПВС), отрицает.
Данные объективного осмотра и лабораторно-инструментальное исследование. При обращении состояние пациентки относительно удовлетворительное. Рост 166 см, масса тела 90 кг, индекс массы тела (ИМТ) 32,7 кг/м2. ЧДД, ЧСС в пределах нормы; сатурация крови кислородом 98%. При аускультации явные признаки нарушения бронхиальной проходимости: удлинённый выдох, единичные свистящие хрипы на выдохе. По данным компьютерной томографии (КТ) органов грудной клетки: очаговые, инфильтративные изменения в лёгких не выявлены; увеличения внутригрудных лимфатических узлов, расширения камер сердца и магистральных артерий не наблюдается. В клиническом анализе крови абсолютная эозинофилия ― 600 кл./мкл. Течение БА неконтролируемое ― 5 баллов по шкале АСТ (Asthma Control Test ― тест контроля над астмой).
Клинический диагноз: Бронхиальная астма, аллергическая форма, тяжёлого течения, неконтролируемая, обострение; дыхательная недостаточность (ДН) 1-й ст. Персистирующий аллергический ринит тяжёлого течения, обострение. Сенсибилизация к эпидермальным аллергенам кошки, плесневым грибкам, пыльце деревьев и сорных трав.
Сопутствующий: Ожирение 1-й степени. Хронический гастрит, стойкая ремиссия. Ишемическая болезнь сердца (ИБС): стенокардия напряжения, I функциональный класс.
Отсутствие контроля над симптомами БА на фоне приёма максимально возможной ингаляционной терапии и тяжёлое неконтролируемое течение АР стало обоснованием для старта биологической терапии. В августе 2020 г. сделана первая инъекция препарата омализумаба подкожно в дозе 150 мг каждые 4 нед. (расчёт дозы от уровня IgE 52 МЕ/мл и массы тела 90 кг).
Динамическое наблюдение. Через 4 мес был отмечен значительный (до 22 баллов) прирост по шкале АСТ; клинически достигнут контроль БА: одышка, приступы удушья, включая ночные пробуждения, прекратились. Пациентка восстановила физическую и социальную активность.
В связи с тяжёлой эпидемиологической обстановкой в мире и введёнными ограничениями на контакты пациентов с лечебно-профилактическими учреждениями спирометрия в динамике не проводилась. С декабря 2020 г. биологическая терапия была вынужденно приостановлена в связи с закрытием госпиталя на карантин. Пациентке было рекомендовано домашнее использование анти-IgE-терапии. Согласно инструкции, «пациенты, у которых отсутствуют анафилактические реакции в анамнезе, могут самостоятельно (или с помощью лица, осуществляющего уход за пациентом) вводить омализумаб, начиная с 4-й дозы и далее, если лечащий врач решит, что это целесообразно». К сожалению, пациентка решила продолжить только ингаляционную базисную терапию ввиду пребывания в состоянии полноценной физической активности, что посчитала существенным улучшением в течении БА.
После снятия карантинных ограничений пациентка вновь обратилась к специалисту с жалобами на одышку, нарушение ежедневной активности и приступы удушья при контакте с аллергенами, затруднённое носовое дыхание, сниженное обоняние, слезотечение, покраснение и зуд конъюнктивы. В целом была отмечена потеря контроля над БА: показатели АСТ достигли исходных значений (5 баллов); в клиническом анализе крови отмечена значительная эозинофилия крови (до 1077 кл./мкл), что является прогностическим маркером будущих обострений БА с риском госпитализаций и потребностью в назначении системных ГКС. У пациентки усилились симптомы АР на фоне сезона палинации.
В марте 2021 г. биологическая терапия возобновлена в прежней дозе ― 150 мг, подкожно, каждые 4 нед. Через 8 нед. терапии тест ACT ― 20 баллов. Пациентка отметила редкие ночные пробуждения, а также не более 1–2 дополнительных ингаляций формотерола/будесонида в дозе 4,5/160 мкг/день. Важно отметить, что в целом для оценки эффективности лечения должно отводиться 12 нед. согласно инструкции и 16 нед. согласно рекомендациям GINA (2020) по ведению тяжёлой БА, по истечении которых можно оценить клинический ответ на биологическую терапию. Информирование пациента об ожидаемых сроках оценки контроля БА на фоне лечения улучшает приверженность к длительной терапии и долгосрочный прогноз для самого пациента.
Течение персистирующего АР на фоне терапии оценивалось с помощью опросника SNOT-22 (Sino-Nasal Outcome Test): до возобновления терапии количество баллов теста составляло 55 из 110 возможных (110 баллов ― максимально тяжёлое проявление симптомов заболеваний полости носа, таких как АР, хронический полипозный риносинусит); через 8 нед. от начала лечения ― 15 баллов, что означает значимое улучшение течения тяжёлого АР и качества жизни. Пациентка также отмечает, что в сезон цветения прошлого года и более ранних лет качество жизни значительно страдало в связи с обострением АР, несмотря на приём базисной терапии, но в настоящее время прогрессирование симптомов АР не наблюдается.
Клинический случай 3
(на базе Медицинского центра GVM International, Москва)
Пациент С., женщина, 37 лет, офисный сотрудник, с неконтролируемой среднетяжёлой БА и сопутствующими АР и двусторонним полипозным риносинуситом (ПРС).
В марте 2019 г. обратилась с жалобами на ежедневные приступы затруднённого дыхания, отсутствие обоняния, головные боли с нарушением сна, расстройство зрения в виде нарушения фокусировки.
Анамнез заболевания. С 2010 г. пациентка испытывает приступы дыхательного дискомфорта, заложенность носа, притупление обоняния. В 2013 г. выставлен диагноз БА и персистирующего АР и ПРС тяжёлого течения, назначена базисная терапия:
- будесонид/формотерол в дозе 160/4,5 мкг, 1 ингаляция, 2 раза/сут;
- мометазона фуроат по 400 мкг/сут интраназально.
В динамике пациентка отмечала ухудшение самочувствия при использовании НПВС; персистирующие симптомы ринита и приступы затруднённого дыхания с пиком в первой половине мая; появление хронических головных болей в проекции лицевого отдела черепа; аносмию. В 2014 г. выполнена двусторонняя эндоскопическая риносинусотомия, в 2015 г. на КТ отмечено рецидивирующее течение полипозного риносинусита с тотальным затемнением верхнечелюстных пазух, искривление носовой перегородки.
Клинический диагноз: Бронхиальная астма, смешанная форма, средней степени тяжести, частично контролируемое течение.Двусторонний полипозный риносинусит, рецидивирующий, тяжёлого течения. Непереносимость нестероидных противовоспалительных препаратов. Персистирующий аллергический ринит, тяжёлое течение, обострение. Сенсибилизация к пыльцевым (пыльца берёзы) и бытовым (домашняя пыль, клещи домашней пыли) аллергенам.
Данные объективного осмотра и лабораторно-инструментальное исследование. ЧСС, ЧДД, артериальное давление в пределах нормы; аускультативно выявлены сухие свистящие хрипы над всей поверхностью лёгких, усиливающиеся при форсированном выдохе. Рентгенограмма органов грудной клетки без признаков патологии. Выявлены умеренные нарушения функции внешнего дыхания (проба с сальбутамолом +16%). В клиническом анализе крови абсолютная и относительная эозинофилия (1290 кл./мкл, 22%), IgE общий 128 МЕ/ мл. По шкале АСТ ― 12 баллов. Базисная терапия БА была пересмотрена с повышением дозы будесонида/ формотерола до 160/4,5 мкг по 2 вдоха 2 раза/ сут через ДАИ в комбинации с монтелукастом в дозе 10 мг/сут per os. Через 3 нед. пациентка субъективно отметила улучшение респираторных симптомов, хотя по шкале АСТ были достигнуты только 15 баллов. Со второй половины июля, в период палинации, потерян контроль над АР и БА. Несмотря на приверженность к базисной терапии, контроль БА неудовлетворительный (12 баллов по шкале АСТ): пациентку беспокоят ежедневные приступы удушья и симптомы риноконъюнктивита с нарушением работоспособности.
В августе 2019 г. проконсультирована неврологом и оториноларингологом: выявлена резкая отрицательная динамика ПРС (усиление назальной обструкции, головных болей, чувство давления в проекции верхнечелюстных пазух, появление гнусавости голоса). Остаётся неконтролируемым течение АР. От повторной риносинусотомии пациентка категорически отказалась. В связи с неконтролируемым течением БА и сопутствующих заболеваний верхних дыхательных путей принято решение о назначении таргетной биологической терапии. В сентябре 2019 г. выполнена первая инъекция омализумаба подкожно в дозе 300 мг в режиме 1 раз/мес (из расчёта IgE 128 МЕ/мл; масса тела 63 кг). Динамическое наблюдение пациентки на фоне анти-IgE-терапии представлено в табл. 1
Таблица 1. Динамическое наблюдение пациентки С. на фоне анти-IgE-терапии
Table 1. Patient С. on anti-IgE therapy case follow-up
Параметры | До лечения | На фоне лечения препаратом Ксолар® | |
Через 6 мес | Через 12 мес | ||
ОФВ1, л (%) | 1, 875 (70) | 2,796 (105) | 2,89 (108) |
ФЖЕЛ, л (%) | 2,276 (85) | 3,374 (126) | 3,267 (122) |
ИТ, % | 71 | 90 | 88 |
АСТ, балл | 12 | 23 | 24 |
SNOT-22, балл | - | 8 | 5 |
Эозинофилия крови, кл./мкл | 1290 | 440 | 510 |
Динамика течения АР в сочетании с полипозным риносинуситом. С сентября по декабрь 2019 г. отмечено значимое улучшение респираторных симптомов, уменьшение эпизодов головных болей; пациентка стала «дышать», ощущает резкие запахи; отмечается улучшение качества сна. С февраля 2020 г. пациентка отмечает полное восстановление обоняния и носового дыхания. Через 12 мес терапии состояние пациентки значительно улучшилось, оценка контроля ПРС по опроснику SNOT-22 составила 5 баллов. Положительная динамика отмечена и по КТ (октябрь, 2020): утолщение слизистой оболочки верхнечелюстных и лобных пазух без тотального затемнения; восстановление воздушности лобных и правой верхнечелюстной пазух.
Клинический случай 4
(на базе ФГБУ НМИЦО ФМБА России)
Пациент Т., мужчина, 33 года, автослесарь, с тяжёлой неконтролируемой БА и сопутствующими АР и ПРС.
В сентябре 2018 г. госпитализирован в плановом порядке для хирургического лечения полипозного риносинусита. На момент осмотра пациент предъявлял жалобы на приступы непродуктивного кашля, сопровождаемые свистами в груди, повторяющиеся до 3–4 раз/нед., ночные пробуждения, обильные выделения из носа, в том числе в виде стекания по задней стенке глотки, а также боль, ощущение давления в лицевой области, заложенность в ушах, отсутствие обоняния и снижение работоспособности.
Анамнез заболевания. АР диагностировали в 11 лет, когда впервые стал отмечать заложенность носа ночью и ринорею в запылённых помещениях. Спустя год присоединились жалобы на приступы удушья экспираторного характера, заканчивающиеся кашлем с отделением вязкой слизистой мокроты при контакте с кошкой. По результатам клинического и аллергологического обследования (положительные prick-тесты с аллергенами к клещу Dermatophagoides pteronyssinus и кошке) был установлен диагноз атопической БА. Вне контакта с животными чувствовал себя хорошо, за исключением редких случаев лёгких затруднений дыхания при физических нагрузках и отрицательных эмоциях. На основании данных эндоскопического осмотра и КТ оториноларингологом был выставлен диагноз двустороннего ПРС. Интраназальные ГКС были недостаточно эффективны; неоднократно проводились курсы системных ГКС, и требовалось хирургическое вмешательство. Всего было проведено 9 эндоскопических полисинусотомий с удалением полипозно изменённой слизистой оболочки полости носа и околоносовых пазух, с восстановлением проходимости естественных соустий, устранением анатомических нарушений в полости носа, включающих септопластику и редукцию гипертрофированных нижних и средних носовых раковин. К сожалению, полипэктомии и курсовая терапия системными ГКС между операциями не обеспечивали длительной ремиссии заболевания.
Вместе с тем ухудшалось и течение БА. После каждой эндоскопической хирургии приступы БА становились тяжелее, что потребовало наращивание объёма ингаляционной базисной терапии, а именно: будесонид/формотерол в дозе 160/4,5 мкг по 2 дозы 2 раза/сут через ДАИ с добавлением монтелукаста по 10 мг ежедневно per os.
Семейный анамнез не отягощён.
Трудовой анамнез: работает автослесарем в течение 15 лет. Работа связана с производственными вредностями (вдыхание кислот), часто подолгу приходится работать в холодном помещении и на улице.
Пациент высококомплаентен к базисной терапии БА и сопутствующих АР/ПРС. Техника ингаляции правильная. Соблюдает гипоаллергенный режим. Психологических проблем, которые могли бы повлиять на тяжёлое течение БА, нет.
Данные объективного осмотра и лабораторно-инструментальное исследование. При обращении ЧСС, ЧДД в пределах нормы. Аускультативно ясный перкуторный звук с небольшим коробочным оттенком. Дыхание жёсткое; выдох нерезко удлинён; выслушиваются сухие, свистящие хрипы по всем лёгочным полям, усиливающиеся при форсированном выдохе. Остальные органы и системы без явной патологии. ИМТ 25,06 кг/м², масса тела 83 кг, рост 182 см. При исследовании функции лёгких выявлена обратимая умеренная бронхообструкция. КТ органов грудной клетки без патологии.
Несмотря на проводимое лечение БА, соответствующее 4-й ступени GINA, контроль БА не достигнут: 4,6 баллов по опроснику ACQ-5 и 13 баллов по АСТ. Общий IgE 153 МЕ/мл; специфические IgE к ингаляционным аллергенам: кошка (Felis domesticus) ― 8,17 kEA/л, Dermatophagoides pteronyssinus ― 4,76 kEA/л; высокий уровень FeNO (135 ppb); эозинофилия в крови ― 640 кл./мкл, в назальном секрете до 57%.
Нарушение обоняния (0 баллов) пациент самостоятельно оценивал при помощи 10-балльной вербально-числовой шкалы (ВЧШ), где 0 баллов ― отсутствие обоняния; 1–5 баллов ― обоняние нарушено в значительной степени; 6–9 баллов ― обоняние нарушено в незначительной степени; 10 баллов ― обоняние нормальное.
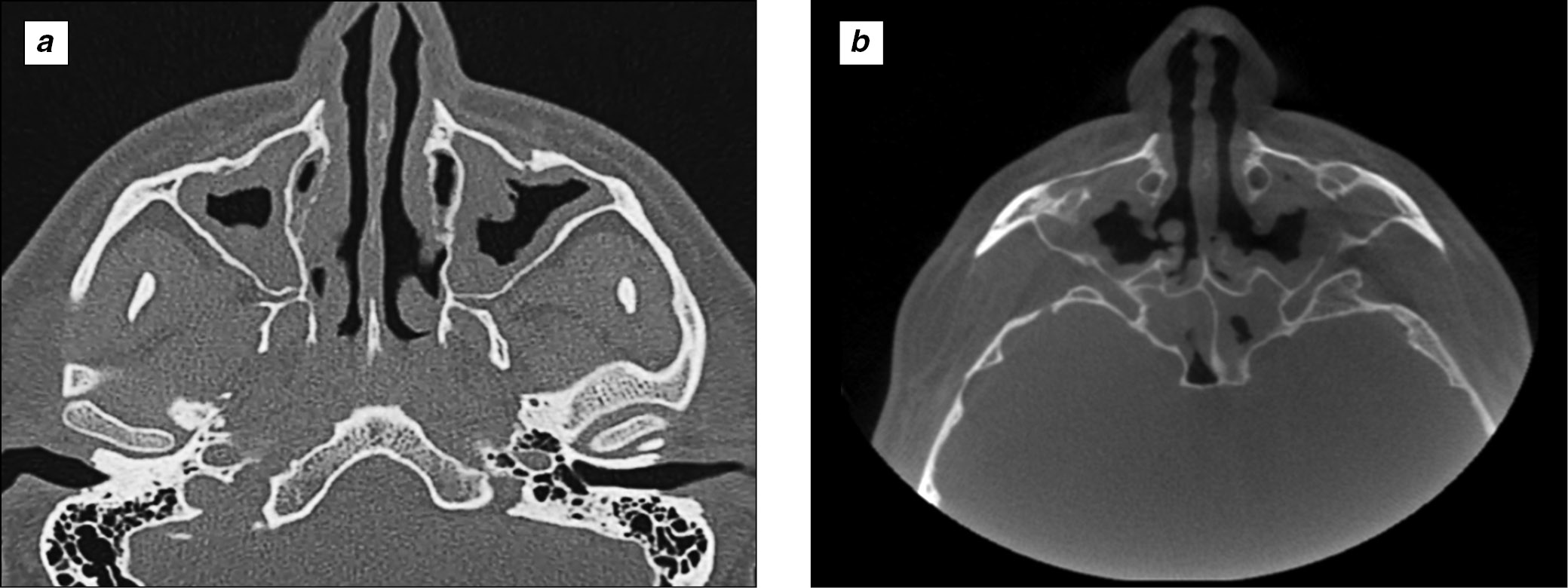
КТ околоносовых пазух (рис. 2, а): визуализируются полипозно-воспалительные изменения слизистых оболочек, на фоне которых воздушность околоносовых пазух снижена тотально и субтотально. Естественные соустья верхнечелюстных пазух обтурированы. По медиальным стенкам обеих верхнечелюстных пазух определяются костные дефекты (постоперационные). В перегородке определяется дефект. Стенки ячеек решётчатого лабиринта прослеживаются фрагментарно.
Клинический диагноз: Бронхиальная астма атопическая форма, тяжёлое неконтролируемое течение. Персистирующий аллергический ринит, тяжёлое течение, обострение. Сенсибилизация к бытовым (Dermatophagoides pteronyssinus) и эпидермальным (кошка) аллергенам. Двусторонний полипозный риносинусит, тяжёлого рецидивирующего течения.
Пациенту выполнены двусторонняя полисинусотомия с применением видеоэндоскопической и навигационной техники; ресептопластика и подслизистая вазотомия нижних носовых раковин под эндотрахеальным наркозом. Операцию перенёс хорошо, без осложнений. Учитывая неконтролируемое течение атопической БА, отягощённое рецидивирующим течением ПРС, в качестве дополнительной поддерживающей базисной терапии подобран препарат омализумаб подкожно в дозе 300 мг каждые 4 нед. в соответствии с действующей таблицей дозирования (по уровню общего IgE в сыворотке крови и массе тела пациента). Динамическое наблюдение пациента на фоне анти-IgE-терапии представлено в табл. 2 и на рис. 2, b.
Рис. 2. Динамика симптомов полипозного риносинусита по данным компьютерной томографии околоносовых пазух (сентябрь 2018 – сентябрь 2020 г.): a ― снимок после проведённой эндоскопической полисинусотомии в сентябре 2018 г. (полипозные разрастания в верхнечелюстных, клиновидных пазухах, в клетках решётчатого лабиринта); b ― снимок через 24 мес от старта анти-IgE-терапии (сохраняется только пристеночное утолщение слизистой оболочки в верхнечелюстных, клиновидных пазухах, в клетках решётчатого лабиринта с восстановлением воздушности в околоносовых пазухах)
Fig. 2. The dynamics of rhinosinusitis with nasal polyps according to paranasal sinuses CT scan (September 2018 – September 2020): a ― image after endoscopic polysinusotomy was performed in September 2018 (polypous mass in maxillary, sphenoidal sinuses, in ethmoid sinuses); b ― image 24 month from the start of anti-IgE therapy (only parietal mucosal thickening in maxillary, sphenoidal sinuses, in ethmoid sinuses with airness restoration in paranasal sinuses).
Обсуждение
Верхние и нижние дыхательные пути считаются единой морфологической и функциональной единицей. Понимание общих патофизиологических механизмов, лежащих в основе IgE-ассоциированных заболеваний, способствует своевременной диагностике и применению высокотехнологичных методов терапии. Проведение кожных проб или определение специфических IgE к аллергенам в крови, измерение количества эозинофилов в крови и назальном секрете, применение валидизированных опросников ― общепринятые инструменты для ведения пациента с БА. Не менее важным диагностическим этапом является эндоскопическое исследование носа и придаточных пазух, включая оценку обоняния и качества жизни по SNOT-22, КТ-диагностику, что позволяет своевременно пересмотреть фармакотерапию АР и/или ПРС, повысить качество реабилитации пациентов с историей хирургических вмешательств, длительной аносмией в анамнезе.
Таблица 2. Динамическое наблюдение пациента Т. на фоне анти-IgE-терапии
Table 2. Patient Т. on anti-IgE therapy case follow-up
Параметры | До лечения | На фоне лечения препаратом Ксолар® | |
Через 6 мес | Через 12 мес | ||
ОФВ1, % от должного | 71 | 90 | 110 |
АСТ, балл | 13 | 23 | 24 |
ACQ-5, балл | 4,6 | 0,4 | 0,2 |
SNOT-22, балл | 73 | 8 | 6 |
ВЧШ обоняния, балл | 0 | 6 | 8 |
Курс сГКС в год | 3 | 0 | 0 |
FESS, количество | 4 | 0 | 0 |
FeNO, pbb | 135 | 42 | 43 |
ECP (N <24 мкг/л) | 43 | 20 | 15 |
Эозинофилия крови, кл./мкл | 258 | 159 | 170 |
Риноцитограмма (эоз, %) | 57 | 9 | 0 |
Примечание. ОФВ1 ― объём форсированного выдоха за одну секунду; ВЧШ ― вербально-числовая шкала; сГКС ― системные глюкокортикостероиды; ACT (Asthma Control Test) ― тест контроля над астмой; ACQ-5 (Asthma Control Questionnaire) ― вопросник по оценке контроля астмы; SNOT-22 (Sinonasal Outcome Test) ― тест для оценки исхода болезней носа и околоносовых пазух; FESS (functional endoscopic sinus surgery) ― функциональная эндоскопическая хирургия носа и околоносовых пазух; ECP (eosinophilic cationic protein) ― эозинофильный катионный белок; FeNО ― оксид азота в выдыхаемом воздухе; N ― норма.
Note. ОФВ1 — the volume of air coming out of the lung under forced conditions per 1 second; ВЧШ — verbal-numerical scale; сГКС — systemic glucocorticosteroids; ACT — Asthma Control Test; ACQ-5 — Asthma Control Questionnaire; SNOT-22 — Sinonasal Outcome Test; FESS — functional endoscopic sinus surgery; ECP — eosinophilic cationic protein; FeNО — nitrogen oxide in inhaled oxygen; N ― normal.
Эффективность анти-IgE-терапии и высокий профиль безопасности при АР продемонстрированы в систематических обзорах рандомизированных контролируемых испытаний (РКИ) [10, 11] и данных реальной клинической практики [12]. Метаанализ от 2019 г., в который были включены 16 РКИ с участием 3458 пациентов, показал, что существуют статистически значимые различия в пользу групп, получающих омализумаб, в сравнении с группами контроля в таких показателях, как суточная оценка назальных и глазных симптомов (p <0,001); доля дней экстренного использования скоропомощных препаратов (p <0,005); оценка качества жизни (p <0,001); частота побочных эффектов без различий в группах (p=0,655) [11]. Таким образом, терапия омализумабом может оптимизировать общее ведение пациентов с неконтролируемым круглогодичным и/или сезонным аллергическим ринитом.
Ожидается регистрация нового показания в терапии ПРС, резистентного к использованию интраназальных ГКС у взрослых пациентов. В настоящее время завершены регистрационные исследования III фазы по применению омализумаба при ПРС (POLYP 1 и POLYP 2 An Extension Study of Omalizumab in Participants With Chronic Rhinosinusitis With Nasal Polyps). Исследования оценивали безопасность, эффективность длительного применения омализумаба и устойчивость терапевтического эффекта после прекращения терапии. Доказано, что омализумаб клинически значимо уменьшает размер назальных полипов и выраженность назальных симптомов, а также улучшает качество жизни пациентов с ПРС [9, 13]. Регистрация показания откроет востребованные терапевтические возможности для пациентов с изолированным течением ПРС [14].
Заключение
Теоретические и практические аспекты применения анти-IgE-терапии для лечения IgE-ассоциированных заболеваний верхних дыхательных путей, таких как БА, АР или ПРС, позволяют достичь улучшения качества жизни пациентов. Таргетная терапия IgE-опосредованных заболеваний даёт возможность достижения контроля над заболеванием и коморбидными с ним состояниями при помощи одного препарата, воздействующего на общие звенья патогенеза.
Дополнительная информация
Источник финансирования. Авторы заявляют об отсутствии внешнего финансирования при подготовке и написании статьи.
Funding source. This study was not supported by any external sources of funding.
Конфликт интересов. Авторы декларируют отсутствие явных и потенциальных конфликтов интересов, связанных с публикацией настоящей статьи.
Competing interests. The authors declare that they have no competing interests.
Вклад авторов. О.П. Уханова — обследование и лечение пациента, обработка данных, описание клинического случая №1, написание и редактирование статьи; Д.В. Карамышев — обследование и лечение пациента, обработка данных, описание клинического случая №2; К.А. Рябова — обследование и лечение пациента, обработка данных, описание клинического случая №3, сбор и анализ литературных данных, написание текста статьи; Ф.М. Ханова — обследование и лечение пациента, обработка данных, описание клинического случая №4. Все авторы подтверждают соответствие своего авторства международным критериям ICMJE (все авторы внесли существенный вклад в разработку концепции, подготовку статьи, прочли и одобрили финальную версию перед публикацией).
Authors’ contribution. O.P. Ukhanova — examination of the patient, diagnosis, data processing, description of the clinical case №1, writing and editing the article; D.V. Karamishev — examination of the patient, diagnosis, data processing, description of the clinical case №2; K.A. Ryabova — examination of the patient, diagnosis, data processing, description of the clinical case №3, literature collection and analysis, writing the text; F.M. Khanova — examination of the patient, diagnosis, data processing, description of the clinical case №4. All authors made a substantial contribution to the conception of the work, acquisition, analysis, interpretation of data for the work, drafting and revising the work, final approval of the version to be published and agree to be accountable for all aspects of the work.
Информированное согласие на публикацию. Авторы получили письменное согласие пациентов на публикацию медицинских данных в обезличенной форме в «Российском аллергологическом журнале».
Consent for publication. Written consents were obtained from the patients for publication of relevant medical information within the manuscript in Russian Journal of Allergy.
About the authors
Olga P. Ukhanova
Stavropol Regional Clinical Hospital
Author for correspondence.
Email: uhanova_1976@mail.ru
ORCID iD: 0000-0002-7247-0621
SPIN-code: 8287-2891
MD, Dr. Sci. (Med.), Professor
Россия, StavropolDmitrii V. Karamishev
Moscow Regional Research Clinical Institute named by M.F. Vladimirskiy
Email: d.v.karamyshev@bk.ru
ORCID iD: 0000-0002-1323-4821
SPIN-code: 9930-2075
MD
Россия, MoscowKseniya A. Ryabova
The First Sechenov Moscow State Medical University
Email: acksinja@gmail.com
ORCID iD: 0000-0003-0520-0936
SPIN-code: 9000-6894
MD, Research Associate
Россия, MoscowFatimat Hanova
The National Medical Research Center for Otorhinolaryngology of the Federal Medico-Biological Agency of Russia
Email: fmkhanova@yahoo.com
ORCID iD: 0000-0001-9362-9139
SPIN-code: 5320-2821
MD, Cand. Sci. (Med.)
Россия, MoscowReferences
- Palomares Ó, Sánchez-Ramón S, Dávila I, et al. dIvergEnt: How IgE axis contributes to the continuum of allergic asthma and anti-ige therapies. Int J Mol Sci. 2017;18(6):1328. doi: 10.3390/ijms18061328
- Cheng SL. Immunologic pathophysiology and airway remodeling mechanism in severe asthma: focused on IgE-Mediated pathways. Diagnostics (Basel). 2021;11(1):83. doi: 10.3390/diagnostics11010083
- Phillips KM, Hoehle LP, Caradonna DS, et al. Association of severity of chronic rhinosinusitis with degree of comorbid asthma control. Ann Allergy Asthma Immunol. 2016;117(6):651–654. doi: 10.1016/j.anai.2016.09.439
- Leynaert B, Neukirch F, Demoly P, et al. Epidemiologic evidence for asthma and rhinitis comorbidity. J Allergy Clin Immunol. 2000;106(5 Suppl):S201–205. doi: 10.1067/mai.2000.110151
- Allergic rhinitis: clinical recommendations (Approved by the Scientific and Practical Council of the Ministry of Health of the Russian Federation). RAAKI; 2020. (In Russ). Avalable from: https://raaci.ru/education/clinic_recomendations/471.html
- Giavina-Bianchi P, Aun MV, Takejima P, et al. United airway disease: current perspectives. J Asthma Allergy. 2016;9:93–100. doi: 10.2147/JAA.S81541
- Humbert M, Bousquet J, Bachert C, et al. IgE-Mediated multimorbidities in allergic asthma and the potential for omalizumab therapy. J Allergy Clin Immunol Pract. 2019;7(5):1418–1429. doi: 10.1016/j.jaip.2019.02.030
- Okubo K, Okano M, Sato N, et al. Add-on omalizumab for inadequately controlled severe pollinosis despite standard-of-care: a randomized study. J Allergy Clin Immunol Pract. 2020; 8(9):3130-3140.e2. doi: 10.1016/j.jaip.2020.04.068
- Gevaert P, Omachi TA, Corren J, et al. Efficacy and safety of omalizumab in nasal polyposis: 2 randomized phase 3 trials. J Allergy Clin Immunol. 2020;146(3):595–605. doi: 10.1016/j.jaci.2020.05.032
- Tsabouri S, Tseretopoulou X, Priftis K, Ntzani EE. Omalizumab for the treatment of inadequately controlled allergic rhinitis: a systematic review and meta-analysis of randomized clinical trials. J Allergy Clin Immunol Pract. 2014;2(3):332–40.e1. doi: 10.1016/j.jaip.2014.02.001
- Yu C, Wang K, Cui X, et al. Clinical efficacy and safety of omalizumab in the treatment of allergic rhinitis: a systematic review and meta-analysis of randomized clinical trials. Am J Rhinol Allergy. 2020;34(2):196–208. doi: 10.1177/1945892419884774
- Ukhanova OP, Dzhabarova AA, Sivun IV, Buryndina EI. Prospects of gene-engineering therapy of seasonal allergic rhinitis of severe course. Bulletin of Modern Clinical Medicine. 2018;11(2):36–40. (In Russ). doi: 10.20969/VSKM.2018.11(2).36-40.
Supplementary files




